Department of Oncological Sciences, Tisch Cancer Institute, Icahn School of Medicine at Mount Sinai, New York, NY, 10029, USA.
Mount Sinai Center for Therapeutics Discovery, Departments of Pharmacological Sciences and Oncological Sciences, Tisch Cancer Institute, Icahn School of Medicine at Mount Sinai, New York, NY, 10029, USA.
Nat Commun. 2022 Feb 4;13(1):703. doi: 10.1038/s41467-022-28319-3.
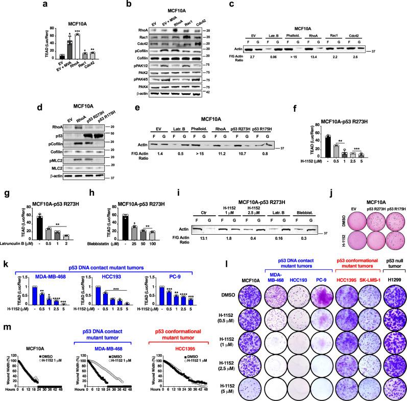
Rho family mechano-signaling through the actin cytoskeleton positively regulates physiological TEAD/YAP transcription, while the evolutionarily conserved Hippo tumor suppressor pathway antagonizes this transcription through YAP cytoplasmic localization/degradation. The mechanisms responsible for oncogenic dysregulation of these pathways, their prevalence in tumors, as well as how such dysregulation can be therapeutically targeted are not resolved. We demonstrate that p53 DNA contact mutants in human tumors, indirectly hyperactivate RhoA/ROCK1/actomyosin signaling, which is both necessary and sufficient to drive oncogenic TEAD/YAP transcription. Moreover, we demonstrate that recurrent lesions in the Hippo pathway depend on physiological levels of ROCK1/actomyosin signaling for oncogenic TEAD/YAP transcription. Finally, we show that ROCK inhibitors selectively antagonize proliferation and motility of human tumors with either mechanism. Thus, we identify a cancer driver paradigm and a precision medicine approach for selective targeting of human malignancies driven by TEAD/YAP transcription through mechanisms that either upregulate or depend on homeostatic RhoA mechano-signaling.
Rho 家族通过肌动蛋白细胞骨架的机械信号正向调节生理 TEAD/YAP 转录,而进化上保守的 Hippo 肿瘤抑制途径通过 YAP 细胞质定位/降解拮抗这种转录。导致这些途径致癌失调的机制、它们在肿瘤中的普遍性,以及如何对这种失调进行治疗靶向尚未解决。我们证明,人类肿瘤中的 p53 DNA 接触突变体间接过度激活 RhoA/ROCK1/肌球蛋白信号,这对于驱动致癌性 TEAD/YAP 转录是必要且充分的。此外,我们证明 Hippo 途径中的反复病变依赖于生理水平的 ROCK1/肌球蛋白信号来驱动致癌性 TEAD/YAP 转录。最后,我们表明 ROCK 抑制剂选择性地拮抗具有这两种机制的人类肿瘤的增殖和迁移。因此,我们确定了一种癌症驱动范式和一种精准医学方法,用于通过上调或依赖于同源 RhoA 机械信号的机制,选择性靶向由 TEAD/YAP 转录驱动的人类恶性肿瘤。