• 文献检索
  • 文档翻译
  • 深度研究
  • 学术资讯
  • Suppr Zotero 插件Zotero 插件
  • 邀请有礼
  • 套餐&价格
  • 历史记录
应用&插件
Suppr Zotero 插件Zotero 插件浏览器插件Mac 客户端Windows 客户端微信小程序
定价
高级版会员购买积分包购买API积分包
服务
文献检索文档翻译深度研究API 文档MCP 服务
关于我们
关于 Suppr公司介绍联系我们用户协议隐私条款
关注我们

Suppr 超能文献

核心技术专利:CN118964589B侵权必究
粤ICP备2023148730 号-1Suppr @ 2026

文献检索

告别复杂PubMed语法,用中文像聊天一样搜索,搜遍4000万医学文献。AI智能推荐,让科研检索更轻松。

立即免费搜索

文件翻译

保留排版,准确专业,支持PDF/Word/PPT等文件格式,支持 12+语言互译。

免费翻译文档

深度研究

AI帮你快速写综述,25分钟生成高质量综述,智能提取关键信息,辅助科研写作。

立即免费体验

胡椒碱和百里香酚协同作用对抑制生物膜形成、菌丝形态发生和表型转换的影响。

Synergistic Interaction of Piperine and Thymol on Attenuation of the Biofilm Formation, Hyphal Morphogenesis and Phenotypic Switching in .

机构信息

Department of Biotechnology, Alagappa University, Karaikudi, India.

出版信息

Front Cell Infect Microbiol. 2022 Jan 19;11:780545. doi: 10.3389/fcimb.2021.780545. eCollection 2021.

DOI:10.3389/fcimb.2021.780545
PMID:35127553
原文链接:https://pmc.ncbi.nlm.nih.gov/articles/PMC8807486/
Abstract

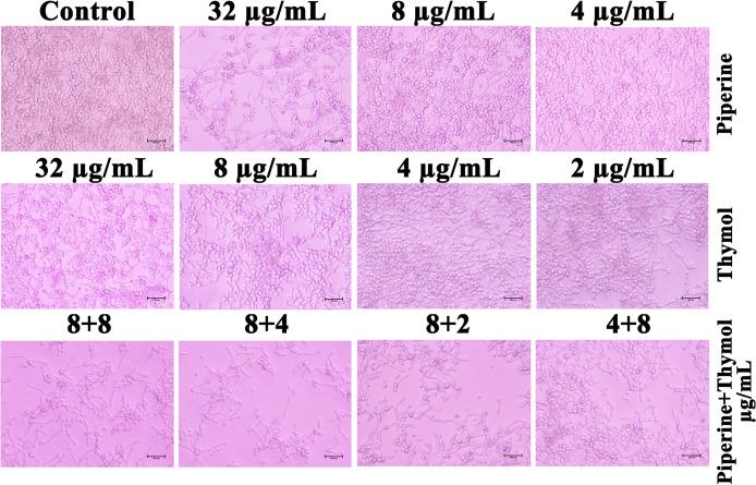
The incidence of fungal infections has significantly increased in recent years due to the emergence of antifungal resistance. Biofilm formation is considered to be a major contributor to both the infectious diseases and to antimicrobial resistance. Consequently, biofilm-associated infections are often problematic to treat with existing therapeutics. Adhesion of to the host surface or implanted materials followed by hyphal invasion and biofilm formation enhances pathogenicity and virulence. Thus, developing a therapeutic agent that inhibits candidal adherence, biofilm development and morphological switching could improve clinical management of infections. The present investigation studied two emerging and alternatives strategies, namely antibiofilm and combinatorial approach, to attenuate biofilm formation and the expression of virulence factors. Piperine and thymol are major bioactive components of pepper and thyme, respectively. These phytochemicals are known to possess numerous biological activities, including recently reported antibiofilm effects against . The minimum biofilm inhibitory concentration (MBIC) of both phytochemicals was determined to be 32 µg/ml. The phytochemical treatment of biofilms using piperine and thymol revealed synergistic effects at four different combinations of concentrations, i.e. 8 and 8, 8 and 4, 8 and 2 and 4 and 8 µg/ml. These synergistic combinations resulted in the significant reduction in adherence of , hyphal extension and morphological transformation. Moreover, limited exposure of synergistic combinations controlled the hyphal elongation. Results were validated through the gene expression analysis. Results from the present investigation suggest that piperine and thymol can be synergistically employed for the treatment of biofilm-associated infection.

摘要

近年来,由于抗真菌药物耐药性的出现,真菌感染的发病率显著增加。生物膜的形成被认为是导致传染病和抗菌药物耐药性的主要因素。因此,现有的治疗方法往往难以治疗与生物膜相关的感染。与宿主表面或植入材料的黏附,随后菌丝入侵和生物膜的形成,增强了 的致病性和毒力。因此,开发一种抑制真菌黏附、生物膜形成和形态转换的治疗剂,可以改善感染的临床管理。本研究探讨了两种新兴的替代策略,即抗生物膜和组合方法,以减轻生物膜的形成和表达 毒力因子。胡椒碱和百里香酚分别是辣椒和百里香的主要生物活性成分。这些植物化学物质具有多种生物学活性,包括最近报道的抗 生物膜作用。两种植物化学物质的最低生物膜抑制浓度(MBIC)均为 32 µg/ml。用胡椒碱和百里香酚处理 生物膜,在四种不同浓度组合(8 和 8、8 和 4、8 和 2 和 4 和 8 µg/ml)下显示出协同作用。这些协同组合导致 的黏附、菌丝延伸和形态转化显著减少。此外,协同组合的有限暴露控制了菌丝的伸长。通过基因表达分析验证了结果。本研究结果表明,胡椒碱和百里香酚可以协同用于治疗与生物膜相关的 感染。

https://cdn.ncbi.nlm.nih.gov/pmc/blobs/ef5b/8807486/473e0b8db15e/fcimb-11-780545-g011.jpg
https://cdn.ncbi.nlm.nih.gov/pmc/blobs/ef5b/8807486/3a5c8fceab0f/fcimb-11-780545-g001.jpg
https://cdn.ncbi.nlm.nih.gov/pmc/blobs/ef5b/8807486/a27d8c456d9b/fcimb-11-780545-g002.jpg
https://cdn.ncbi.nlm.nih.gov/pmc/blobs/ef5b/8807486/b85321e48c3d/fcimb-11-780545-g003.jpg
https://cdn.ncbi.nlm.nih.gov/pmc/blobs/ef5b/8807486/a2ad573ef52c/fcimb-11-780545-g004.jpg
https://cdn.ncbi.nlm.nih.gov/pmc/blobs/ef5b/8807486/9e33933eae9a/fcimb-11-780545-g005.jpg
https://cdn.ncbi.nlm.nih.gov/pmc/blobs/ef5b/8807486/d81a6454cdc5/fcimb-11-780545-g006.jpg
https://cdn.ncbi.nlm.nih.gov/pmc/blobs/ef5b/8807486/7f9e1eeabbbc/fcimb-11-780545-g007.jpg
https://cdn.ncbi.nlm.nih.gov/pmc/blobs/ef5b/8807486/0eb6420c6c8a/fcimb-11-780545-g008.jpg
https://cdn.ncbi.nlm.nih.gov/pmc/blobs/ef5b/8807486/bdb5dd5c2496/fcimb-11-780545-g009.jpg
https://cdn.ncbi.nlm.nih.gov/pmc/blobs/ef5b/8807486/4a1909f3b724/fcimb-11-780545-g010.jpg
https://cdn.ncbi.nlm.nih.gov/pmc/blobs/ef5b/8807486/473e0b8db15e/fcimb-11-780545-g011.jpg
https://cdn.ncbi.nlm.nih.gov/pmc/blobs/ef5b/8807486/3a5c8fceab0f/fcimb-11-780545-g001.jpg
https://cdn.ncbi.nlm.nih.gov/pmc/blobs/ef5b/8807486/a27d8c456d9b/fcimb-11-780545-g002.jpg
https://cdn.ncbi.nlm.nih.gov/pmc/blobs/ef5b/8807486/b85321e48c3d/fcimb-11-780545-g003.jpg
https://cdn.ncbi.nlm.nih.gov/pmc/blobs/ef5b/8807486/a2ad573ef52c/fcimb-11-780545-g004.jpg
https://cdn.ncbi.nlm.nih.gov/pmc/blobs/ef5b/8807486/9e33933eae9a/fcimb-11-780545-g005.jpg
https://cdn.ncbi.nlm.nih.gov/pmc/blobs/ef5b/8807486/d81a6454cdc5/fcimb-11-780545-g006.jpg
https://cdn.ncbi.nlm.nih.gov/pmc/blobs/ef5b/8807486/7f9e1eeabbbc/fcimb-11-780545-g007.jpg
https://cdn.ncbi.nlm.nih.gov/pmc/blobs/ef5b/8807486/0eb6420c6c8a/fcimb-11-780545-g008.jpg
https://cdn.ncbi.nlm.nih.gov/pmc/blobs/ef5b/8807486/bdb5dd5c2496/fcimb-11-780545-g009.jpg
https://cdn.ncbi.nlm.nih.gov/pmc/blobs/ef5b/8807486/4a1909f3b724/fcimb-11-780545-g010.jpg
https://cdn.ncbi.nlm.nih.gov/pmc/blobs/ef5b/8807486/473e0b8db15e/fcimb-11-780545-g011.jpg

相似文献

1
Synergistic Interaction of Piperine and Thymol on Attenuation of the Biofilm Formation, Hyphal Morphogenesis and Phenotypic Switching in .胡椒碱和百里香酚协同作用对抑制生物膜形成、菌丝形态发生和表型转换的影响。
Front Cell Infect Microbiol. 2022 Jan 19;11:780545. doi: 10.3389/fcimb.2021.780545. eCollection 2021.
2
Biofilm and hyphal inhibitory synergistic effects of phytoactives piperine and cinnamaldehyde against Candida albicans.植物活性物质胡椒碱和肉桂醛对白色念珠菌的生物膜和菌丝抑制协同作用。
Med Mycol. 2022 Aug 10;60(8). doi: 10.1093/mmy/myac039.
3
Oxidative stress induced by piperine leads to apoptosis in Candida albicans.胡椒碱诱导的氧化应激导致白念珠菌凋亡。
Med Mycol. 2021 Apr 6;59(4):366-378. doi: 10.1093/mmy/myaa058.
4
Thymus vulgaris essential oil and thymol inhibit biofilms and interact synergistically with antifungal drugs against drug resistant strains of Candida albicans and Candida tropicalis.香芹酚和普通百里香精油抑制生物膜形成,并与抗真菌药物协同作用,对耐药白念珠菌和热带念珠菌菌株有抑制作用。
J Mycol Med. 2020 Apr;30(1):100911. doi: 10.1016/j.mycmed.2019.100911. Epub 2019 Nov 7.
5
Thymol inhibits Candida albicans biofilm formation and mature biofilm.百里酚可抑制白色念珠菌生物膜的形成及成熟生物膜。
Int J Antimicrob Agents. 2008 May;31(5):472-7. doi: 10.1016/j.ijantimicag.2007.12.013. Epub 2008 Mar 10.
6
Piperine Impedes Biofilm Formation and Hyphal Morphogenesis of .胡椒碱阻碍……的生物膜形成和菌丝形态发生。 (原文此处不完整,缺少具体所指对象)
Front Microbiol. 2020 May 13;11:756. doi: 10.3389/fmicb.2020.00756. eCollection 2020.
7
Sensitization of Candida albicans biofilms to fluconazole by terpenoids of plant origin.植物源萜类化合物使白色念珠菌生物被膜对氟康唑敏感。
J Gen Appl Microbiol. 2014;60(5):163-8. doi: 10.2323/jgam.60.163.
8
Candida albicans biofilm inhibition by synergistic action of terpenes and fluconazole.萜类化合物与氟康唑协同作用对白色念珠菌生物膜的抑制作用
Indian J Exp Biol. 2013 Nov;51(11):1032-7.
9
3-Hydroxy coumarin demonstrates anti-biofilm and anti-hyphal efficacy against Candida albicans via inhibition of cell-adhesion, morphogenesis, and virulent genes regulation.3-羟基香豆素通过抑制细胞黏附、形态发生和毒力基因调控,对白色念珠菌表现出抗生物膜和抗菌丝功效。
Sci Rep. 2023 Jul 19;13(1):11687. doi: 10.1038/s41598-023-37851-1.
10
Alizarin and Chrysazin Inhibit Biofilm and Hyphal Formation by .茜素和黄烷酮通过. 抑制生物膜和菌丝形成。
Front Cell Infect Microbiol. 2017 Oct 16;7:447. doi: 10.3389/fcimb.2017.00447. eCollection 2017.

引用本文的文献

1
In vitro evaluation of silver-zinc oxide-eugenol nanocomposite for enhanced antimicrobial and wound healing applications in diabetic conditions.用于糖尿病条件下增强抗菌和伤口愈合应用的银-氧化锌-丁香酚纳米复合材料的体外评价
Discov Nano. 2025 Jan 23;20(1):14. doi: 10.1186/s11671-025-04183-0.
2
The Effect of Xanthohumol and Thymol on Filamentation and Its Impact on the Structure, Size, and Cell Viability of Biofilms Developed over Implant Surfaces.黄腐酚和百里香酚对菌丝体形成的影响及其对种植体表面生物膜结构、大小和细胞活力的影响。
Cells. 2024 Nov 13;13(22):1877. doi: 10.3390/cells13221877.
3
Exploring the Potential Mechanism of Action of Piperine against and Targeting Its Virulence Factors.

本文引用的文献

1
The Demand for New Antibiotics: Antimicrobial Peptides, Nanoparticles, and Combinatorial Therapies as Future Strategies in Antibacterial Agent Design.新型抗生素的需求:抗菌肽、纳米颗粒及联合疗法作为抗菌药物设计的未来策略
Front Microbiol. 2020 Jul 24;11:1669. doi: 10.3389/fmicb.2020.01669. eCollection 2020.
2
Piperine Impedes Biofilm Formation and Hyphal Morphogenesis of .胡椒碱阻碍……的生物膜形成和菌丝形态发生。 (原文此处不完整,缺少具体所指对象)
Front Microbiol. 2020 May 13;11:756. doi: 10.3389/fmicb.2020.00756. eCollection 2020.
3
Global proteomic analysis deciphers the mechanism of action of plant derived oleic acid against Candida albicans virulence and biofilm formation.
探讨胡椒碱防治 及其毒力因子的潜在作用机制。
Biomolecules. 2023 Nov 30;13(12):1729. doi: 10.3390/biom13121729.
4
Evaluation of the antibacterial activity of essential oil against halitosis-related and .评估香精油对与口臭相关的……的抗菌活性。 (原文此处不完整)
Front Microbiol. 2023 Aug 7;14:1219004. doi: 10.3389/fmicb.2023.1219004. eCollection 2023.
5
3-Hydroxy coumarin demonstrates anti-biofilm and anti-hyphal efficacy against Candida albicans via inhibition of cell-adhesion, morphogenesis, and virulent genes regulation.3-羟基香豆素通过抑制细胞黏附、形态发生和毒力基因调控,对白色念珠菌表现出抗生物膜和抗菌丝功效。
Sci Rep. 2023 Jul 19;13(1):11687. doi: 10.1038/s41598-023-37851-1.
6
Alteration of Cell Membrane Permeability by Cetyltrimethylammonium Chloride Induces Cell Death in Clinically Important Species.十六烷基三甲基氯化铵通过改变细胞膜通透性诱导临床重要物种细胞死亡。
Int J Environ Res Public Health. 2022 Dec 20;20(1):27. doi: 10.3390/ijerph20010027.
7
Natural Compounds: A Hopeful Promise as an Antibiofilm Agent Against Species.天然化合物:作为针对[具体物种]的抗生物膜剂的充满希望的前景
Front Pharmacol. 2022 Jul 11;13:917787. doi: 10.3389/fphar.2022.917787. eCollection 2022.
全球蛋白质组学分析揭示了植物来源的油酸对抗白色念珠菌毒力和生物膜形成的作用机制。
Sci Rep. 2020 Mar 20;10(1):5113. doi: 10.1038/s41598-020-61918-y.
4
The role of Candida albicans candidalysin ECE1 gene in oral carcinogenesis.白色念珠菌 candidalysin ECE1 基因在口腔癌变中的作用。
J Oral Pathol Med. 2020 Oct;49(9):835-841. doi: 10.1111/jop.13014. Epub 2020 Apr 18.
5
Evolutionary Emergence of Drug Resistance in Candida Opportunistic Pathogens.念珠菌属机会致病菌耐药性的进化起源
Genes (Basel). 2018 Sep 19;9(9):461. doi: 10.3390/genes9090461.
6
Simultaneous Emergence of Multidrug-Resistant Candida auris on 3 Continents Confirmed by Whole-Genome Sequencing and Epidemiological Analyses.全基因组测序和流行病学分析证实三大洲同时出现多重耐药性耳念珠菌
Clin Infect Dis. 2017 Jan 15;64(2):134-140. doi: 10.1093/cid/ciw691. Epub 2016 Oct 20.
7
Future therapies targeted towards eliminating Candida biofilms and associated infections.旨在消除念珠菌生物膜及相关感染的未来疗法。
Expert Rev Anti Infect Ther. 2017 Mar;15(3):299-318. doi: 10.1080/14787210.2017.1268530. Epub 2016 Dec 16.
8
Targeting Candida albicans filamentation for antifungal drug development.以白色念珠菌丝状化为靶点进行抗真菌药物研发。
Virulence. 2017 Feb 17;8(2):150-158. doi: 10.1080/21505594.2016.1197444. Epub 2016 Jun 7.
9
Epidemiology and outcomes of invasive candidiasis due to non-albicans species of Candida in 2,496 patients: data from the Prospective Antifungal Therapy (PATH) registry 2004-2008.2496例非白色念珠菌所致侵袭性念珠菌病的流行病学及转归:来自2004 - 2008年前瞻性抗真菌治疗(PATH)注册研究的数据
PLoS One. 2014 Jul 3;9(7):e101510. doi: 10.1371/journal.pone.0101510. eCollection 2014.
10
Current concepts in combination antibiotic therapy for critically ill patients.危重症患者联合抗生素治疗的当前概念
Indian J Crit Care Med. 2014 May;18(5):310-4. doi: 10.4103/0972-5229.132495.