Suppr超能文献

脑氧饱和度监测指导下的肺动脉环缩术治疗左心室致密化不全心肌病患儿的终末期心力衰竭:一例报告

Cerebral oximetry-guided pulmonary artery banding for end-stage heart failure in a child with left ventricular noncompaction cardiomyopathy: a case report.

作者信息

Asano Mayu, Doi Kenji, Nomura Minoru, Nagasaka Yasuko

机构信息

Department of Anesthesia, Tokyo Women's Medical University, Tokyo, Japan.

出版信息

Transl Pediatr. 2021 Nov;10(11):3082-3090. doi: 10.21037/tp-21-340.

Abstract

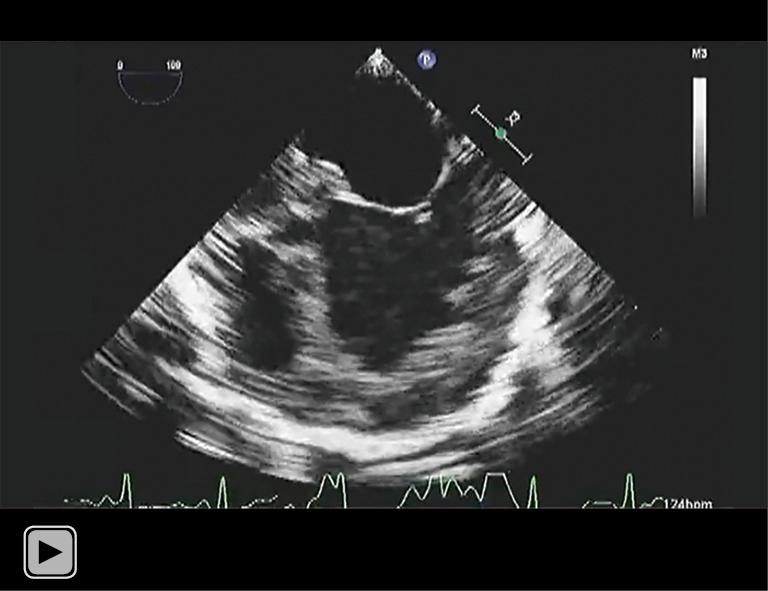
Pulmonary artery banding (PAB) may reduce the need for left ventricular assist devices and heart transplantation in children with end-stage heart failure. However, excessive banding may increase the right ventricular afterload, leading to worsening of heart failure. The estimated right ventricular pressure and the shifting of the interventricular septum by transesophageal echocardiography (TEE), pulmonary artery pressure, right atrial and ventricular pressure, percutaneous oxygen saturation, and mixed venous oxygen saturation are utilized to determine the optimal circumference for PAB. Here, we report the case of a 5-month-old patient with end-stage heart failure due to left ventricular noncompaction cardiomyopathy (LVNC), with a gene mutation of MYH7, who underwent successful PAB. The exact PAB placement was additionally guided by using cerebral regional oxygen saturation (rSO) measurement to achieve a tolerable and optimal PAB effect. We monitored rSO and other hemodynamic parameters while surgeons banded the pulmonary artery to achieve both highest rSO levels and stable hemodynamics. rSO was 68% before banding, and increased and remained at over 90% after the banding at same FiO. Patient's heart failure improved gradually, and the child was discharged home at 6 months after PAB. The rSO is a simple and non-invasive monitor for the measurement of oxygen delivery to the brain tissue. rSO alone would not be able to guide PAB placement in the vulnerable DCM patients, but it may be of one further monitoring value for the optimal pulmonary artery circumference while patients are undergoing PAB.

摘要

肺动脉环缩术(PAB)可能会减少终末期心力衰竭儿童对左心室辅助装置和心脏移植的需求。然而,过度环缩可能会增加右心室后负荷,导致心力衰竭恶化。通过经食管超声心动图(TEE)评估右心室压力和室间隔移位、肺动脉压力、右心房和心室压力、经皮血氧饱和度以及混合静脉血氧饱和度,以确定PAB的最佳环缩周长。在此,我们报告一例5个月大的因左心室致密化不全心肌病(LVNC)导致终末期心力衰竭的患者,其存在MYH7基因突变,该患者成功接受了PAB。通过使用脑局部血氧饱和度(rSO)测量来额外指导PAB的精确放置,以实现可耐受且最佳的PAB效果。在外科医生对肺动脉进行环缩时,我们监测rSO和其他血流动力学参数,以实现最高的rSO水平和稳定的血流动力学。环缩前rSO为68%,在相同FiO情况下,环缩后rSO升高并维持在90%以上。患者的心力衰竭逐渐改善,PAB术后6个月患儿出院。rSO是一种用于测量脑组织氧输送的简单且无创的监测方法。单独的rSO无法指导脆弱的扩张型心肌病患者进行PAB放置,但在患者接受PAB时,它可能对确定最佳肺动脉环缩周长具有进一步的监测价值。

https://cdn.ncbi.nlm.nih.gov/pmc/blobs/a3cf/8649599/99729591f31e/tp-10-11-3082-f1.jpg

文献检索

告别复杂PubMed语法,用中文像聊天一样搜索,搜遍4000万医学文献。AI智能推荐,让科研检索更轻松。

立即免费搜索

文件翻译

保留排版,准确专业,支持PDF/Word/PPT等文件格式,支持 12+语言互译。

免费翻译文档

深度研究

AI帮你快速写综述,25分钟生成高质量综述,智能提取关键信息,辅助科研写作。

立即免费体验