• 文献检索
  • 文档翻译
  • 深度研究
  • 学术资讯
  • Suppr Zotero 插件Zotero 插件
  • 邀请有礼
  • 套餐&价格
  • 历史记录
应用&插件
Suppr Zotero 插件Zotero 插件浏览器插件Mac 客户端Windows 客户端微信小程序
定价
高级版会员购买积分包购买API积分包
服务
文献检索文档翻译深度研究API 文档MCP 服务
关于我们
关于 Suppr公司介绍联系我们用户协议隐私条款
关注我们

Suppr 超能文献

核心技术专利:CN118964589B侵权必究
粤ICP备2023148730 号-1Suppr @ 2026

文献检索

告别复杂PubMed语法,用中文像聊天一样搜索,搜遍4000万医学文献。AI智能推荐,让科研检索更轻松。

立即免费搜索

文件翻译

保留排版,准确专业,支持PDF/Word/PPT等文件格式,支持 12+语言互译。

免费翻译文档

深度研究

AI帮你快速写综述,25分钟生成高质量综述,智能提取关键信息,辅助科研写作。

立即免费体验

α-突触核蛋白的内源性水平调节细胞培养中的种子和聚集。

Endogenous Levels of Alpha-Synuclein Modulate Seeding and Aggregation in Cultured Cells.

机构信息

Department of Experimental Neurodegeneration, Center for Biostructural Imaging of Neurodegeneration, University Medical Center Goettingen, 37073, Goettingen, Germany.

Laboratory of Neuroanatomy and Experimental Neurology, Department. of Morphological Sciences, CIMUS, IDIS, University of Santiago de Compostela, Santiago de Compostela, Spain.

出版信息

Mol Neurobiol. 2022 Feb;59(2):1273-1284. doi: 10.1007/s12035-021-02713-2. Epub 2022 Jan 4.

DOI:10.1007/s12035-021-02713-2
PMID:34984585
原文链接:https://pmc.ncbi.nlm.nih.gov/articles/PMC8857012/
Abstract

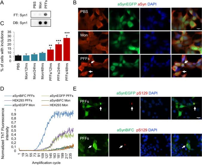
Parkinson's disease is a progressive neurodegenerative disorder characterized by the accumulation of misfolded alpha-synuclein in intraneuronal inclusions known as Lewy bodies and Lewy neurites. Multiple studies strongly implicate the levels of alpha-synuclein as a major risk factor for the onset and progression of Parkinson's disease. Alpha-synuclein pathology spreads progressively throughout interconnected brain regions but the precise molecular mechanisms underlying the seeding of alpha-synuclein aggregation are still unclear. Here, using stable cell lines expressing alpha-synuclein, we examined the correlation between endogenous alpha-synuclein levels and the seeding propensity by exogenous alpha-synuclein preformed fibrils. We applied biochemical approaches and imaging methods in stable cell lines expressing alpha-synuclein and in primary neurons to determine the impact of alpha-synuclein levels on seeding and aggregation. Our results indicate that the levels of alpha-synuclein define the pattern and severity of aggregation and the extent of p-alpha-synuclein deposition, likely explaining the selective vulnerability of different cell types in synucleinopathies. The elucidation of the cellular processes involved in the pathological aggregation of alpha-synuclein will enable the identification of novel targets and the development of therapeutic strategies for Parkinson's disease and other synucleinopathies.

摘要

帕金森病是一种进行性神经退行性疾病,其特征是错误折叠的α-突触核蛋白在称为路易体和路易神经突的神经元内包涵体中积累。多项研究强烈表明α-突触核蛋白水平是帕金森病发病和进展的主要危险因素。α-突触核蛋白病理学在相互连接的大脑区域中逐渐扩散,但α-突触核蛋白聚集的种子形成的确切分子机制仍不清楚。在这里,我们使用表达α-突触核蛋白的稳定细胞系,研究了内源性α-突触核蛋白水平与外源性α-突触核蛋白预形成纤维的种子形成倾向之间的相关性。我们在表达α-突触核蛋白的稳定细胞系和原代神经元中应用生化方法和成像方法,以确定α-突触核蛋白水平对种子形成和聚集的影响。我们的结果表明,α-突触核蛋白的水平决定了聚集的模式和严重程度以及 p-α-突触核蛋白沉积的程度,这可能解释了不同细胞类型在突触核蛋白病中的选择性易感性。阐明涉及α-突触核蛋白病理性聚集的细胞过程将能够确定新的靶点,并为帕金森病和其他突触核蛋白病开发治疗策略。

https://cdn.ncbi.nlm.nih.gov/pmc/blobs/60b0/8857012/57ecfb9add77/12035_2021_2713_Fig5_HTML.jpg
https://cdn.ncbi.nlm.nih.gov/pmc/blobs/60b0/8857012/26b5b2b640aa/12035_2021_2713_Fig1_HTML.jpg
https://cdn.ncbi.nlm.nih.gov/pmc/blobs/60b0/8857012/412965b43d16/12035_2021_2713_Fig2_HTML.jpg
https://cdn.ncbi.nlm.nih.gov/pmc/blobs/60b0/8857012/9d969dc8b8eb/12035_2021_2713_Fig3_HTML.jpg
https://cdn.ncbi.nlm.nih.gov/pmc/blobs/60b0/8857012/15f5275a0c6d/12035_2021_2713_Fig4_HTML.jpg
https://cdn.ncbi.nlm.nih.gov/pmc/blobs/60b0/8857012/57ecfb9add77/12035_2021_2713_Fig5_HTML.jpg
https://cdn.ncbi.nlm.nih.gov/pmc/blobs/60b0/8857012/26b5b2b640aa/12035_2021_2713_Fig1_HTML.jpg
https://cdn.ncbi.nlm.nih.gov/pmc/blobs/60b0/8857012/412965b43d16/12035_2021_2713_Fig2_HTML.jpg
https://cdn.ncbi.nlm.nih.gov/pmc/blobs/60b0/8857012/9d969dc8b8eb/12035_2021_2713_Fig3_HTML.jpg
https://cdn.ncbi.nlm.nih.gov/pmc/blobs/60b0/8857012/15f5275a0c6d/12035_2021_2713_Fig4_HTML.jpg
https://cdn.ncbi.nlm.nih.gov/pmc/blobs/60b0/8857012/57ecfb9add77/12035_2021_2713_Fig5_HTML.jpg

相似文献

1
Endogenous Levels of Alpha-Synuclein Modulate Seeding and Aggregation in Cultured Cells.α-突触核蛋白的内源性水平调节细胞培养中的种子和聚集。
Mol Neurobiol. 2022 Feb;59(2):1273-1284. doi: 10.1007/s12035-021-02713-2. Epub 2022 Jan 4.
2
Naturally occurring antibodies isolated from PD patients inhibit synuclein seeding in vitro and recognize Lewy pathology.从 PD 患者中分离出的天然存在的抗体可抑制体外的突触核蛋白播散,并识别路易小体病理。
Acta Neuropathol. 2019 May;137(5):825-836. doi: 10.1007/s00401-019-01974-5. Epub 2019 Feb 25.
3
14-3-3 Proteins Reduce Cell-to-Cell Transfer and Propagation of Pathogenic α-Synuclein.14-3-3 蛋白减少致病性 α-突触核蛋白的细胞间转移和传播。
J Neurosci. 2018 Sep 19;38(38):8211-8232. doi: 10.1523/JNEUROSCI.1134-18.2018. Epub 2018 Aug 9.
4
Do Lewy bodies contain alpha-synuclein fibrils? and Does it matter? A brief history and critical analysis of recent reports.路易体是否含有α-突触核蛋白纤维?这有关系吗?对近期报告的简要历史回顾和批判性分析。
Neurobiol Dis. 2020 Jul;141:104876. doi: 10.1016/j.nbd.2020.104876. Epub 2020 Apr 25.
5
Expression of α-synuclein is regulated in a neuronal cell type-dependent manner.α-突触核蛋白的表达以神经元细胞类型依赖的方式受到调控。
Anat Sci Int. 2019 Jan;94(1):11-22. doi: 10.1007/s12565-018-0464-8. Epub 2018 Oct 25.
6
Progressive aggregation of alpha-synuclein and selective degeneration of lewy inclusion-bearing neurons in a mouse model of parkinsonism.帕金森病小鼠模型中α-突触核蛋白的进行性聚集及含路易小体神经元的选择性变性。
Cell Rep. 2015 Mar 3;10(8):1252-60. doi: 10.1016/j.celrep.2015.01.060. Epub 2015 Feb 26.
7
The process of Lewy body formation, rather than simply α-synuclein fibrillization, is one of the major drivers of neurodegeneration.路易体的形成过程,而不仅仅是α-突触核蛋白的纤维化,是神经退行性变的主要驱动因素之一。
Proc Natl Acad Sci U S A. 2020 Mar 3;117(9):4971-4982. doi: 10.1073/pnas.1913904117. Epub 2020 Feb 19.
8
Prominent astrocytic alpha-synuclein pathology with unique post-translational modification signatures unveiled across Lewy body disorders.在路易体疾病中揭示了具有独特翻译后修饰特征的突出星形胶质细胞 alpha-突触核蛋白病理学。
Acta Neuropathol Commun. 2022 Nov 12;10(1):163. doi: 10.1186/s40478-022-01468-8.
9
Systematic comparison of the effects of alpha-synuclein mutations on its oligomerization and aggregation.α-突触核蛋白突变对其寡聚化和聚集作用的系统比较
PLoS Genet. 2014 Nov 13;10(11):e1004741. doi: 10.1371/journal.pgen.1004741. eCollection 2014 Nov.
10
Recapitulating Parkinson's disease pathology in a three-dimensional human neural cell culture model.在三维人类神经细胞培养模型中重现帕金森病病理学。
Dis Model Mech. 2019 Apr 9;12(4):dmm038042. doi: 10.1242/dmm.038042.

引用本文的文献

1
Oligomeric alpha-synuclein causes early synaptic dysfunction of the corticostriatal pathway associated with non-motor symptoms.寡聚α-突触核蛋白导致与非运动症状相关的皮质纹状体通路早期突触功能障碍。
NPJ Parkinsons Dis. 2025 Jul 29;11(1):220. doi: 10.1038/s41531-025-01075-z.
2
A high-fidelity microfluidic platform reveals retrograde propagation as the main mechanism of α-Synuclein spread in human neurons.一个高保真微流控平台揭示了逆向传播是α-突触核蛋白在人类神经元中传播的主要机制。
NPJ Parkinsons Dis. 2025 Apr 20;11(1):80. doi: 10.1038/s41531-025-00936-x.
3
α-Synuclein Pathology Spreads in a Midbrain-Hindbrain Assembloid Model.

本文引用的文献

1
Distinct alpha-Synuclein species induced by seeding are selectively cleared by the Lysosome or the Proteasome in neuronally differentiated SH-SY5Y cells.由种子诱导的不同α-突触核蛋白物种在神经元分化的 SH-SY5Y 细胞中被溶酶体或蛋白酶体选择性清除。
J Neurochem. 2021 Mar;156(6):880-896. doi: 10.1111/jnc.15174. Epub 2020 Sep 22.
2
Effects of pharmacological modulators of α-synuclein and tau aggregation and internalization.α-突触核蛋白和tau 聚集和内化的药理学调节剂的作用。
Sci Rep. 2020 Jul 30;10(1):12827. doi: 10.1038/s41598-020-69744-y.
3
The expression level of alpha-synuclein in different neuronal populations is the primary determinant of its prion-like seeding.
α-突触核蛋白病理学在中脑-后脑类器官模型中扩散。
Adv Sci (Weinh). 2025 May;12(20):e2409040. doi: 10.1002/advs.202409040. Epub 2025 Apr 17.
4
Fasudil inhibits α-synuclein aggregation through ROCK-inhibition-mediated mechanisms.法舒地尔通过ROCK抑制介导的机制抑制α-突触核蛋白聚集。
Neurotherapeutics. 2025 Mar;22(2):e00544. doi: 10.1016/j.neurot.2025.e00544. Epub 2025 Feb 5.
5
Neuronal constitutive endolysosomal perforations enable α-synuclein aggregation by internalized PFFs.神经元组成性内溶酶体穿孔通过内化的朊蛋白原纤维促进α-突触核蛋白聚集。
J Cell Biol. 2025 Feb 3;224(2). doi: 10.1083/jcb.202401136. Epub 2024 Dec 23.
6
Alpha Synuclein Toxicity and Non-Motor Parkinson's.α-突触核蛋白毒性与非运动性帕金森病
Cells. 2024 Jul 27;13(15):1265. doi: 10.3390/cells13151265.
7
Low-density lipoprotein receptor-related protein 1 mediates α-synuclein transmission from the striatum to the substantia nigra in animal models of Parkinson's disease.在帕金森病动物模型中,低密度脂蛋白受体相关蛋白1介导α-突触核蛋白从纹状体向黑质的传递。
Neural Regen Res. 2026 Apr 1;21(4):1595-1606. doi: 10.4103/NRR.NRR-D-23-01965. Epub 2024 Jul 29.
8
Research Priorities on the Role of α-Synuclein in Parkinson's Disease Pathogenesis.帕金森病发病机制中α-突触核蛋白作用的研究重点。
Mov Disord. 2024 Oct;39(10):1663-1678. doi: 10.1002/mds.29897. Epub 2024 Jun 30.
9
A topographical atlas of α-synuclein dosage and cell type-specific expression in adult mouse brain and peripheral organs.成年小鼠大脑和外周器官中α-突触核蛋白剂量及细胞类型特异性表达的拓扑图谱。
NPJ Parkinsons Dis. 2024 Mar 19;10(1):65. doi: 10.1038/s41531-024-00672-8.
10
Constitutive Endolysosomal Perforation in Neurons allows Induction of α-Synuclein Aggregation by Internalized Pre-Formed Fibrils.神经元中组成型内溶酶体穿孔可使内化的预形成纤维诱导α-突触核蛋白聚集。
bioRxiv. 2024 Jan 1:2023.12.30.573738. doi: 10.1101/2023.12.30.573738.
不同神经元群体中 alpha-synuclein 的表达水平是其朊病毒样种子形成的主要决定因素。
Sci Rep. 2020 Mar 17;10(1):4895. doi: 10.1038/s41598-020-61757-x.
4
RT-QuIC-based detection of alpha-synuclein seeding activity in brains of dementia with Lewy Body patients and of a transgenic mouse model of synucleinopathy.基于 RT-QuIC 的路易体痴呆患者脑内α-突触核蛋白种子活性及突触核蛋白病转基因小鼠模型的检测。
Prion. 2020 Dec;14(1):88-94. doi: 10.1080/19336896.2020.1724608.
5
Alpha-synuclein-induced mitochondrial dysfunction is mediated via a sirtuin 3-dependent pathway.α-突触核蛋白诱导的线粒体功能障碍是通过依赖于 SIRT3 的途径介导的。
Mol Neurodegener. 2020 Jan 13;15(1):5. doi: 10.1186/s13024-019-0349-x.
6
The Overcrowded Crossroads: Mitochondria, Alpha-Synuclein, and the Endo-Lysosomal System Interaction in Parkinson's Disease.《拥挤的十字路口:帕金森病中线粒体、α-突触核蛋白与内溶酶体系统的相互作用》
Int J Mol Sci. 2019 Oct 25;20(21):5312. doi: 10.3390/ijms20215312.
7
Modeling α-Synuclein Propagation with Preformed Fibril Injections.用预形成的原纤维注射模拟α-突触核蛋白的传播
J Mov Disord. 2019 Sep;12(3):139-151. doi: 10.14802/jmd.19046. Epub 2019 Sep 30.
8
Cytosolic Trapping of a Mitochondrial Heat Shock Protein Is an Early Pathological Event in Synucleinopathies.细胞质中捕获线粒体热休克蛋白是突触核蛋白病的早期病理事件。
Cell Rep. 2019 Jul 2;28(1):65-77.e6. doi: 10.1016/j.celrep.2019.06.009.
9
Pathogenic alpha-synuclein aggregates preferentially bind to mitochondria and affect cellular respiration.致病的α-突触核蛋白聚集物优先与线粒体结合,并影响细胞呼吸。
Acta Neuropathol Commun. 2019 Mar 14;7(1):41. doi: 10.1186/s40478-019-0696-4.
10
Crucial role of protein oligomerization in the pathogenesis of Alzheimer's and Parkinson's diseases.蛋白质寡聚化在阿尔茨海默病和帕金森病发病机制中的关键作用。
FEBS J. 2018 Oct;285(19):3631-3644. doi: 10.1111/febs.14587. Epub 2018 Aug 21.