Department of Clinical Laboratory, Shenzhen Traditional Chinese Medicine Hospital, Shenzhen, 518033, Guangdong, China.
The First Affiliated Hospital, Department of Clinical Laboratory, Hengyang Medical School, University of South China, Hengyang, 421001, Hunan, China.
Cell Death Dis. 2022 Feb 8;13(2):126. doi: 10.1038/s41419-022-04578-2.
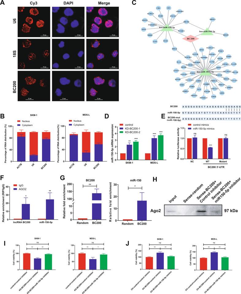
Myelodysplastic syndrome (MDS) is a group of heterogeneous hematologic malignancies with a risk of transformation to acute myeloid leukemia. Understanding the molecular mechanisms of the specific roles of long noncoding RNAs (lncRNAs) in MDS would create novel ways to identify diagnostic and therapeutic targets. The lncRNA BC200 is upregulated and acts as an oncogene in various cancers; however, its expression, clinical significance, and roles in MDS remain unclear. Here, we found that BC200 was highly expressed in MDS patients compared with normal individuals. Knockdown of BC200 inhibited MDS cell proliferation, colony formation, and cell cycle progression in vitro and suppressed the growth and invasiveness of MDS cells in vivo. Mechanistic investigations revealed that BC200 functioned as a miRNA sponge to positively regulate the expression of MYB through sponging miR-150-5p and subsequently promoted malignant proliferation of MDS cells. Conversely, we found that BC200 was a direct transcriptional target of MYB, and knockdown of MYB abolished the oncogenic effect of BC200/miR-150-5p. Taken together, our results revealed that the BC200/miR-150-5p/MYB positive feedback loop promoted the proliferation of MDS cells and is expected to be a potential biomarker and therapeutic target in MDS.
骨髓增生异常综合征(MDS)是一组异质性血液恶性肿瘤,有向急性髓系白血病转化的风险。了解长链非编码 RNA(lncRNA)在 MDS 中的特定作用的分子机制,将为识别诊断和治疗靶点创造新的方法。lncRNA BC200 在各种癌症中上调并发挥癌基因的作用;然而,其在 MDS 中的表达、临床意义和作用尚不清楚。在这里,我们发现与正常个体相比,MDS 患者中 BC200 表达水平升高。BC200 的敲低抑制了 MDS 细胞的体外增殖、集落形成和细胞周期进程,并抑制了 MDS 细胞在体内的生长和侵袭。机制研究表明,BC200 作为 miRNA 海绵通过海绵吸附 miR-150-5p 正向调节 MYB 的表达,从而促进 MDS 细胞的恶性增殖。相反,我们发现 BC200 是 MYB 的直接转录靶标,敲低 MYB 消除了 BC200/miR-150-5p 的致癌作用。总之,我们的研究结果揭示了 BC200/miR-150-5p/MYB 正反馈环促进了 MDS 细胞的增殖,有望成为 MDS 的潜在生物标志物和治疗靶点。