• 文献检索
  • 文档翻译
  • 深度研究
  • 学术资讯
  • Suppr Zotero 插件Zotero 插件
  • 邀请有礼
  • 套餐&价格
  • 历史记录
应用&插件
Suppr Zotero 插件Zotero 插件浏览器插件Mac 客户端Windows 客户端微信小程序
定价
高级版会员购买积分包购买API积分包
服务
文献检索文档翻译深度研究API 文档MCP 服务
关于我们
关于 Suppr公司介绍联系我们用户协议隐私条款
关注我们

Suppr 超能文献

核心技术专利:CN118964589B侵权必究
粤ICP备2023148730 号-1Suppr @ 2026

文献检索

告别复杂PubMed语法,用中文像聊天一样搜索,搜遍4000万医学文献。AI智能推荐,让科研检索更轻松。

立即免费搜索

文件翻译

保留排版,准确专业,支持PDF/Word/PPT等文件格式,支持 12+语言互译。

免费翻译文档

深度研究

AI帮你快速写综述,25分钟生成高质量综述,智能提取关键信息,辅助科研写作。

立即免费体验

多民族人群中的正常性别和年龄特异性参数:加拿大心脏和思维健康联盟队列的心血管磁共振研究。

Normal sex and age-specific parameters in a multi-ethnic population: a cardiovascular magnetic resonance study of the Canadian Alliance for Healthy Hearts and Minds cohort.

机构信息

Division of Cardiology, Department of Medicine, University of Manitoba, Winnipeg, MB, Canada.

Department of Nuclear Medicine, University Hospital Zurich, Zurich, Switzerland.

出版信息

J Cardiovasc Magn Reson. 2022 Jan 3;24(1):2. doi: 10.1186/s12968-021-00819-z.

DOI:10.1186/s12968-021-00819-z
PMID:34980185
原文链接:https://pmc.ncbi.nlm.nih.gov/articles/PMC8722350/
Abstract

BACKGROUND

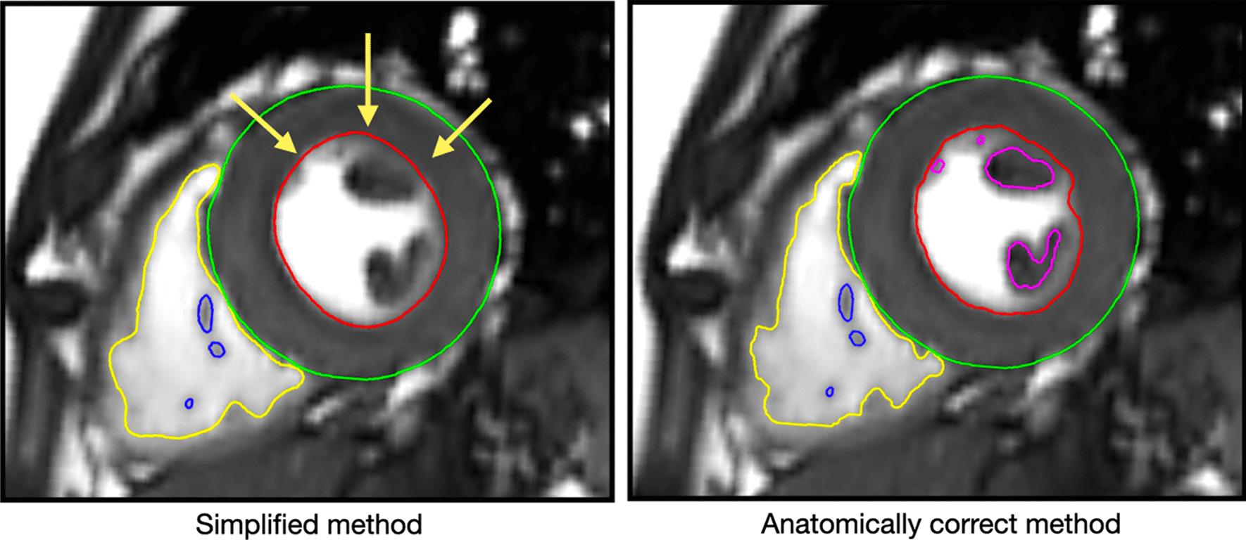
Despite the growing utility of cardiovascular magnetic resonance (CMR) for cardiac morphology and function, sex and age-specific normal reference values derived from large, multi-ethnic data sets are lacking. Furthermore, most available studies use a simplified tracing methodology. Using a large cohort of participants without history of cardiovascular disease (CVD) or risk factors from the Canadian Alliance for Healthy Heart and Minds, we sought to establish a robust set of reference values for ventricular and atrial parameters using an anatomically correct contouring method, and to determine the influence of age and sex on ventricular parameters.

METHODS AND RESULTS

Participants (n = 3206, 65% females; age 55.2 ± 8.4 years for females and 55.1 ± 8.8 years for men) underwent CMR using standard methods for quantitative measurements of cardiac parameters. Normal ventricular and atrial reference values are provided: (1) for males and females, (2) stratified by four age categories, and (3) for different races/ethnicities. Values are reported as absolute, indexed to body surface area, or height. Ventricular volumes and mass were significantly larger for males than females (p < 0.001). Ventricular ejection fraction was significantly diminished in males as compared to females (p < 0.001). Indexed left ventricular (LV) end-systolic, end-diastolic volumes, mass and right ventricular (RV) parameters significantly decreased as age increased for both sexes (p < 0.001). For females, but not men, mean LV and RVEF significantly increased with age (p < 0.001).

CONCLUSION

Using anatomically correct contouring methodology, we provide accurate sex and age-specific normal reference values for CMR parameters derived from the largest, multi-ethnic population free of CVD to date.

CLINICAL TRIAL REGISTRATION

ClinicalTrials.gov, NCT02220582. Registered 20 August 2014-Retrospectively registered, https://clinicaltrials.gov/ct2/show/NCT02220582 .

摘要

背景

尽管心血管磁共振(CMR)在心脏形态和功能方面的应用越来越广泛,但缺乏来自大型多民族数据集中的针对性别和年龄的正常参考值。此外,大多数现有研究使用简化的追踪方法。本研究使用来自加拿大健康心脏和大脑联盟(Canadian Alliance for Healthy Heart and Minds)的无心血管疾病(CVD)或危险因素的大量参与者队列,旨在使用解剖学正确的轮廓方法为心室和心房参数建立一组可靠的参考值,并确定年龄和性别对心室参数的影响。

方法和结果

参与者(n=3206,女性占 65%;女性年龄为 55.2±8.4 岁,男性为 55.1±8.8 岁)使用标准方法进行 CMR 检查,以进行心脏参数的定量测量。提供了正常的心室和心房参考值:(1)适用于男性和女性,(2)按四个年龄组分层,(3)适用于不同种族/民族。值以绝对值、体表面积指数或身高指数表示。男性的心室容积和质量明显大于女性(p<0.001)。与女性相比,男性的心室射血分数明显降低(p<0.001)。对于两性,左心室(LV)收缩末期和舒张末期容积、质量和右心室(RV)参数的指数均随年龄增长而显著降低(p<0.001)。对于女性,但不是男性,平均 LV 和 RVEF 随年龄增加而显著增加(p<0.001)。

结论

使用解剖学正确的轮廓方法,我们为迄今为止最大的、多民族的无 CVD 人群提供了 CMR 参数的准确性别和年龄特异性正常参考值。

临床试验注册

ClinicalTrials.gov,NCT02220582。注册于 2014 年 8 月 20 日-回顾性注册,https://clinicaltrials.gov/ct2/show/NCT02220582。

https://cdn.ncbi.nlm.nih.gov/pmc/blobs/a70d/8722350/1ffbdb0a3e5b/12968_2021_819_Fig3_HTML.jpg
https://cdn.ncbi.nlm.nih.gov/pmc/blobs/a70d/8722350/bbef8a02d146/12968_2021_819_Fig1_HTML.jpg
https://cdn.ncbi.nlm.nih.gov/pmc/blobs/a70d/8722350/1eaea553a581/12968_2021_819_Fig2_HTML.jpg
https://cdn.ncbi.nlm.nih.gov/pmc/blobs/a70d/8722350/1ffbdb0a3e5b/12968_2021_819_Fig3_HTML.jpg
https://cdn.ncbi.nlm.nih.gov/pmc/blobs/a70d/8722350/bbef8a02d146/12968_2021_819_Fig1_HTML.jpg
https://cdn.ncbi.nlm.nih.gov/pmc/blobs/a70d/8722350/1eaea553a581/12968_2021_819_Fig2_HTML.jpg
https://cdn.ncbi.nlm.nih.gov/pmc/blobs/a70d/8722350/1ffbdb0a3e5b/12968_2021_819_Fig3_HTML.jpg

相似文献

1
Normal sex and age-specific parameters in a multi-ethnic population: a cardiovascular magnetic resonance study of the Canadian Alliance for Healthy Hearts and Minds cohort.多民族人群中的正常性别和年龄特异性参数:加拿大心脏和思维健康联盟队列的心血管磁共振研究。
J Cardiovasc Magn Reson. 2022 Jan 3;24(1):2. doi: 10.1186/s12968-021-00819-z.
2
Reference ranges for cardiac structure and function using cardiovascular magnetic resonance (CMR) in Caucasians from the UK Biobank population cohort.英国生物银行人群队列中白种人使用心血管磁共振成像(CMR)测量心脏结构和功能的参考范围
J Cardiovasc Magn Reson. 2017 Feb 3;19(1):18. doi: 10.1186/s12968-017-0327-9.
3
Meta-Analysis of Normal Reference Values for Right and Left Ventricular Quantification by Cardiovascular Magnetic Resonance.磁共振心血管成像右、左心室定量分析的正常参考值的荟萃分析。
Circ Cardiovasc Imaging. 2024 Feb;17(2):e016090. doi: 10.1161/CIRCIMAGING.123.016090. Epub 2024 Feb 20.
4
Age- and gender-related reference values of cardiac morphology and function in cardiovascular magnetic resonance.心血管磁共振中心脏形态和功能的年龄和性别相关参考值。
Int J Cardiovasc Imaging. 2021 Jun;37(6):2011-2023. doi: 10.1007/s10554-021-02160-z. Epub 2021 Jan 22.
5
Assessment of left and right ventricular parameters in healthy Korean volunteers using cardiac magnetic resonance imaging: change in ventricular volume and function based on age, gender and body surface area.应用心脏磁共振成像评估健康韩国志愿者的左、右心室参数:基于年龄、性别和体表面积的心室容积和功能变化。
Int J Cardiovasc Imaging. 2012 Dec;28 Suppl 2:141-7. doi: 10.1007/s10554-012-0150-1. Epub 2012 Nov 9.
6
Reference values of cardiac ventricular structure and function by steady-state free-procession MRI at 3.0T in healthy adult chinese volunteers.3.0T稳态自由进动磁共振成像测量健康中国成年志愿者心脏心室结构和功能的参考值
J Magn Reson Imaging. 2017 Jun;45(6):1684-1692. doi: 10.1002/jmri.25520. Epub 2016 Nov 9.
7
Biventricular Reference Values by Body Surface Area, Age, and Gender in a Large Cohort of Well-Treated Thalassemia Major Patients Without Heart Damage Using a Multiparametric CMR Approach.采用多参数心脏磁共振成像方法,对大量未经心脏损伤的长期接受良好治疗的重型地中海贫血患者队列,按体表面积、年龄和性别得出的双心室参考值。
J Magn Reson Imaging. 2021 Jan;53(1):61-70. doi: 10.1002/jmri.27169. Epub 2020 Apr 20.
8
Right Ventricular Volumes and Systolic Function by Cardiac Magnetic Resonance and the Impact of Sex, Age, and Obesity in a Longitudinally Followed Cohort Free of Pulmonary and Cardiovascular Disease: The Framingham Heart Study.通过心脏磁共振成像评估右心室容积和收缩功能以及性别、年龄和肥胖对无肺部和心血管疾病的纵向随访队列的影响:弗雷明汉心脏研究
Circ Cardiovasc Imaging. 2016 Mar;9(3):e003810. doi: 10.1161/CIRCIMAGING.115.003810.
9
Cardiovascular magnetic resonance reference values of right ventricular volumetric variables in patients with hypoplastic left heart syndrome.左心发育不全综合征患者右心室容积变量的心血管磁共振参考值。
J Cardiovasc Magn Reson. 2024 Summer;26(1):101038. doi: 10.1016/j.jocmr.2024.101038. Epub 2024 Mar 16.
10
Normative values of cardiac chamber dimensions and global longitudinal strain in Indians: the Indian Normative Data of Echocardiography Analyzed (INDEA) study.印度人心腔尺寸和整体纵向应变的正常值:印度超声心动图分析的正常值研究(INDEA 研究)。
Int J Cardiovasc Imaging. 2021 Mar;37(3):871-880. doi: 10.1007/s10554-020-02060-8. Epub 2020 Oct 12.

引用本文的文献

1
Non-Invasive Diagnosis of Chronic Myocardial Infarction via Composite In-Silico-Human Data Learning.通过复合虚拟人体数据学习对慢性心肌梗死进行无创诊断
Adv Sci (Weinh). 2025 Jun 19:e06933. doi: 10.1002/advs.202406933.
2
Society for Cardiovascular Magnetic Resonance reference values ("normal values") in cardiovascular magnetic resonance: 2025 update.心血管磁共振学会心血管磁共振参考值(“正常值”):2025年更新。
J Cardiovasc Magn Reson. 2025;27(1):101853. doi: 10.1016/j.jocmr.2025.101853. Epub 2025 Feb 4.
3
Cardiac Magnetic Resonance Imaging in Diagnostics and Cardiovascular Risk Assessment.

本文引用的文献

1
Standardized image interpretation and post-processing in cardiovascular magnetic resonance - 2020 update : Society for Cardiovascular Magnetic Resonance (SCMR): Board of Trustees Task Force on Standardized Post-Processing.心血管磁共振标准化图像解读和后处理 - 2020 年更新:心血管磁共振学会(SCMR):标准化后处理董事会信托基金工作组。
J Cardiovasc Magn Reson. 2020 Mar 12;22(1):19. doi: 10.1186/s12968-020-00610-6.
2
Hyperdynamic left ventricular function and the prognostic implications for heart failure with preserved ejection fraction.左心室功能亢进及其对射血分数保留的心力衰竭的预后影响。
Eur Heart J. 2020 Mar 21;41(12):1258-1259. doi: 10.1093/eurheartj/ehz706.
3
心脏磁共振成像在诊断和心血管风险评估中的应用
Diagnostics (Basel). 2025 Jan 14;15(2):178. doi: 10.3390/diagnostics15020178.
4
Cardiac output drop reflects circulatory attrition after Fontan completion: serial cardiac magnetic resonance study.心输出量下降反映了Fontan手术完成后的循环损耗:心脏磁共振序列研究。
Eur Heart J Imaging Methods Pract. 2023 Nov 27;1(2):qyad039. doi: 10.1093/ehjimp/qyad039. eCollection 2023 Sep.
5
Estimate of the hydraulic force in the aging heart: a cardiovascular magnetic resonance imaging study.估算衰老心脏中的液压力:一项心血管磁共振成像研究。
BMC Med Imaging. 2024 Jul 8;24(1):168. doi: 10.1186/s12880-024-01303-7.
6
Sex-specific structural and functional cardiac remodeling during healthy aging assessed by cardiovascular magnetic resonance.通过心血管磁共振评估健康衰老过程中性别特异性的心脏结构和功能重塑。
Clin Res Cardiol. 2024 Mar 11. doi: 10.1007/s00392-024-02430-5.
7
Adherence to clinical practice guidelines for pulmonary valve intervention after tetralogy of Fallot repair: A nationwide cohort study.法洛四联症修复术后肺动脉瓣介入治疗临床实践指南的依从性:一项全国性队列研究。
JTCVS Open. 2023 Nov 30;17:215-228. doi: 10.1016/j.xjon.2023.11.013. eCollection 2024 Feb.
8
The changing morphology of the ventricular walls of mouse and human with increasing gestation.随着妊娠的增加,小鼠和人类心室壁的形态变化。
J Anat. 2024 Jun;244(6):1040-1053. doi: 10.1111/joa.14017. Epub 2024 Jan 29.
9
Prognostic Utility of Cardiovascular Magnetic Resonance-Based Phenotyping in Patients With Muscular Dystrophy.基于心血管磁共振的表型分析对肌肉疾病患者的预后预测价值。
J Am Heart Assoc. 2023 Nov 7;12(21):e030229. doi: 10.1161/JAHA.123.030229. Epub 2023 Nov 6.
10
Cerebrovascular Events in Older Patients With Patent Foramen Ovale: Current Status and Future Perspectives.卵圆孔未闭老年患者的脑血管事件:现状与未来展望
J Stroke. 2023 Sep;25(3):338-349. doi: 10.5853/jos.2023.01599. Epub 2023 Sep 26.
Routinely reported ejection fraction and mortality in clinical practice: where does the nadir of risk lie?
在临床实践中, routinely reported 射血分数和死亡率:风险最低点在哪里?
Eur Heart J. 2020 Mar 21;41(12):1249-1257. doi: 10.1093/eurheartj/ehz550.
4
Society for Cardiovascular Magnetic Resonance (SCMR) expert consensus for CMR imaging endpoints in clinical research: part I - analytical validation and clinical qualification.心血管磁共振学会 (SCMR) 临床研究中 CMRI 终点的专家共识:第一部分——分析验证和临床资格认证。
J Cardiovasc Magn Reson. 2018 Sep 20;20(1):67. doi: 10.1186/s12968-018-0484-5.
5
Cardiovascular magnetic resonance of cardiac morphology and function: impact of different strategies of contour drawing and indexing.心脏形态和功能的心血管磁共振:不同轮廓绘制和索引策略的影响。
Clin Res Cardiol. 2019 Apr;108(4):411-429. doi: 10.1007/s00392-018-1371-7. Epub 2018 Sep 10.
6
Reference ranges for cardiac structure and function using cardiovascular magnetic resonance (CMR) in Caucasians from the UK Biobank population cohort.英国生物银行人群队列中白种人使用心血管磁共振成像(CMR)测量心脏结构和功能的参考范围
J Cardiovasc Magn Reson. 2017 Feb 3;19(1):18. doi: 10.1186/s12968-017-0327-9.
7
Reference values of cardiac ventricular structure and function by steady-state free-procession MRI at 3.0T in healthy adult chinese volunteers.3.0T稳态自由进动磁共振成像测量健康中国成年志愿者心脏心室结构和功能的参考值
J Magn Reson Imaging. 2017 Jun;45(6):1684-1692. doi: 10.1002/jmri.25520. Epub 2016 Nov 9.
8
Rationale, design, and methods for Canadian alliance for healthy hearts and minds cohort study (CAHHM) - a Pan Canadian cohort study.加拿大健康心脏与心灵联盟队列研究(CAHHM)的基本原理、设计与方法——一项全加拿大队列研究。
BMC Public Health. 2016 Jul 27;16:650. doi: 10.1186/s12889-016-3310-8.
9
Impact of age and sex on left ventricular function determined by coronary computed tomographic angiography: results from the prospective multicentre CONFIRM study.年龄和性别对冠状动脉 CT 血管造影术确定的左心室功能的影响:前瞻性多中心 CONFIRM 研究结果。
Eur Heart J Cardiovasc Imaging. 2017 Sep 1;18(9):990-1000. doi: 10.1093/ehjci/jew142.
10
Cardiovascular magnetic resonance reference ranges for the heart and aorta in Chinese at 3T.3T场强下中国人群心脏和主动脉的心血管磁共振参考范围
J Cardiovasc Magn Reson. 2016 Apr 12;18:21. doi: 10.1186/s12968-016-0236-3.