Suppr超能文献

肺血管炎:强调肺实质高分辨率CT特征的影像学综述

Pulmonary Vasculitides: A Radiological Review Emphasizing Parenchymal HRCT Features.

作者信息

Palmucci Stefano, Inì Corrado, Cosentino Salvatore, Fanzone Luigi, Di Pietro Stefano, Di Mari Alessia, Galioto Federica, Tiralongo Francesco, Vignigni Giovanna, Toscano Stefano, Sambataro Gianluca, Vancheri Carlo, Distefano Giulio, Basile Antonio

机构信息

Radiology Unit 1, Department of Medical Surgical Sciences and Advanced Technologies "GF Ingrassia", University Hospital Policlinico "G. Rodolico-San Marco", University of Catania, 95123 Catania, Italy.

Regional Centre for Interstitial and Rare Lung Disease, Department of Clinical and Molecular Biomedicine, University of Catania, 95123 Catania, Italy.

出版信息

Diagnostics (Basel). 2021 Dec 9;11(12):2318. doi: 10.3390/diagnostics11122318.

Abstract

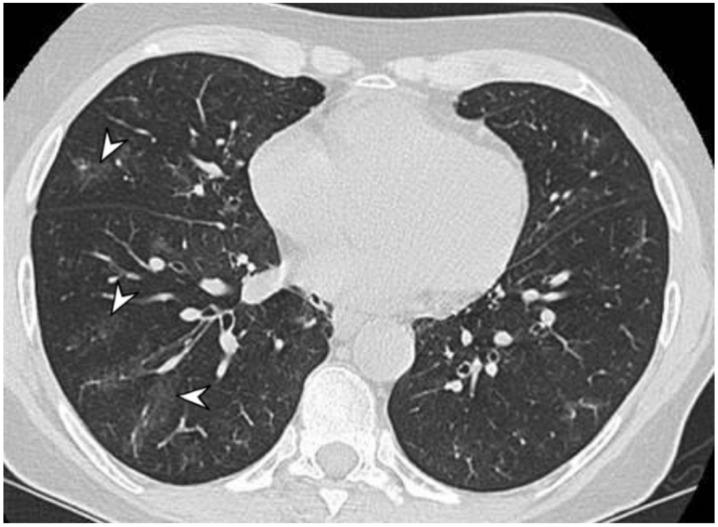
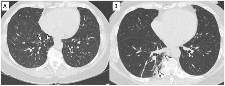
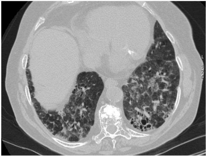
Vasculitides represent a heterogeneous group of immune-mediated disorders, characterized by a systemic inflammatory destructive process of the blood vessels resulting either in ischemia or hemorrhage. The organ involved and vessel size influence the pattern of presentation of the pathology. The lung is commonly involved in systemic vasculitides, with heterogeneous clinical, radiological, and histopathological presentations. Primary vasculitides most commonly associated with lung parenchymal involvement include small-vessel antineutrophil cytoplasmic autoantibody (ANCA)-associated vasculitides, such as granulomatosis with polyangiitis (GPA), eosinophilic granulomatosis with polyangiitis (EGPA), and microscopic polyangiitis (MPA). Several studies have reported cases of interstitial lung diseases (ILDs) associated with systemic vasculitis, particularly those positive for ANCA associated vasculitis/vasculitidis: AAV. We have selected from our case series different radiological features of pulmonary vasculitis (i.e., solitary or multiple nodules, cavitary lesions, nodules with centrilobular or peribronchial distribution, airspace consolidations, "crazy paving" appearance, interstitial disease), including cases with interstitial lung alterations. Therefore, the aim of this review is to describe the typical clinical manifestations of vasculitides and their main radiologic features (especially AAV).

摘要

血管炎是一组异质性的免疫介导性疾病,其特征是血管的系统性炎症性破坏过程,可导致缺血或出血。受累器官和血管大小会影响病理表现形式。肺部在系统性血管炎中常受累,临床表现、影像学表现和组织病理学表现各异。最常与肺实质受累相关的原发性血管炎包括小血管抗中性粒细胞胞浆自身抗体(ANCA)相关血管炎,如肉芽肿性多血管炎(GPA)、嗜酸性肉芽肿性多血管炎(EGPA)和显微镜下多血管炎(MPA)。多项研究报告了与系统性血管炎相关的间质性肺疾病(ILD)病例,尤其是那些ANCA相关血管炎/血管炎阳性的病例:AAV。我们从病例系列中选取了肺血管炎的不同放射学特征(即孤立或多发结节、空洞性病变、具有小叶中心或支气管周围分布的结节、气腔实变、“铺路石样”表现、间质性疾病),包括伴有间质性肺改变的病例。因此,本综述的目的是描述血管炎的典型临床表现及其主要放射学特征(尤其是AAV)。

https://cdn.ncbi.nlm.nih.gov/pmc/blobs/6aad/8700038/b904a43325e0/diagnostics-11-02318-g001.jpg

文献AI研究员

20分钟写一篇综述,助力文献阅读效率提升50倍。

立即体验

用中文搜PubMed

大模型驱动的PubMed中文搜索引擎

马上搜索

文档翻译

学术文献翻译模型,支持多种主流文档格式。

立即体验