Suppr超能文献

TRIM55通过增加Snail1的蛋白质降解来抑制肺腺癌细胞的恶性生物学行为。

TRIM55 suppresses malignant biological behavior of lung adenocarcinoma cells by increasing protein degradation of Snail1.

作者信息

Guo Tianxing, Zhang Zhenlong, Zhu Lihuan, Chen Wenshu, Ding Yun, Li Wujin, Huang Yangyun, Huang Jianyuan, Pan Xiaojie

机构信息

Department of Thoracic Surgery, Shengli Clinical Medical College of Fujian Medical University, Fujian Provincial Hospital, Fuzhou China.

出版信息

Cancer Biol Ther. 2022 Dec 31;23(1):17-26. doi: 10.1080/15384047.2021.2004835. Epub 2022 Jan 2.

Abstract

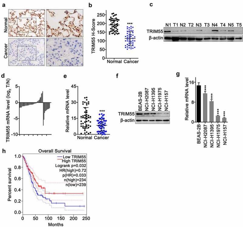
Up until now, cancer refractoriness and distal organ metastatic disease remain as major obstacles for oncologists to achieve satisfactory therapeutic effects for lung adenocarcinoma patients. Previous studies indicated that TRIM55, which participates in the natural development of muscle and cardiovascular system, plays a protective role in hepatocellular carcinoma (HCC) pathogenesis. Therefore, in this study, we aimed to unveil the detailed molecular mechanism of TRIM55 and identify the potential target for lung adenocarcinoma patients. Surgical samples and lung cancer cell lines were collected to detect the TRIM55 expression for patients with or without lymph node/distal organ metastasis. Cellular functional assays including transwell assay, wound healing assay, cellular survivability assay, etc. as well as ubiquitination assay were performed to evaluate the impact of TRIM55/Snail1 regulatory network via the UPP pathway on lung cancer tumor cell migration and chemo-resistance. Lung cancer tissues and tumor cell lines exhibited significantly lower levels of TRIM55 expression. Functional study further indicated that TRIM55 inhibited chemo-resistance, migration, and cancer stem-cell like phenotype of tumor cells. Further detailed molecular experiments indicated that TRIM55 promoted degradation of Snail1 via the UPP pathway, which played an interesting role in the regulation of cancer cell malignancy. This study provided novel theory that TRIM55 acted as a potential tumor suppressor by inhibition of tumor cell malignancy through enhancement of Snail1 degradation via the UPP pathway. Our research will inspire further exploration on TRIM55 to promote therapeutic effects for lung adenocarcinoma patients.

摘要

到目前为止,癌症难治性和远端器官转移性疾病仍然是肿瘤学家为肺腺癌患者实现满意治疗效果的主要障碍。先前的研究表明,参与肌肉和心血管系统自然发育的TRIM55在肝细胞癌(HCC)发病机制中起保护作用。因此,在本研究中,我们旨在揭示TRIM55的详细分子机制,并确定肺腺癌患者的潜在靶点。收集手术样本和肺癌细胞系,以检测有或无淋巴结/远端器官转移患者的TRIM55表达。进行了包括Transwell实验、伤口愈合实验、细胞存活实验等细胞功能实验以及泛素化实验,以评估TRIM55/Snail1调控网络通过泛素-蛋白酶体途径(UPP)对肺癌肿瘤细胞迁移和化疗耐药性的影响。肺癌组织和肿瘤细胞系中TRIM55表达水平显著降低。功能研究进一步表明,TRIM55抑制肿瘤细胞的化疗耐药性、迁移和癌症干细胞样表型。进一步详细的分子实验表明,TRIM55通过UPP途径促进Snail1的降解,这在癌细胞恶性调控中发挥了有趣的作用。本研究提供了新的理论,即TRIM55通过UPP途径增强Snail1降解来抑制肿瘤细胞恶性,从而作为一种潜在的肿瘤抑制因子。我们的研究将激发对TRIM55的进一步探索,以提高肺腺癌患者的治疗效果。

https://cdn.ncbi.nlm.nih.gov/pmc/blobs/d2ee/8812808/cc3e09b8229a/KCBT_A_2004835_F0001_OC.jpg

文献检索

告别复杂PubMed语法,用中文像聊天一样搜索,搜遍4000万医学文献。AI智能推荐,让科研检索更轻松。

立即免费搜索

文件翻译

保留排版,准确专业,支持PDF/Word/PPT等文件格式,支持 12+语言互译。

免费翻译文档

深度研究

AI帮你快速写综述,25分钟生成高质量综述,智能提取关键信息,辅助科研写作。

立即免费体验