Suppr超能文献

腹腔内一个游走且无附着的囊肿。

An Adrift and Homeless Cyst within the Peritoneal Cavity.

作者信息

Mehri Ali, Ayati Afin Aida, Gharib Masoumeh, Etezadpour Mohammad

机构信息

Student Research Committee (SRC), Faculty of Medicine, Mashhad University of Medical Sciences, Iran.

Department of Pathology, Faculty of Medicine, Mashhad University of Medical Sciences, Mashhad, Iran.

出版信息

Case Rep Surg. 2021 Dec 23;2021:6630043. doi: 10.1155/2021/6630043. eCollection 2021.

Abstract

INTRODUCTION

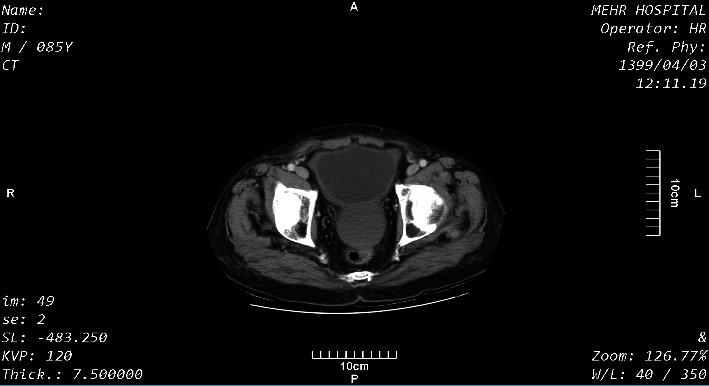
Echinococcosis is a zoonotic infection caused by species. Iran is endemic for . Here, we present a case of hydatidosis in an 85-year-old man, presented with acute, dull, constant, and generalized abdominal pain. A computed tomography scan (CT scan) showed an intact hydatid cyst on the bladder dome and several hydatid cysts in the liver. Open surgery revealed a cyst with hepatic origin, confirmed with histopathological studies.

CONCLUSION

Although a primary abdominal hydatid cyst is very rare, it can be transferred to the abdominal cavity without any rupture as secondary ones. In this case, rupture of the liver wall was the reason for this transfer. As a result, there should be a suspicion of hydatidosis in a patient with a similar presentation.

摘要

引言

包虫病是由某些物种引起的一种人畜共患感染。伊朗是[具体包虫种类]的地方病流行区。在此,我们报告一例85岁男性的包虫病病例,该患者表现为急性、钝痛、持续性全腹痛。计算机断层扫描(CT扫描)显示膀胱穹窿部有一个完整的包虫囊肿,肝脏有多个包虫囊肿。开放手术发现一个源于肝脏的囊肿,经组织病理学研究得以证实。

结论

虽然原发性腹腔包虫囊肿非常罕见,但它可像继发性囊肿一样在无任何破裂的情况下转移至腹腔。在本病例中,肝壁破裂是这种转移的原因。因此,对于有类似表现的患者应怀疑包虫病。

https://cdn.ncbi.nlm.nih.gov/pmc/blobs/40cc/8718317/40def3172d00/CRIS2021-6630043.001.jpg

文献检索

告别复杂PubMed语法,用中文像聊天一样搜索,搜遍4000万医学文献。AI智能推荐,让科研检索更轻松。

立即免费搜索

文件翻译

保留排版,准确专业,支持PDF/Word/PPT等文件格式,支持 12+语言互译。

免费翻译文档

深度研究

AI帮你快速写综述,25分钟生成高质量综述,智能提取关键信息,辅助科研写作。

立即免费体验