Suppr超能文献

优化菠萝汁作为磁共振胰胆管成像阴性口服对比剂的用量。

Optimization of pineapple juice amount used as a negative oral contrast agent in magnetic resonance cholangiopancreatography.

机构信息

Department of Radiology, IRCCS Azienda Ospedaliero-Universitaria di Bologna, Via Albertoni 15, Bologna, Italia.

"Toso Montanari" Industrial Chemistry Department, University of Bologna, Bologna, Italy.

出版信息

Sci Rep. 2022 Jan 11;12(1):531. doi: 10.1038/s41598-021-04609-6.

Abstract

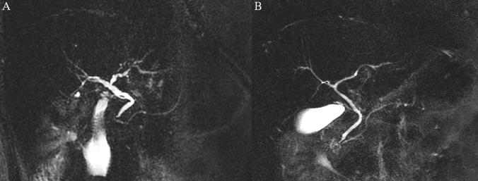
To evaluate the potential variability of Manganese (Mn) in commercial pineapple juice (PJ) produced in different years and to identify the optimal Mn concentration in the correct amount of PJ to be administered prior to Magnetic Resonance Cholangiopancreatography (MRCP) in order to suppress the gastroduodenal (GD) liquid signal. The Mn concentration in PJ produced in different years was defined using Atomic Absorption Spectrometry. The optimal Mn concentration and the amount of PJ, were estimated in an in-vitro analysis, and were then prospectively tested in a population of patients who underwent MRCP. The results were compared with those achieved with the previous standard amount of PJ used in a similar population. The concentrations of Mn in commercial PJ produced in different years did not differ. A total amount of 150 ml (one glass) of PJ having a high Mn content (2.37 mg/dl) was sufficient for the suppression of the GD liquid signal, despite the additional dilution caused by GD liquids since it led to a final concentration of Mn of 0.5-1.00 mg/dl. The optimized single-dose oral administration of 150 ml (approximately one glass) of PJ having a high Mn concentration prior to MRCP was adequate to guarantee the correct amount of Mn to suppress the GD signal.

摘要

为了评估不同年份生产的商业菠萝汁(PJ)中锰(Mn)的潜在变异性,并确定在磁共振胰胆管造影(MRCP)前给予适量 PJ 以抑制胃十二指肠(GD)液体信号的最佳 Mn 浓度。使用原子吸收光谱法定义了不同年份生产的 PJ 中的 Mn 浓度。在体外分析中估算了最佳 Mn 浓度和 PJ 量,然后在接受 MRCP 的患者人群中进行了前瞻性测试。结果与在类似人群中使用先前标准量的 PJ 获得的结果进行了比较。不同年份生产的商业 PJ 中的 Mn 浓度没有差异。尽管由于 GD 液体引起的额外稀释,150 毫升(一杯)具有高 Mn 含量(2.37 毫克/分升)的 PJ 总量足以抑制 GD 液体信号,但最终 Mn 浓度为 0.5-1.00 毫克/分升。在 MRCP 前给予 150 毫升(约一杯)高浓度 Mn 的 PJ 的优化单次口服给药足以保证抑制 GD 信号的正确 Mn 量。

https://cdn.ncbi.nlm.nih.gov/pmc/blobs/d082/8752728/a429f521b52b/41598_2021_4609_Fig1_HTML.jpg

文献检索

告别复杂PubMed语法,用中文像聊天一样搜索,搜遍4000万医学文献。AI智能推荐,让科研检索更轻松。

立即免费搜索

文件翻译

保留排版,准确专业,支持PDF/Word/PPT等文件格式,支持 12+语言互译。

免费翻译文档

深度研究

AI帮你快速写综述,25分钟生成高质量综述,智能提取关键信息,辅助科研写作。

立即免费体验