Suppr超能文献

一名卤素餐具制造商的职业性纤维化超敏性肺炎:病例报告

Occupational fibrotic hypersensitivity pneumonia in a halogen dishes manufacturer: A case report.

作者信息

Wang Min, Fang Hao-Hui, Jiang Zi-Feng, Ye Wei, Liu Rong-Yu

机构信息

Department of Geriatric Respiratory and Critical Care, the First Affiliated Hospital of Anhui Medical University, Hefei 230001, Anhui Province, China.

Department of Respiratory and Critical Care, Anhui Chest Hospital, Hefei 230001, Anhui Province, China.

出版信息

World J Clin Cases. 2022 Jan 14;10(2):741-746. doi: 10.12998/wjcc.v10.i2.741.

Abstract

BACKGROUND

Fibrotic hypersensitivity pneumonitis (FHP) is an allergic and diffuse pneumonia caused by repeated inhalation of antigenic substances, and sometimes developed in people working in specific environments. While novel antigens and exposures continued to be described, physicians should maintain a high suspicion of potential exposures. A detailed assessment of the patient's occupational exposures as well as living environment is necessary and complete allergen avoidance is the first and most important step in the management of FHP once the allergens are determined.

CASE SUMMARY

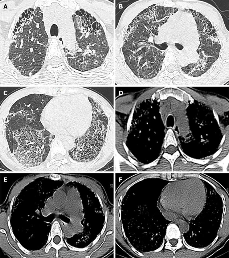
A 35-year-old female was admitted to the hospital with a cough and breathing difficulties for more than one year. She was a nonsmoker and a manufacturer of halogen dishes, which are characteristic Chinese foods, for 15 years without any protection. High resolution computed tomography of the chest demonstrated an interstitial pneumonia pattern. Pulmonary function examination showed restricted ventilation dysfunction and a significant reduction in dispersion ability. Cell differentiation in bronchoalveolar lavage fluid demonstrated lymphocytosis (70.4%) with an increased lymphocyte CD4/CD8 ratio (0.94). Transbronchial lung biopsy combined with lung puncture pathology showed diffuse uniform alveolar interval thickening, chronic inflammatory cell infiltration, a proliferation of tissue in the bronchial wall fiber and alveolar epithelial follicle degeneration, resulting in fibrosis.

CONCLUSION

Exposure to spices used for the production of halogen dishes may cause FHP.

摘要

背景

纤维化性过敏性肺炎(FHP)是一种因反复吸入抗原性物质引起的过敏性弥漫性肺炎,有时在特定环境中工作的人群中发病。尽管不断有新的抗原和暴露因素被描述,但医生仍应高度怀疑潜在的暴露情况。一旦确定过敏原,对患者的职业暴露以及生活环境进行详细评估是必要的,而完全避免接触过敏原是FHP管理的首要也是最重要的步骤。

病例摘要

一名35岁女性因咳嗽和呼吸困难入院,症状持续一年多。她不吸烟,从事卤味制作(一种具有中国特色的食品)15年,期间未采取任何防护措施。胸部高分辨率计算机断层扫描显示为间质性肺炎模式。肺功能检查显示通气功能受限和弥散能力显著降低。支气管肺泡灌洗液体细胞分化显示淋巴细胞增多(70.4%),淋巴细胞CD4/CD8比值升高(0.94)。经支气管肺活检联合肺穿刺病理显示弥漫性均匀肺泡间隔增厚、慢性炎症细胞浸润、支气管壁纤维组织增生以及肺泡上皮滤泡变性,导致纤维化。

结论

接触用于制作卤味的香料可能导致FHP。

https://cdn.ncbi.nlm.nih.gov/pmc/blobs/c93b/8771394/231e44f9fcf1/WJCC-10-741-g001.jpg

文献AI研究员

20分钟写一篇综述,助力文献阅读效率提升50倍。

立即体验

用中文搜PubMed

大模型驱动的PubMed中文搜索引擎

马上搜索

文档翻译

学术文献翻译模型,支持多种主流文档格式。

立即体验