Suppr超能文献

胰腺癌的治疗前评估:氟代脱氧葡萄糖正电子发射断层扫描/计算机断层扫描联合延迟正电子发射断层扫描/磁共振成像与对比增强计算机断层扫描/磁共振成像的比较

Pretherapeutic Assessment of Pancreatic Cancer: Comparison of FDG PET/CT Plus Delayed PET/MR and Contrast-Enhanced CT/MR.

作者信息

Zhang Zaizhu, Zhou Nina, Guo Xiaoyi, Li Nan, Zhu Hua, Yang Zhi

机构信息

Key Laboratory of Carcinogenesis and Translational Research (Ministry of Education/Beijing), NMPA Key Laboratory for Research and Evaluation of Radiopharmaceuticals (National Medical Products Administration), Department of Nuclear Medicine; Peking University Cancer Hospital & Institute, Beijing, China.

出版信息

Front Oncol. 2022 Jan 14;11:790462. doi: 10.3389/fonc.2021.790462. eCollection 2021.

Abstract

PURPOSE

This study aims to determine the diagnostic performance of whole-body FDG PET/CT plus delayed abdomen PET/MR imaging in the pretherapeutic assessment of pancreatic cancer in comparison with that of contrast-enhanced (CE)-CT/MR imaging.

MATERIALS AND METHODS

Forty patients with pancreatic cancer underwent nonenhanced whole-body FDG PET/CT, delayed abdomen PET/MR imaging, and CE-CT/MR imaging. Two nuclear medicine physicians independently reviewed these images and discussed to reach a consensus, determining tumor resectability according to a 5-point scale, N stage (N0 or N positive), and M stage (M0 or M1). With use of clinical-surgical-pathologic findings as the reference standard, diagnostic performances of the two imaging sets were compared by using the McNemar test.

RESULTS

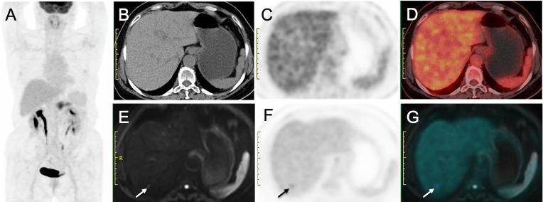
The diagnostic performance of FDG PET/CT plus delayed PET/MR imaging was not significantly different from that of CE-CT/MR imaging in the assessment of tumor resectability [area under the receiver operating characteristic curve: 0.927 vs. 0.925 ( = 0.975)], N stage (accuracy: 80% (16 of 20 patients) vs. 55% (11 of 20 patients), = 0.125), and M stage (accuracy: 100% (40 of 40 patients) vs. 93% (37 of 40 patients), = 0.250). Moreover, 14 of 40 patients had liver metastases. The number of liver metastases detected by CE-CT/MR imaging, PET/CT, and PET/MR imaging were 33, 18, and 61, respectively. Compared with CE-CT/MR imaging, PET/MR imaging resulted in additional findings of more liver metastases in 9/14 patients, of which 3 patients were upstaged. Compared with PET/CT, PET/MR imaging resulted in additional findings of more liver metastases in 12/14 patients, of which 6 patients were upstaged.

CONCLUSIONS

Although FDG PET/CT plus delayed PET/MR imaging showed a diagnostic performance similar to that of CE-CT/MR imaging in the pretherapeutic assessment of the resectability and staging of pancreatic tumors, it still has potential as the more efficient and reasonable work-up approach for the additional value of metastatic information provided by delayed PET/MR imaging.

摘要

目的

本研究旨在确定与对比增强(CE)-CT/MR成像相比,全身FDG PET/CT联合延迟腹部PET/MR成像在胰腺癌治疗前评估中的诊断性能。

材料与方法

40例胰腺癌患者接受了非增强全身FDG PET/CT、延迟腹部PET/MR成像以及CE-CT/MR成像。两名核医学医师独立审查这些图像并进行讨论以达成共识,根据5分制、N分期(N0或N阳性)和M分期(M0或M1)确定肿瘤可切除性。以临床-手术-病理结果作为参考标准,使用McNemar检验比较两组成像的诊断性能。

结果

在评估肿瘤可切除性方面,FDG PET/CT联合延迟PET/MR成像的诊断性能与CE-CT/MR成像无显著差异[受试者操作特征曲线下面积:0.927对0.925(P = 0.975)],N分期(准确性:80%(20例患者中的16例)对55%(20例患者中的11例),P = 0.125),以及M分期(准确性:100%(40例患者中的40例)对93%(40例患者中的37例),P = 0.250)。此外,40例患者中有14例发生肝转移。CE-CT/MR成像、PET/CT和PET/MR成像检测到的肝转移灶数量分别为33个、18个和61个。与CE-CT/MR成像相比,PET/MR成像在14例患者中的9例发现了更多肝转移灶,其中3例患者分期上调。与PET/CT相比,PET/MR成像在14例患者中的12例发现了更多肝转移灶,其中6例患者分期上调。

结论

尽管FDG PET/CT联合延迟PET/MR成像在胰腺癌可切除性和分期的治疗前评估中显示出与CE-CT/MR成像相似的诊断性能,但由于延迟PET/MR成像提供的转移信息具有附加价值,它仍有潜力成为更高效、合理的检查方法。

https://cdn.ncbi.nlm.nih.gov/pmc/blobs/0679/8794800/f364aedead57/fonc-11-790462-g001.jpg

相似文献

1
Pretherapeutic Assessment of Pancreatic Cancer: Comparison of FDG PET/CT Plus Delayed PET/MR and Contrast-Enhanced CT/MR.
Front Oncol. 2022 Jan 14;11:790462. doi: 10.3389/fonc.2021.790462. eCollection 2021.
5
Comparison of CE-FDG-PET/CT with CE-FDG-PET/MR in the evaluation of osseous metastases in breast cancer patients.
Br J Cancer. 2015 Apr 28;112(9):1452-60. doi: 10.1038/bjc.2015.112. Epub 2015 Apr 14.
7
Protocol requirements and diagnostic value of PET/MR imaging for liver metastasis detection.
Eur J Nucl Med Mol Imaging. 2014 Apr;41(4):649-58. doi: 10.1007/s00259-013-2654-x. Epub 2013 Dec 18.
9
More advantages in detecting bone and soft tissue metastases from prostate cancer using F-PSMA PET/CT.
Hell J Nucl Med. 2019 Jan-Apr;22(1):6-9. doi: 10.1967/s002449910952. Epub 2019 Mar 7.

本文引用的文献

1
Ga-DOTA-FAPI-04 PET/MR in the Evaluation of Gastric Carcinomas: Comparison with F-FDG PET/CT.
J Nucl Med. 2022 Jan;63(1):81-88. doi: 10.2967/jnumed.120.258467. Epub 2021 Apr 16.
2
Impact of PET/MRI in the Treatment of Pancreatic Adenocarcinoma: a Retrospective Cohort Study.
Mol Imaging Biol. 2021 Jun;23(3):456-466. doi: 10.1007/s11307-020-01569-7. Epub 2021 Jan 7.
4
Use of imaging as staging and surgical planning for pancreatic surgery.
Hepatobiliary Surg Nutr. 2020 Oct;9(5):603-614. doi: 10.21037/hbsn.2019.05.04.
5
Pancreatic cancer.
Lancet. 2020 Jun 27;395(10242):2008-2020. doi: 10.1016/S0140-6736(20)30974-0.
6
Cancer statistics, 2020.
CA Cancer J Clin. 2020 Jan;70(1):7-30. doi: 10.3322/caac.21590. Epub 2020 Jan 8.
7
Pancreatic Cancer CT: Prediction of Resectability according to NCCN Criteria.
Radiology. 2018 Dec;289(3):710-718. doi: 10.1148/radiol.2018180628. Epub 2018 Sep 25.
8
Global cancer statistics 2018: GLOBOCAN estimates of incidence and mortality worldwide for 36 cancers in 185 countries.
CA Cancer J Clin. 2018 Nov;68(6):394-424. doi: 10.3322/caac.21492. Epub 2018 Sep 12.
9
Clinical PET/MRI: 2018 Update.
AJR Am J Roentgenol. 2018 Aug;211(2):295-313. doi: 10.2214/AJR.18.20001. Epub 2018 Jun 27.
10
Diagnosis and Detection of Pancreatic Cancer.
Cancer J. 2017 Nov/Dec;23(6):333-342. doi: 10.1097/PPO.0000000000000290.

文献AI研究员

20分钟写一篇综述,助力文献阅读效率提升50倍。

立即体验

用中文搜PubMed

大模型驱动的PubMed中文搜索引擎

马上搜索

文档翻译

学术文献翻译模型,支持多种主流文档格式。

立即体验