Suppr超能文献

使用生物性改善病情抗风湿药(DMARDs)进行治疗可能不会对类风湿关节炎患者的肺结节产生不利影响。

Treatment with biologic DMARDs may not adversely affect lung nodules in rheumatoid arthritis patients.

作者信息

Karadeniz Hazan, Cindil Emetullah, Babaoğlu Hakan, Avanoğlu Güler Aslıhan, Bilici Salman Reyhan, Satış Hasan, Ataş Nuh, Göker Berna, Haznedaroğlu Şeminur, Öztürk Mehmet Akif, Tufan Abdurrahman

机构信息

Division of Rheumatology, Department of Internal Medicine, Gazi University Faculty of Medicine, Ankara, Turkey.

Department of Radiology, Gazi University School of Medicine, Ankara, Turkey.

出版信息

Eur J Rheumatol. 2022 Apr;9(2):75-81. doi: 10.5152/eujrheum.2022.21067.

Abstract

OBJECTIVE

Lung nodules (LNs) impose diagnostic and therapeutic challenges in patients with rheuma- toid arthritis (RA) due to unpredictable outcomes. Potential induction of nodulosis with the use of con- ventional synthetic DMARDs (csDMARD) and lack of knowledge regarding the effect of biologic disease-modifying anti-rheumatic drugs (bDMARDs)/tofacitinib on the LN raise concerns and have an impact on treatment decisions. This study aims to evaluate the possible effects of the bDMARDs/tofa- citinib and csDMARDS on LNs observed in RA patients.

METHODS

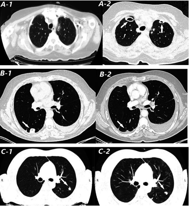
Electronic health records of RA patients who had LNs detected on computed tomography (CT) between January 2015 and December 2020 were evaluated retrospectively. Patients with follow- up CT images were included in the study. Baseline and follow-up images were meticulously examined for the number, size, attenuation, and cavity formation. Clinical, histopathologic, and laboratory find- ings were analyzed.

RESULTS

Forty-two RA patients with LNs were studied, 21 were on bDMARDs/tofacitinib (11 females, mean age: 59.7 6 8.4) and 21 were on csDMARDs (12 females, mean age: 71.4 6 8.3). The proportion of patients with progressed nodules during follow-up was comparable between groups (six patients in bDMARDs/tofacitinib vs seven patients in csDMARDs). Progression of LNs was observed in six patients in the bDMARDs/tofacitinib group: three in anti-TNFa, two in rituximab, and one in abatacept users and none in tofacitinib users.

CONCLUSION

Our results suggest that the risk of progression in LNs in RA patients with use of bDMARDs/tofacitinib might not impose a higher risk compared to csDMARDs. Moreover, bDMARDs/ tofacitinib might result in regression in LNs.

摘要

目的

由于预后不可预测,肺结节(LNs)给类风湿关节炎(RA)患者带来了诊断和治疗方面的挑战。使用传统合成改善病情抗风湿药(csDMARDs)可能诱发结节病,且对于生物性改善病情抗风湿药(bDMARDs)/托法替布对肺结节的影响缺乏了解,这引发了人们的担忧,并对治疗决策产生影响。本研究旨在评估bDMARDs/托法替布和csDMARDs对RA患者中观察到的肺结节的可能影响。

方法

回顾性评估2015年1月至2020年12月期间在计算机断层扫描(CT)上检测到有肺结节的RA患者的电子健康记录。纳入有后续CT图像的患者。对基线和后续图像进行仔细检查,以观察结节的数量、大小、密度和空洞形成情况。分析临床、组织病理学和实验室检查结果。

结果

研究了42例有肺结节的RA患者,其中21例使用bDMARDs/托法替布(11例女性,平均年龄:59.7±8.4岁),21例使用csDMARDs(12例女性,平均年龄:71.4±8.3岁)。两组在随访期间结节进展患者的比例相当(bDMARDs/托法替布组6例患者,csDMARDs组7例患者)。在bDMARDs/托法替布组的6例患者中观察到肺结节进展:抗TNFα治疗者3例,利妥昔单抗治疗者2例,阿巴西普治疗者1例,托法替布治疗者无进展。

结论

我们的结果表明,与csDMARDs相比,RA患者使用bDMARDs/托法替布时肺结节进展的风险可能不会更高。此外,bDMARDs/托法替布可能会使肺结节缩小。

https://cdn.ncbi.nlm.nih.gov/pmc/blobs/c631/10176220/e7428859ec9d/ejr-9-2-75-g001.jpg

文献AI研究员

20分钟写一篇综述,助力文献阅读效率提升50倍。

立即体验

用中文搜PubMed

大模型驱动的PubMed中文搜索引擎

马上搜索

文档翻译

学术文献翻译模型,支持多种主流文档格式。

立即体验