• 文献检索
  • 文档翻译
  • 深度研究
  • 学术资讯
  • Suppr Zotero 插件Zotero 插件
  • 邀请有礼
  • 套餐&价格
  • 历史记录
应用&插件
Suppr Zotero 插件Zotero 插件浏览器插件Mac 客户端Windows 客户端微信小程序
定价
高级版会员购买积分包购买API积分包
服务
文献检索文档翻译深度研究API 文档MCP 服务
关于我们
关于 Suppr公司介绍联系我们用户协议隐私条款
关注我们

Suppr 超能文献

核心技术专利:CN118964589B侵权必究
粤ICP备2023148730 号-1Suppr @ 2026

文献检索

告别复杂PubMed语法,用中文像聊天一样搜索,搜遍4000万医学文献。AI智能推荐,让科研检索更轻松。

立即免费搜索

文件翻译

保留排版,准确专业,支持PDF/Word/PPT等文件格式,支持 12+语言互译。

免费翻译文档

深度研究

AI帮你快速写综述,25分钟生成高质量综述,智能提取关键信息,辅助科研写作。

立即免费体验

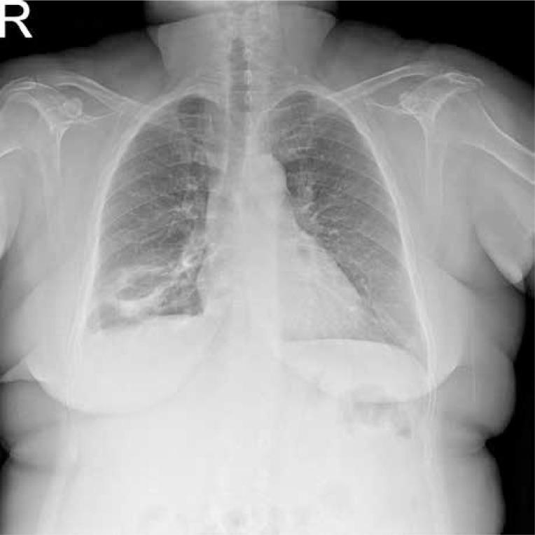
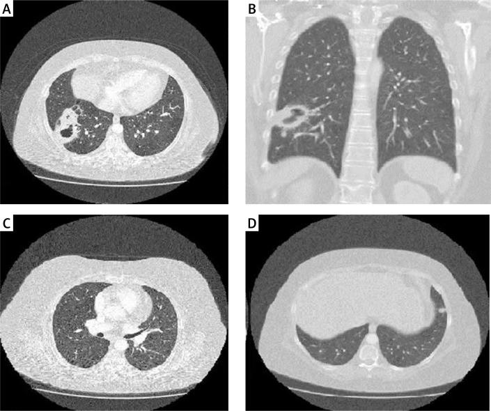
多发性肺类风湿结节。

Multiple pulmonary rheumatoid nodules.

作者信息

Sargin Gokhan, Senturk Taskin

机构信息

Department of Rheumatology, Medical Faculty, Adnan Menderes University, Aydin, Turkey.

出版信息

Reumatologia. 2015;53(5):276-8. doi: 10.5114/reum.2015.55831. Epub 2015 Dec 8.

DOI:10.5114/reum.2015.55831
PMID:27407259
原文链接:https://pmc.ncbi.nlm.nih.gov/articles/PMC4847313/
Abstract

We present a case of 45-year-old female patient with the diagnosis of seropositive rheumatoid arthritis, who was admitted to our rheumatology department with exacerbation of the disease. The patient's disease activity score (DAS 28) was 6.9. Physical examination revealed changes in the lung auscultation as a rough breathing sound at the middle and lower lobe of the right lung. Chest X-ray revealed multiple nodular densities in both lungs. Lung biopsy was performed for the diagnosis and revealed necrotizing granulomas with central fibrinoid necrosis surrounded by epithelioid cells. Such a histopathological picture is typical for rheumatoid nodules. Finally the patient was treated with rituximab, with significant improvement.

摘要

我们报告一例45岁血清阳性类风湿关节炎女性患者,因病情加重入住我院风湿科。患者的疾病活动评分(DAS 28)为6.9。体格检查发现肺部听诊有变化,右肺中、下叶呼吸音粗糙。胸部X线显示双肺多发结节状密度影。为明确诊断进行了肺活检,结果显示坏死性肉芽肿,中央为纤维蛋白样坏死,周围是上皮样细胞。这种组织病理学表现是类风湿结节的典型表现。最后患者接受了利妥昔单抗治疗,病情显著改善。

https://cdn.ncbi.nlm.nih.gov/pmc/blobs/5180/4847313/a4b1e5171b16/RU-53-55831-g002.jpg
https://cdn.ncbi.nlm.nih.gov/pmc/blobs/5180/4847313/d70a50cf5f55/RU-53-55831-g001.jpg
https://cdn.ncbi.nlm.nih.gov/pmc/blobs/5180/4847313/a4b1e5171b16/RU-53-55831-g002.jpg
https://cdn.ncbi.nlm.nih.gov/pmc/blobs/5180/4847313/d70a50cf5f55/RU-53-55831-g001.jpg
https://cdn.ncbi.nlm.nih.gov/pmc/blobs/5180/4847313/a4b1e5171b16/RU-53-55831-g002.jpg

相似文献

1
Multiple pulmonary rheumatoid nodules.多发性肺类风湿结节。
Reumatologia. 2015;53(5):276-8. doi: 10.5114/reum.2015.55831. Epub 2015 Dec 8.
2
[A case of rheumatoid arthritis with pneumothorax due to subpleural pulmonary rheumatoid nodules].1例类风湿关节炎合并胸膜下肺类风湿结节致气胸
Nihon Kokyuki Gakkai Zasshi. 2008 Nov;46(11):934-9.
3
[Multiple intrapulmonary rheumatoid nodules].[多发性肺内类风湿结节]
Nihon Kokyuki Gakkai Zasshi. 1999 Oct;37(10):829-33.
4
Progressive intraparenchymal lung nodules dissemination in a heavy smoker and seropositive rheumatoid arthritis suspected of tuberculosis relapse.一名重度吸烟者和血清学阳性类风湿关节炎患者出现进行性肺实质内结节播散,怀疑为结核复发。
Rom J Morphol Embryol. 2013;54(3):659-63.
5
[Rheumatoid arthritis diagnosis based on the detection of a pulmonary rheumatoid nodule in a patient with Hansen's disease].
Nihon Kokyuki Gakkai Zasshi. 2010 Jan;48(1):70-5.
6
Rheumatoid Arthritis With Multiple Lung Nodules: A Case Report.类风湿关节炎合并多发肺结节:一例报告
Cureus. 2024 Jan 16;16(1):e52350. doi: 10.7759/cureus.52350. eCollection 2024 Jan.
7
[A case of necrotizing sarcoid granulomatosis diagnosed by open lung biopsy].[1例经开胸肺活检确诊的坏死性结节病样肉芽肿病]
Nihon Kyobu Shikkan Gakkai Zasshi. 1995 Apr;33(4):463-7.
8
[Video-assisted thoracic surgical (VATS) biopsy as a technique for differential diagnosis of indeterminate small pulmonary nodules].[电视辅助胸腔镜手术(VATS)活检作为一种鉴别诊断肺部小结节的技术]
Kekkaku. 1996 May;71(5):339-44.
9
[Nodular changes in lungs in a patient with rheumatoid arthritis. Diagnostic and therapeutic difficulties. Case report].[类风湿关节炎患者肺部的结节性改变。诊断和治疗难点。病例报告]
Ann Acad Med Stetin. 2010;56 Suppl 1:86-90.
10
Rheumatoid arthritis with diffuse pulmonary rheumatoid nodules.伴有弥漫性肺类风湿结节的类风湿关节炎
Pathol Int. 2004 Oct;54(10):798-802. doi: 10.1111/j.1440-1827.2004.01758.x.

引用本文的文献

1
Pulmonary Nodules After Leflunomide Therapy in Rheumatoid Arthritis: A Case Report.来氟米特治疗类风湿关节炎后出现肺结节:一例报告
Clin Case Rep. 2024 Dec 30;13(1):e9615. doi: 10.1002/ccr3.9615. eCollection 2025 Jan.
2
Cavitary pulmonary rheumatoid nodules in a patient on leflunomide: A case report.来氟米特治疗患者出现的空洞性肺类风湿结节:一例报告
Radiol Case Rep. 2024 Oct 3;19(12):6662-6666. doi: 10.1016/j.radcr.2024.09.094. eCollection 2024 Dec.
3
Treatment with biologic DMARDs may not adversely affect lung nodules in rheumatoid arthritis patients.

本文引用的文献

1
[Regression of peripheral and pulmonary rheumatoid nodules under therapy with rituximab].[利妥昔单抗治疗下外周及肺部类风湿结节的消退]
Z Rheumatol. 2013 Mar;72(2):166-71. doi: 10.1007/s00393-012-1054-0.
2
Marked improvement of lung rheumatoid nodules after treatment with tocilizumab.用托珠单抗治疗后,肺部类风湿结节有显著改善。
Rheumatology (Oxford). 2012 Jun;51(6):1132-4. doi: 10.1093/rheumatology/ker455. Epub 2012 Feb 10.
3
Extra-articular manifestations of rheumatoid arthritis: An update.类风湿关节炎的关节外表现:最新进展。
使用生物性改善病情抗风湿药(DMARDs)进行治疗可能不会对类风湿关节炎患者的肺结节产生不利影响。
Eur J Rheumatol. 2022 Apr;9(2):75-81. doi: 10.5152/eujrheum.2022.21067.
4
Thoracic Manifestations of Rheumatoid Arthritis.类风湿关节炎的胸部表现。
Clin Chest Med. 2019 Sep;40(3):545-560. doi: 10.1016/j.ccm.2019.05.003. Epub 2019 Jul 6.
5
Cavitary rheumatoid nodules: an unusual pulmonary finding.空洞性类风湿结节:一种不寻常的肺部表现。
Radiol Bras. 2019 May-Jun;52(3):203-204. doi: 10.1590/0100-3984.2017.0182.
6
Multiple pulmonary nodules in rheumatoid arthritis.类风湿关节炎中的多发性肺结节。
Eur J Rheumatol. 2018 Oct 31;6(4):228. doi: 10.5152/eurjrheum.2018.18049.
Autoimmun Rev. 2011 Dec;11(2):123-31. doi: 10.1016/j.autrev.2011.09.001. Epub 2011 Sep 10.
4
[Pulmonary manifestation of rheumatoid arthritis].类风湿关节炎的肺部表现
Rev Mal Respir. 2008 Oct;25(8):973-88. doi: 10.1016/s0761-8425(08)74414-0.
5
Lung disease in rheumatoid arthritis.类风湿关节炎中的肺部疾病
Curr Opin Rheumatol. 2008 May;20(3):340-6. doi: 10.1097/BOR.0b013e3282f798ed.
6
Multiple extra-articular manifestations are associated with poor survival in patients with rheumatoid arthritis.多种关节外表现与类风湿关节炎患者的不良生存相关。
Ann Rheum Dis. 2006 Nov;65(11):1533-4. doi: 10.1136/ard.2006.052803.
7
Death rates and causes of death in patients with rheumatoid arthritis: a population-based study.类风湿关节炎患者的死亡率及死亡原因:一项基于人群的研究。
Scand J Rheumatol. 2004;33(4):221-7. doi: 10.1080/03009740410005845.
8
Survival in rheumatoid arthritis: a population-based analysis of trends over 40 years.类风湿关节炎的生存率:基于人群的40年趋势分析。
Arthritis Rheum. 2003 Jan;48(1):54-8. doi: 10.1002/art.10705.
9
Occurrence of extraarticular disease manifestations is associated with excess mortality in a community based cohort of patients with rheumatoid arthritis.在一个以社区为基础的类风湿关节炎患者队列中,关节外疾病表现的出现与死亡率过高相关。
J Rheumatol. 2002 Jan;29(1):62-7.
10
Lung biopsy in rheumatoid arthritis.类风湿关节炎中的肺活检
Am Rev Respir Dis. 1985 May;131(5):770-7. doi: 10.1164/arrd.1985.131.5.770.