Suppr超能文献

不同孕周胎盘组织中HoxB3及生长因子表达的研究

Investigation of HoxB3 and Growth Factors Expression in Placentas of Various Gestational Ages.

作者信息

Kreicberga Ilze, Junga Anna, Pilmane Māra

机构信息

Institute of Anatomy and Anthropology, Riga Stradins University, Kronvalda Bulv. 9, LV-1010 Riga, Latvia.

出版信息

J Dev Biol. 2021 Dec 23;10(1):2. doi: 10.3390/jdb10010002.

Abstract

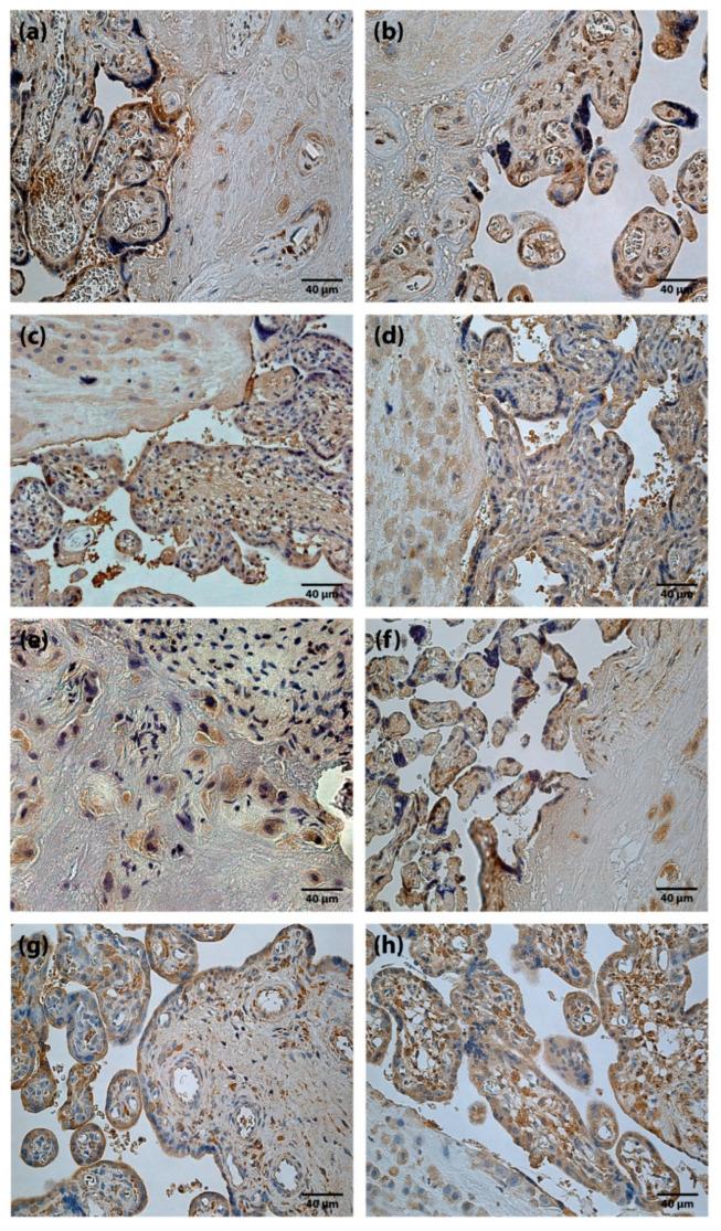
An evaluation of transforming growth factor beta (TGFβ), hepatocyte growth factor (HGF), basic fibroblast growth factor (FGF-2), fibroblast growth factors receptor 1 (FGFR1) and Hox-positive cells in the human placenta, and their correlation with gestational time at delivery and pregnancy outcomes, may provide not only a better understanding of the role of Hox genes and growth factors in human development, but also may be of clinical importance in reproductive medicine. This study analyzed the immunohistochemical identification of TGFβ, HGF, FGF-2, FGFR1 and HoxB3 in placentas of various gestational ages. We found few (+) TGFβ, moderate (++) FGF-2 and numerous (+++) HGF and FGFR1 positive structures. Occasional (0/+) to numerous (+++) HoxB3-positive structures were detected in different types of placental cells specifically, cytotrophoblasts, syncytiotrophoblast, extravillous trophoblasts, and Höfbauer cells. Correlating the appearance of HoxB3 staining in placentas with neonatal parameters, we found a statistically significant negative correlation with ponderal index (r = -0.323, = 0.018) and positive correlation with neonate body length (r = 0.541, = 0.046). The number of HoxB3-positive cells did not correlate with growth factors and gestational age, but with neonatal anthropometrical parameters, indicating the role of HoxB3 not only in placental development, but also in the longitudinal growth of the fetus. TGFβ and FGF-2 did not play a significant role in the development of the placenta beyond 22nd week of pregnancy, while HGF and FGFR1 immunoreactive cells increased with advancing gestation, indicating increasingly evolving maturation (growth, proliferation) of the placenta, especially in the third trimester.

摘要

对人胎盘中转化生长因子β(TGFβ)、肝细胞生长因子(HGF)、碱性成纤维细胞生长因子(FGF - 2)、成纤维细胞生长因子受体1(FGFR1)和Hox阳性细胞进行评估,以及它们与分娩时孕周和妊娠结局的相关性,不仅可以更好地理解Hox基因和生长因子在人类发育中的作用,而且在生殖医学中可能具有临床重要性。本研究分析了不同孕周胎盘组织中TGFβ、HGF、FGF - 2、FGFR1和HoxB3的免疫组化鉴定情况。我们发现TGFβ阳性结构较少(+),FGF - 2为中度(++),HGF和FGFR1阳性结构较多(+++)。在不同类型的胎盘细胞,即细胞滋养层细胞、合体滋养层细胞、绒毛外滋养层细胞和霍夫鲍尔细胞中,偶尔(0/+)到大量(+++)检测到HoxB3阳性结构。将胎盘组织中HoxB3染色的出现情况与新生儿参数进行相关性分析,我们发现与 ponderal指数呈统计学显著负相关(r = -0.323,P = 0.018),与新生儿体长呈正相关(r = 0.541,P = 0.046)。HoxB3阳性细胞数量与生长因子和孕周无关,但与新生儿人体测量参数相关,表明HoxB3不仅在胎盘发育中起作用,而且在胎儿的纵向生长中也起作用。在妊娠22周后,TGFβ和FGF - 2在胎盘发育中未发挥显著作用,而HGF和FGFR1免疫反应性细胞随着孕周增加而增加,表明胎盘成熟(生长、增殖)不断发展,尤其是在妊娠晚期。

https://cdn.ncbi.nlm.nih.gov/pmc/blobs/9f9c/8788416/b07e15515e15/jdb-10-00002-g001.jpg

文献AI研究员

20分钟写一篇综述,助力文献阅读效率提升50倍。

立即体验

用中文搜PubMed

大模型驱动的PubMed中文搜索引擎

马上搜索

文档翻译

学术文献翻译模型,支持多种主流文档格式。

立即体验