Suppr超能文献

腺样囊性癌:一例罕见的乳腺癌病例。

Adenoid cystic carcinoma: A case of rare breast cancer.

作者信息

Gordillo Claudia, Chukus Anjeza

机构信息

Aventura Hospital and Medical Center Diagnostic Radiology Residency Program, Aventura FL, USA.

Faculty of Diagnostic Radiology Residency Program at Aventura Hospital and Medical Center in Aventura, FL, USA.

出版信息

Radiol Case Rep. 2021 Dec 28;17(3):690-692. doi: 10.1016/j.radcr.2021.12.030. eCollection 2022 Mar.

Abstract

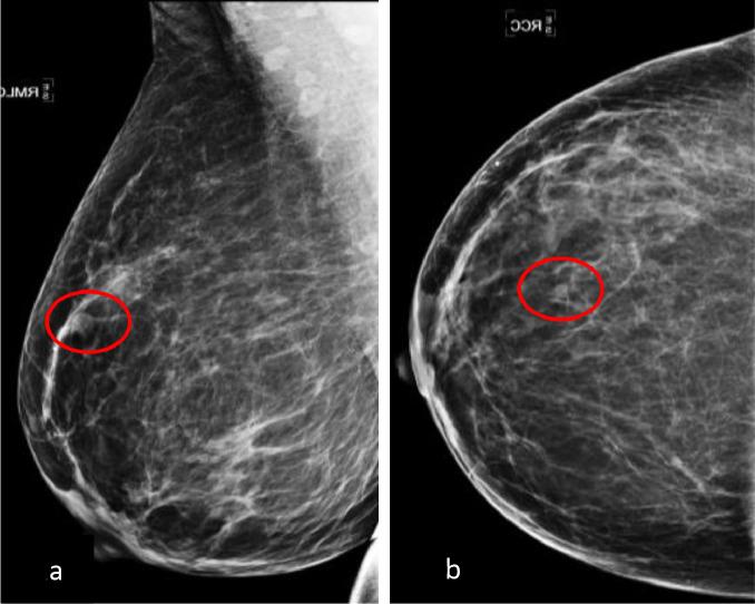
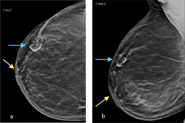
Adenoid cystic carcinoma is a rare form of breast cancer accounting for 0.1%-1.0% of all mammary malignancies. It is characterized by an indolent clinical course and favorable prognosis, contrary to other breast cancers. Diagnostic mammogram and breast ultrasound play a pivotal role in the early detection and diagnosis of breast adenoid cystic carcinoma. Treatment may consist of lumpectomy and radiation therapy vs mastectomy alone. Even though rare, late disease recurrence and metastasis has been reported in the literature thus long-term surveillance is of utmost importance for these patients. We will review the literature and discuss the case of a 52-year-old female who presented with a palpable lump of the right breast, which was pathologically proven to be adenoid cystic carcinoma of the breast.

摘要

腺样囊性癌是一种罕见的乳腺癌类型,占所有乳腺恶性肿瘤的0.1%-1.0%。与其他乳腺癌不同,其临床病程进展缓慢,预后良好。诊断性乳房X光检查和乳房超声在乳腺腺样囊性癌的早期检测和诊断中起着关键作用。治疗方法包括肿块切除术加放射治疗或单纯乳房切除术。尽管罕见,但文献中已有晚期疾病复发和转移的报道,因此对这些患者进行长期监测至关重要。我们将回顾相关文献,并讨论一名52岁女性的病例,该患者右乳出现可触及肿块,病理证实为乳腺腺样囊性癌。

https://cdn.ncbi.nlm.nih.gov/pmc/blobs/eebd/8715290/104892cee5b6/gr1.jpg

文献AI研究员

20分钟写一篇综述,助力文献阅读效率提升50倍。

立即体验

用中文搜PubMed

大模型驱动的PubMed中文搜索引擎

马上搜索

文档翻译

学术文献翻译模型,支持多种主流文档格式。

立即体验