Suppr超能文献

胆总管神经内分泌肿瘤:病例报告

Neuroendocrine Tumor of the Common Bile Duct: Case Report.

作者信息

Fernández-Ferreira Ricardo, Medina-Ceballos Emilio, Soberanis-Piña Pamela Denisse, Conde-Flores Emilio, Arroyave-Ramírez Andrés Mauricio, Izquierdo-Tolosa Carlos Daniel, Motola-Kuba Daniel, Ruiz-Morales Jose Manuel, Dorantes-Heredia Rita

机构信息

Oncology Medicine Department, Comprehensive Oncology Center "Diana Laura Riojas de Colosio", Medica Sur Clinic & Foundation, México City, Mexico.

Service of Anatomical Pathology, Medica Sur Clinic & Foundation, México City, Mexico.

出版信息

Case Rep Oncol. 2021 Dec 20;14(3):1785-1791. doi: 10.1159/000519662. eCollection 2021 Sep-Dec.

Abstract

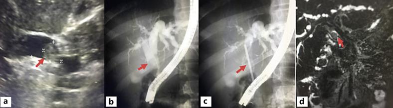
Carcinoma of the extrahepatic biliary tract accounts for <2% of all cancers. Neuroendocrine tumor of the extrahepatic bile duct is very rare, and there are <200 cases reported since 1959. The preoperative diagnosis is infrequent (5.12%). The definite diagnosis relies on postoperative pathology which utilized immunohistochemistry study on many biomarkers to diagnose the histological subtypes of neuroendocrine neoplasms, such as chromogranin A, synaptophysin, and neuron-specific enolase. When the primary tumor has no metastases, radical removal of the lesion appears as curative treatment. The treatment of the carcinoid syndrome or other functioning syndrome is the first priority. We report a case of a 12-year-old Mexican woman with neuroendocrine tumor of the extrahepatic bile duct (common bile duct neuroendocrine tumor) seen in our hospital. Resection of the common bile duct, cholecystectomy, end to side Roux-en-y hepaticojejunostomy, and portal lymphadenectomy was performed. A review of the pertinent literature was performed. Given the rarity of the disease, treatment principles are based mainly on retrospective series and case reports. We present the eighth case in adolescence in the literature.

摘要

肝外胆道癌占所有癌症的比例不到2%。肝外胆管神经内分泌肿瘤非常罕见,自1959年以来报告的病例不到200例。术前诊断不常见(5.12%)。明确诊断依赖于术后病理,术后病理利用对多种生物标志物的免疫组化研究来诊断神经内分泌肿瘤的组织学亚型,如嗜铬粒蛋白A、突触素和神经元特异性烯醇化酶。当原发性肿瘤无转移时,根治性切除病变似乎是治愈性治疗。类癌综合征或其他功能性综合征的治疗是首要任务。我们报告了我院收治的一例12岁墨西哥女性肝外胆管神经内分泌肿瘤(胆总管神经内分泌肿瘤)病例。进行了胆总管切除、胆囊切除、端侧Roux-en-y肝空肠吻合术和门静脉淋巴结清扫术。对相关文献进行了回顾。鉴于该疾病的罕见性,治疗原则主要基于回顾性系列研究和病例报告。我们呈现了文献中青少年的第八例病例。

https://cdn.ncbi.nlm.nih.gov/pmc/blobs/a3dc/8787518/2713fc05c001/cro-0014-1785-g01.jpg

文献AI研究员

20分钟写一篇综述,助力文献阅读效率提升50倍。

立即体验

用中文搜PubMed

大模型驱动的PubMed中文搜索引擎

马上搜索

文档翻译

学术文献翻译模型,支持多种主流文档格式。

立即体验