Suppr超能文献

SD-OCT 测量干性年龄相关性黄斑变性的 cRORA(完全 RPE 和外层视网膜萎缩)进展。

Progression of cRORA (Complete RPE and Outer Retinal Atrophy) in Dry Age-Related Macular Degeneration Measured Using SD-OCT.

机构信息

Department of Ophthalmology, Hadassah-Hebrew University Medical Center, Jerusalem, Israel.

School of Computer Science and Engineering, The Hebrew University of Jerusalem, Givat Ram, Jerusalem, Israel.

出版信息

Transl Vis Sci Technol. 2022 Jan 3;11(1):19. doi: 10.1167/tvst.11.1.19.

Abstract

PURPOSE

The purpose of this study was to evaluate the long-term rate of progression and baseline predictors of geographic atrophy (GA) using complete retinal pigment epithelium and outer retinal atrophy (cRORA) annotation criteria.

METHODS

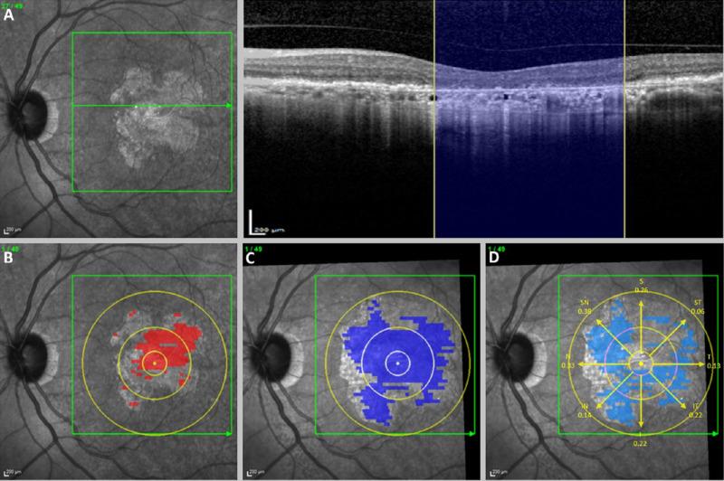
This is a retrospective study. Columns of GA were manually annotated by two graders using a self-developed software on optical coherence tomography (OCT) B-scans and projected onto the infrared images. The primary outcomes were: (1) rate of area progression, (2) rate of square root area progression, and (3) rate of radial progression towards the fovea. The effects of 11 additional baseline predictors on the primary outcomes were analyzed: total area, focality (defined as the number of lesions whose area is >0.05 mm2), circularity, total lesion perimeter, minimum diameter, maximum diameter, minimum distance from the center, sex, age, presence/absence of hypertension, and lens status.

RESULTS

GA was annotated in 33 pairs of baseline and follow-up OCT scans from 33 eyes of 18 patients with dry age-related macular degeneration (AMD) followed for at least 6 months. The mean rate of area progression was 1.49 ± 0.86 mm2/year (P < 0.0001 vs. baseline), and the mean rate of square root area progression was 0.33 ± 0.15 mm/year (P < 0.0001 vs. baseline). The mean rate of radial progression toward the fovea was 0.07 ± 0.11 mm/year. A multiple variable linear regression model (adjusted r2 = 0.522) revealed that baseline focality and female sex were significantly correlated with the rate of GA area progression.

CONCLUSIONS

GA area progression was quantified using OCT as an alternative to conventional measurements performed on fundus autofluorescence images. Baseline focality correlated with GA area progression rate and lesion's minimal distance from the center correlated with GA radial progression rate toward the center. These may be important markers for the assessment of GA activity.

TRANSLATIONAL RELEVANCE

Advanced method linking specific retinal micro-anatomy to GA area progression analysis.

摘要

目的

本研究旨在评估使用完整视网膜色素上皮和外层视网膜萎缩(cRORA)标注标准的地理萎缩(GA)的长期进展率和基线预测因子。

方法

这是一项回顾性研究。使用自行开发的软件,通过两名分级员对 OCT B 扫描中的 GA 列进行手动标注,并将其投射到红外图像上。主要结局为:(1)面积进展率;(2)面积平方根进展率;(3)向中心凹的径向进展率。分析了 11 个额外基线预测因子对主要结局的影响:总面积、局灶性(定义为面积大于 0.05mm2 的病变数量)、圆度、总病变周长、最小直径、最大直径、距中心的最小距离、性别、年龄、是否存在高血压以及晶状体状态。

结果

在至少 6 个月的随访中,对 18 例干性年龄相关性黄斑变性(AMD)患者的 33 对基线和随访 OCT 扫描进行了 GA 标注,共 33 只眼。面积进展的平均速率为 1.49±0.86mm2/年(P<0.0001 与基线相比),面积平方根进展的平均速率为 0.33±0.15mm/年(P<0.0001 与基线相比)。向中心凹的径向进展平均速率为 0.07±0.11mm/年。多元线性回归模型(调整 r2=0.522)显示,基线局灶性和女性与 GA 面积进展率显著相关。

结论

使用 OCT 量化 GA 面积进展,替代在眼底自发荧光图像上进行的传统测量。基线局灶性与 GA 面积进展率相关,病变距中心的最小距离与 GA 向中心的径向进展率相关。这些可能是评估 GA 活性的重要标志物。

https://cdn.ncbi.nlm.nih.gov/pmc/blobs/11bc/8762698/ae6caa76f1b1/tvst-11-1-19-f001.jpg

文献AI研究员

20分钟写一篇综述,助力文献阅读效率提升50倍。

立即体验

用中文搜PubMed

大模型驱动的PubMed中文搜索引擎

马上搜索

文档翻译

学术文献翻译模型,支持多种主流文档格式。

立即体验