• 文献检索
  • 文档翻译
  • 深度研究
  • 学术资讯
  • Suppr Zotero 插件Zotero 插件
  • 邀请有礼
  • 套餐&价格
  • 历史记录
应用&插件
Suppr Zotero 插件Zotero 插件浏览器插件Mac 客户端Windows 客户端微信小程序
定价
高级版会员购买积分包购买API积分包
服务
文献检索文档翻译深度研究API 文档MCP 服务
关于我们
关于 Suppr公司介绍联系我们用户协议隐私条款
关注我们

Suppr 超能文献

核心技术专利:CN118964589B侵权必究
粤ICP备2023148730 号-1Suppr @ 2026

文献检索

告别复杂PubMed语法,用中文像聊天一样搜索,搜遍4000万医学文献。AI智能推荐,让科研检索更轻松。

立即免费搜索

文件翻译

保留排版,准确专业,支持PDF/Word/PPT等文件格式,支持 12+语言互译。

免费翻译文档

深度研究

AI帮你快速写综述,25分钟生成高质量综述,智能提取关键信息,辅助科研写作。

立即免费体验

超声靶向微泡破坏介导的 SOCS3 减弱了乳腺癌干细胞的生物学特性和上皮-间充质转化(EMT)。

Ultrasound targeted microbubble destruction-mediated SOCS3 attenuates biological characteristics and epithelial-mesenchymal transition (EMT) of breast cancer stem cells.

机构信息

Department of Breast Surgery, The First Affiliated Hospital of Xi'an Jiaotong University, Xi'an, China.

出版信息

Bioengineered. 2022 Feb;13(2):3896-3910. doi: 10.1080/21655979.2022.2031384.

DOI:10.1080/21655979.2022.2031384
PMID:35109743
原文链接:https://pmc.ncbi.nlm.nih.gov/articles/PMC8973955/
Abstract

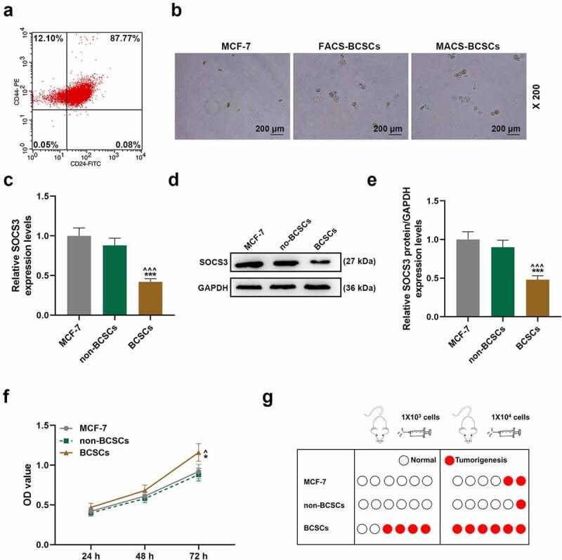
SOCS3 is low-expressed in breast cancer and may be a potential target. Ultrasound targeted microbubble destruction (UTMD) improved the efficiency of gene transfection. We explored the effects of UTMD-mediated transfection of SOCS3 on the biological characteristics and epithelial-mesenchymal transition (EMT) of breast cancer stem cells (BCSCs). The expression of SOCS3 in breast cancer (BC) and its association with prognosis were evaluated by GEPIA and The Cancer Genome Atlas (TCGA) websites. BCSCs were sorted by flow cytometry and immunomagnetic bead method, followed by sphere formation, 3-(4,5-dimethylthiazol-2-yl)-2,5-diphenyltetrazolium bromide (MTT) and xenograft assays to test their effects and . The levels of SOCS3, EMT- and STAT3 pathway-related genes were determined by RT-qPCR and Western blot, respectively. The effects of liposome and UTMD on BCSCs and mice were compared by the gain-of-function experiments. Low expression of SOCS3 was associated with poor prognosis of BC patients, and found in BC and BCSCs. BCSCs were successfully sorted, with high viability and tumorigenicity. UTMD increased the transfection rate of SOCS3. Moreover, UTMD- and liposome-mediated SOCS3 reduced cell viability, proliferation, migration and invasion, blocked cell cycle, inhibited sphere formation in BCSCs, and retarded tumor growth in mice. Mechanistically, overexpressed SOCS3 inhibited the expressions of EMT-related genes and the activation of STAT3 pathway in BCSCs and mice. The regulatory effects of UTMD-mediated SOCS3 on the above-mentioned biological characteristics were better than liposome-mediated SOCS3. UTMD-mediated SOCS3 has a better therapeutic effect in BC, providing new experimental evidence for the treatment of BC.

摘要

SOCS3 在乳腺癌中低表达,可能是一个潜在的靶点。超声靶向微泡破坏(UTMD)提高了基因转染的效率。我们探讨了 UTMD 介导的 SOCS3 转染对乳腺癌干细胞(BCSCs)的生物学特性和上皮-间充质转化(EMT)的影响。通过 GEPIA 和癌症基因组图谱(TCGA)网站评估 SOCS3 在乳腺癌(BC)中的表达及其与预后的关系。采用流式细胞术和免疫磁珠法分选 BCSCs,然后进行球体形成、3-(4,5-二甲基噻唑-2-基)-2,5-二苯基四氮唑溴盐(MTT)和异种移植实验,以检测其作用。通过 RT-qPCR 和 Western blot 分别测定 SOCS3、EMT 和 STAT3 通路相关基因的水平。通过功能获得实验比较脂质体和 UTMD 对 BCSCs 和小鼠的影响。SOCS3 的低表达与 BC 患者的不良预后相关,并且在 BC 和 BCSCs 中均发现。BCSCs 成功分离,具有较高的活力和致瘤性。UTMD 增加了 SOCS3 的转染率。此外,UTMD 和脂质体介导的 SOCS3 降低了 BCSCs 的细胞活力、增殖、迁移和侵袭,阻断了细胞周期,抑制了 BCSCs 的球体形成,并减缓了小鼠肿瘤的生长。机制上,过表达的 SOCS3 抑制了 EMT 相关基因在 BCSCs 和小鼠中的表达以及 STAT3 通路的激活。UTMD 介导的 SOCS3 对上述生物学特性的调节作用优于脂质体介导的 SOCS3。UTMD 介导的 SOCS3 在 BC 中具有更好的治疗效果,为 BC 的治疗提供了新的实验证据。

https://cdn.ncbi.nlm.nih.gov/pmc/blobs/e61d/8973955/a64c06b811e7/KBIE_A_2031384_F0007_OC.jpg
https://cdn.ncbi.nlm.nih.gov/pmc/blobs/e61d/8973955/43e18eae3ff6/KBIE_A_2031384_UF0001_OC.jpg
https://cdn.ncbi.nlm.nih.gov/pmc/blobs/e61d/8973955/f112b7eaf1c1/KBIE_A_2031384_F0001_OC.jpg
https://cdn.ncbi.nlm.nih.gov/pmc/blobs/e61d/8973955/dabcc500ae09/KBIE_A_2031384_F0002_OC.jpg
https://cdn.ncbi.nlm.nih.gov/pmc/blobs/e61d/8973955/e2e17a9dbf78/KBIE_A_2031384_F0003_OC.jpg
https://cdn.ncbi.nlm.nih.gov/pmc/blobs/e61d/8973955/bd4235ffe9f2/KBIE_A_2031384_F0004_OC.jpg
https://cdn.ncbi.nlm.nih.gov/pmc/blobs/e61d/8973955/59989fb489e3/KBIE_A_2031384_F0005_OC.jpg
https://cdn.ncbi.nlm.nih.gov/pmc/blobs/e61d/8973955/7babb84714cf/KBIE_A_2031384_F0006_OC.jpg
https://cdn.ncbi.nlm.nih.gov/pmc/blobs/e61d/8973955/a64c06b811e7/KBIE_A_2031384_F0007_OC.jpg
https://cdn.ncbi.nlm.nih.gov/pmc/blobs/e61d/8973955/43e18eae3ff6/KBIE_A_2031384_UF0001_OC.jpg
https://cdn.ncbi.nlm.nih.gov/pmc/blobs/e61d/8973955/f112b7eaf1c1/KBIE_A_2031384_F0001_OC.jpg
https://cdn.ncbi.nlm.nih.gov/pmc/blobs/e61d/8973955/dabcc500ae09/KBIE_A_2031384_F0002_OC.jpg
https://cdn.ncbi.nlm.nih.gov/pmc/blobs/e61d/8973955/e2e17a9dbf78/KBIE_A_2031384_F0003_OC.jpg
https://cdn.ncbi.nlm.nih.gov/pmc/blobs/e61d/8973955/bd4235ffe9f2/KBIE_A_2031384_F0004_OC.jpg
https://cdn.ncbi.nlm.nih.gov/pmc/blobs/e61d/8973955/59989fb489e3/KBIE_A_2031384_F0005_OC.jpg
https://cdn.ncbi.nlm.nih.gov/pmc/blobs/e61d/8973955/7babb84714cf/KBIE_A_2031384_F0006_OC.jpg
https://cdn.ncbi.nlm.nih.gov/pmc/blobs/e61d/8973955/a64c06b811e7/KBIE_A_2031384_F0007_OC.jpg

相似文献

1
Ultrasound targeted microbubble destruction-mediated SOCS3 attenuates biological characteristics and epithelial-mesenchymal transition (EMT) of breast cancer stem cells.超声靶向微泡破坏介导的 SOCS3 减弱了乳腺癌干细胞的生物学特性和上皮-间充质转化(EMT)。
Bioengineered. 2022 Feb;13(2):3896-3910. doi: 10.1080/21655979.2022.2031384.
2
Ultrasound-Targeted Microbubble Destruction-Mediated Downregulation of EZH2 Inhibits Stemness and Epithelial-Mesenchymal Transition of Liver Cancer Stem Cells.超声靶向微泡破坏介导的EZH2下调抑制肝癌干细胞的干性和上皮-间质转化
Onco Targets Ther. 2021 Jan 11;14:221-237. doi: 10.2147/OTT.S269589. eCollection 2021.
3
Ultrasound-Targeted Microbubble Destruction (UTMD) Combined with Liposome Increases the Effectiveness of Suppressing Proliferation, Migration, Invasion, and Epithelial- Mesenchymal Transition (EMT) via Targeting Metadherin (MTDH) by ShRNA.超声靶向微泡破坏(UTMD)联合脂质体通过靶向微小 RNA 干扰(shRNA)Metadherin(MTDH)增加抑制增殖、迁移、侵袭和上皮间质转化(EMT)的效果。
Med Sci Monit. 2019 Apr 10;25:2640-2648. doi: 10.12659/MSM.912955.
4
Ultrasound-targeted microbubble destruction-mediated downregulation of CD133 inhibits epithelial-mesenchymal transition, stemness and migratory ability of liver cancer stem cells.超声靶向微泡破坏介导的CD133下调抑制肝癌干细胞的上皮-间质转化、干性和迁移能力。
Oncol Rep. 2015 Dec;34(6):2977-86. doi: 10.3892/or.2015.4270. Epub 2015 Sep 11.
5
Ultrasound microbubble-mediated delivery of ANLN silencing-repressed EZH2 expression alleviates cervical cancer progression.超声微泡介导的 ANLN 沉默抑制 EZH2 表达缓解宫颈癌进展。
Tissue Cell. 2022 Aug;77:101843. doi: 10.1016/j.tice.2022.101843. Epub 2022 May 27.
6
Ultrasound-Targeted Microbubble Destruction-Mediated miR-206 Overexpression Promotes Apoptosis and Inhibits Metastasis of Hepatocellular Carcinoma Cells Via Targeting PPIB.超声靶向微泡破坏介导 miR-206 过表达通过靶向 PPIB 促进肝癌细胞凋亡和抑制转移。
Technol Cancer Res Treat. 2020 Jan-Dec;19:1533033820959355. doi: 10.1177/1533033820959355.
7
Ultrasound Microbubble-Stimulated miR-145-5p Inhibits Malignant Behaviors of Breast Cancer Cells by Targeting ACTG1.超声微泡刺激 miR-145-5p 通过靶向 ACTG1 抑制乳腺癌细胞的恶性行为。
Ultrasound Q. 2024 Jun 1;40(2):136-143. doi: 10.1097/RUQ.0000000000000678.
8
Evaluation of in vivo antitumor effects of low-frequency ultrasound-mediated miRNA-133a microbubble delivery in breast cancer.低频超声介导的miRNA-133a微泡递送对乳腺癌的体内抗肿瘤作用评估
Cancer Med. 2016 Sep;5(9):2534-43. doi: 10.1002/cam4.840. Epub 2016 Jul 27.
9
UTMD inhibit EMT of breast cancer through the ROS/miR-200c/ZEB1 axis.UTMD 通过 ROS/miR-200c/ZEB1 轴抑制乳腺癌 EMT。
Sci Rep. 2020 Apr 20;10(1):6657. doi: 10.1038/s41598-020-63653-w.
10
RUNX1 and RUNX2 transcription factors function in opposing roles to regulate breast cancer stem cells.RUNX1 和 RUNX2 转录因子在调节乳腺癌干细胞中起相反的作用。
J Cell Physiol. 2020 Oct;235(10):7261-7272. doi: 10.1002/jcp.29625. Epub 2020 Mar 17.

引用本文的文献

1
Prospects and Challenges of Different Delivery Systems in Breast Tumors Therapy.不同递送系统在乳腺肿瘤治疗中的前景与挑战
Breast Cancer (Auckl). 2025 Aug 15;19:11782234251365941. doi: 10.1177/11782234251365941. eCollection 2025.
2
Advances in Ultrasound-Targeted Microbubble Destruction (UTMD) for Breast Cancer Therapy.超声靶向微泡破坏技术(UTMD)在乳腺癌治疗中的进展
Int J Nanomedicine. 2025 Feb 3;20:1425-1442. doi: 10.2147/IJN.S504363. eCollection 2025.
3
Putative Dual Roles of Bone Morphogenetic Protein 8B (BMP8B) in Disease Progression of Gastric Cancer.

本文引用的文献

1
MiR-455-5p upregulation in umbilical cord mesenchymal stem cells attenuates endometrial injury and promotes repair of damaged endometrium via Janus kinase/signal transducer and activator of transcription 3 signaling.miR-455-5p 在脐带间充质干细胞中的上调通过 Janus 激酶/信号转导和转录激活因子 3 信号通路减轻子宫内膜损伤并促进受损子宫内膜的修复。
Bioengineered. 2021 Dec;12(2):12891-12904. doi: 10.1080/21655979.2021.2006976.
2
Gut Hormone GIP Induces Inflammation and Insulin Resistance in the Hypothalamus.肠激素 GIP 可引起下丘脑炎症和胰岛素抵抗。
Endocrinology. 2020 Sep 1;161(9). doi: 10.1210/endocr/bqaa102.
3
β1,4-Galactosyltransferase V Modulates Breast Cancer Stem Cells through Wnt/β-catenin Signaling Pathway.
骨形态发生蛋白8B(BMP8B)在胃癌疾病进展中的潜在双重作用
Cancer Diagn Progn. 2024 Sep 1;4(5):567-578. doi: 10.21873/cdp.10365. eCollection 2024 Sep-Oct.
4
Ultrasound microbubble-mediated RNA interference targeting WNT1 inducible signaling pathway protein 1(WISP1) suppresses the proliferation and metastasis of breast cancer cells.超声微泡介导的靶向WNT1诱导信号通路蛋白1(WISP1)的RNA干扰抑制乳腺癌细胞的增殖和转移。
Bioengineered. 2022 Apr;13(4):11050-11060. doi: 10.1080/21655979.2022.2068738.
5
Luteolin impacts deoxyribonucleic acid repair by modulating the mitogen-activated protein kinase pathway in colorectal cancer.木樨草素通过调节丝裂原活化蛋白激酶通路影响结直肠癌的脱氧核糖核酸修复。
Bioengineered. 2022 Apr;13(4):10998-11011. doi: 10.1080/21655979.2022.2066926.
β1,4-半乳糖基转移酶 V 通过 Wnt/β-连环蛋白信号通路调节乳腺癌干细胞。
Cancer Res Treat. 2020 Oct;52(4):1084-1102. doi: 10.4143/crt.2020.093. Epub 2020 May 27.
4
TFEB is a master regulator of tumor-associated macrophages in breast cancer.TFEB 是乳腺癌中肿瘤相关巨噬细胞的主调控因子。
J Immunother Cancer. 2020 Jun;8(1). doi: 10.1136/jitc-2020-000543.
5
Cancer exosome-derived miR-9 and miR-181a promote the development of early-stage MDSCs via interfering with SOCS3 and PIAS3 respectively in breast cancer.癌症外泌体衍生的 miR-9 和 miR-181a 通过分别干扰乳腺癌中的 SOCS3 和 PIAS3 促进早期 MDSCs 的发展。
Oncogene. 2020 Jun;39(24):4681-4694. doi: 10.1038/s41388-020-1322-4. Epub 2020 May 12.
6
UTMD inhibit EMT of breast cancer through the ROS/miR-200c/ZEB1 axis.UTMD 通过 ROS/miR-200c/ZEB1 轴抑制乳腺癌 EMT。
Sci Rep. 2020 Apr 20;10(1):6657. doi: 10.1038/s41598-020-63653-w.
7
The long non-coding RNA DANCR regulates the inflammatory phenotype of breast cancer cells and promotes breast cancer progression via EZH2-dependent suppression of SOCS3 transcription.长链非编码 RNA DANCR 通过 EZH2 依赖性抑制 SOCS3 转录调节乳腺癌细胞的炎症表型并促进乳腺癌进展。
Mol Oncol. 2020 Feb;14(2):309-328. doi: 10.1002/1878-0261.12622. Epub 2020 Jan 10.
8
Cell Signaling Pathways Related to Epithelial Mesenchymal Transition in Cancer Metastasis.与癌症转移中上皮-间质转化相关的细胞信号通路
Crit Rev Oncog. 2019;24(1):47-54. doi: 10.1615/CritRevOncog.2018029509.
9
Alveolar macrophage secretion of vesicular SOCS3 represents a platform for lung cancer therapeutics.肺泡巨噬细胞分泌囊泡 SOCS3 代表了肺癌治疗的一个平台。
JCI Insight. 2019 Oct 17;4(20):131340. doi: 10.1172/jci.insight.131340.
10
CSCs in Breast Cancer-One Size Does Not Fit All: Therapeutic Advances in Targeting Heterogeneous Epithelial and Mesenchymal CSCs.乳腺癌中的癌症干细胞——并非一概而论:靶向异质性上皮和间充质癌症干细胞的治疗进展
Cancers (Basel). 2019 Aug 7;11(8):1128. doi: 10.3390/cancers11081128.