• 文献检索
  • 文档翻译
  • 深度研究
  • 学术资讯
  • Suppr Zotero 插件Zotero 插件
  • 邀请有礼
  • 套餐&价格
  • 历史记录
应用&插件
Suppr Zotero 插件Zotero 插件浏览器插件Mac 客户端Windows 客户端微信小程序
定价
高级版会员购买积分包购买API积分包
服务
文献检索文档翻译深度研究API 文档MCP 服务
关于我们
关于 Suppr公司介绍联系我们用户协议隐私条款
关注我们

Suppr 超能文献

核心技术专利:CN118964589B侵权必究
粤ICP备2023148730 号-1Suppr @ 2026

文献检索

告别复杂PubMed语法,用中文像聊天一样搜索,搜遍4000万医学文献。AI智能推荐,让科研检索更轻松。

立即免费搜索

文件翻译

保留排版,准确专业,支持PDF/Word/PPT等文件格式,支持 12+语言互译。

免费翻译文档

深度研究

AI帮你快速写综述,25分钟生成高质量综述,智能提取关键信息,辅助科研写作。

立即免费体验

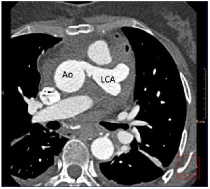
成人冠状动脉左前降支起源于肺动脉(ALCAPA)并发心搏骤停 1 例报告

Sudden Cardiac Arrest in an Adult with Anomalous Origin of the Left Coronary Artery from the Pulmonary Artery (ALCAPA): Case Report.

机构信息

Division of Cardiology, Mount Sinai Heart, Mount Sinai Hospital, Icahn School of Medicine at Mount Sinai, New York, NY 10029, USA.

Department of Systems Medicine, Division of Cardiology, University of Rome "Tor Vergata", 00133 Rome, Italy.

出版信息

Int J Environ Res Public Health. 2022 Jan 29;19(3):1554. doi: 10.3390/ijerph19031554.

DOI:10.3390/ijerph19031554
PMID:35162575
原文链接:https://pmc.ncbi.nlm.nih.gov/articles/PMC8834940/
Abstract

INTRODUCTION

Anomalous origin of the left coronary artery from the pulmonary artery (ALCAPA) is a rare coronary artery anomaly that carries 90% mortality in the first year of life when left untreated. The diagnosis of ALCAPA is rare in adulthood, and it includes a broad spectrum of clinical manifestations, including sudden cardiac death (SCD).

CASE REPORT

We report a rare case of resuscitated sudden cardiac arrest in a 55-year-old female, who was diagnosed with ALCAPA and underwent successful surgical correction and implantable cardioverter defibrillator (ICD) implantation for secondary prevention.

DISCUSSION

ALCAPA diagnosis is not confined to childhood, and it represents a rare cause of life-threatening arrhythmias and SCD in the adult population. Surgical correction is recommended, regardless of age, presence of symptoms or inducible myocardial ischemia. Multimodality imaging is crucial for diagnosis, management planning and follow up. Assessment of the risk of recurrent ventricular arrhythmias, despite full revascularization, should be performed in all adults with ALCAPA. Myocardial scar detected via late gadolinium enhancement represents a potential irreversible substrate for ventricular arrhythmias, and it provides additional information to evaluate indication of an ICD for secondary prevention.

摘要

引言

起源于肺动脉的左冠状动脉异常(ALCAPA)是一种罕见的冠状动脉异常,如果不治疗,90%的患者会在生命的第一年死亡。ALCAPA 在成年期的诊断较为罕见,它包括广泛的临床表现,包括心源性猝死(SCD)。

病例报告

我们报告了一例罕见的 55 岁女性复苏性心搏骤停病例,该患者被诊断为 ALCAPA,并接受了成功的手术矫正和植入式心律转复除颤器(ICD)植入术以进行二级预防。

讨论

ALCAPA 的诊断并不局限于儿童时期,它在成年人群中也是一种罕见的、危及生命的心律失常和 SCD 的病因。无论年龄、症状或可诱导性心肌缺血如何,均推荐进行手术矫正。多模态成像对于诊断、管理计划和随访至关重要。应在所有患有 ALCAPA 的成年人中评估尽管完全血运重建后是否仍存在复发性室性心律失常的风险。通过钆延迟增强检测到的心肌瘢痕代表了室性心律失常的潜在不可逆基质,它为评估 ICD 进行二级预防的适应证提供了额外信息。

https://cdn.ncbi.nlm.nih.gov/pmc/blobs/db16/8834940/0e14a2ef31b1/ijerph-19-01554-g004.jpg
https://cdn.ncbi.nlm.nih.gov/pmc/blobs/db16/8834940/82d5d1aaef98/ijerph-19-01554-g001.jpg
https://cdn.ncbi.nlm.nih.gov/pmc/blobs/db16/8834940/debb5021dce2/ijerph-19-01554-g002.jpg
https://cdn.ncbi.nlm.nih.gov/pmc/blobs/db16/8834940/ad9017a10b28/ijerph-19-01554-g003.jpg
https://cdn.ncbi.nlm.nih.gov/pmc/blobs/db16/8834940/0e14a2ef31b1/ijerph-19-01554-g004.jpg
https://cdn.ncbi.nlm.nih.gov/pmc/blobs/db16/8834940/82d5d1aaef98/ijerph-19-01554-g001.jpg
https://cdn.ncbi.nlm.nih.gov/pmc/blobs/db16/8834940/debb5021dce2/ijerph-19-01554-g002.jpg
https://cdn.ncbi.nlm.nih.gov/pmc/blobs/db16/8834940/ad9017a10b28/ijerph-19-01554-g003.jpg
https://cdn.ncbi.nlm.nih.gov/pmc/blobs/db16/8834940/0e14a2ef31b1/ijerph-19-01554-g004.jpg

相似文献

1
Sudden Cardiac Arrest in an Adult with Anomalous Origin of the Left Coronary Artery from the Pulmonary Artery (ALCAPA): Case Report.成人冠状动脉左前降支起源于肺动脉(ALCAPA)并发心搏骤停 1 例报告
Int J Environ Res Public Health. 2022 Jan 29;19(3):1554. doi: 10.3390/ijerph19031554.
2
The management of the older adult patient with anomalous left coronary artery from the pulmonary artery syndrome: a presentation of two cases and review of the literature.老年肺动脉起源异常左冠状动脉综合征患者的管理:两例病例报告及文献综述
Congenit Heart Dis. 2014 Nov-Dec;9(6):E185-94. doi: 10.1111/chd.12125. Epub 2013 Aug 18.
3
Surviving sudden cardiac death secondary to anomalous left coronary artery from the pulmonary artery: a case report and literature review.肺动脉起源异常左冠状动脉继发心脏性猝死幸存者:一例报告及文献复习
Heart Lung. 2014 Sep-Oct;43(5):476-80. doi: 10.1016/j.hrtlng.2014.06.048. Epub 2014 Jul 8.
4
Direct Re-implantation of Left Coronary Artery into the Aorta in Adults with Anomalous Origin of Left Coronary Artery from the Pulmonary Artery (ALCAPA).成人左冠状动脉起源于肺动脉(ALCAPA)时将左冠状动脉直接重新植入主动脉
J Vis Exp. 2017 Apr 24(122):55590. doi: 10.3791/55590.
5
Anomalous left coronary artery from the pulmonary artery: a rare cause of an out-of-hospital cardiac arrest in an adult-a case report.起源于肺动脉的异常左冠状动脉:成人院外心脏骤停的罕见原因——一例报告
Eur Heart J Case Rep. 2020 Apr 17;4(3):1-5. doi: 10.1093/ehjcr/ytaa061. eCollection 2020 Jun.
6
Anomalous origin of the left coronary artery from the pulmonary artery (ALCAPA), a forgotten congenital cause of sudden death in the adult.左冠状动脉起源于肺动脉(ALCAPA)异常,一种被遗忘的成人猝死的先天性病因。
Cardiovasc Pathol. 2013 Jul-Aug;22(4):294-7. doi: 10.1016/j.carpath.2012.11.006. Epub 2013 Jan 8.
7
Acute myocardial infarction in the elderly with anomalous origin of the left coronary artery from the pulmonary artery (ALCAPA): A case report and literature review.老年冠状动脉异常起源于肺动脉致急性心肌梗死(ALCAPA):病例报告并文献复习。
Medicine (Baltimore). 2022 Dec 2;101(48):e32219. doi: 10.1097/MD.0000000000032219.
8
Two congenital coronary abnormalities affecting heart function: anomalous origin of the left coronary artery from the pulmonary artery and congenital left main coronary artery atresia.两种影响心脏功能的先天性冠状动脉异常:左冠状动脉异常起源于肺动脉和先天性左主干冠状动脉闭锁。
Chin Med J (Engl). 2014;127(21):3724-31.
9
Anomalous left coronary artery from the pulmonary artery (ALCAPA) diagnosed in adulthood: Varied clinical presentation, therapeutic approach and outcome.成人诊断出的异常左冠状动脉起自肺动脉(ALCAPA):临床表现多样,治疗方法和结局各异。
Int J Cardiol. 2018 Jun 15;261:49-53. doi: 10.1016/j.ijcard.2018.02.082. Epub 2018 Feb 24.
10
Adult ALCAPA: from histological picture to clinical features.成人左冠状动脉起源异常:从组织学图像到临床特征
J Cardiothorac Surg. 2020 Jan 13;15(1):14. doi: 10.1186/s13019-020-1048-y.

引用本文的文献

1
Society for Cardiovascular Magnetic Resonance 2023 Cases of SCMR case series.心血管磁共振学会2023年SCMR病例系列病例
J Cardiovasc Magn Reson. 2024;26(2):101086. doi: 10.1016/j.jocmr.2024.101086. Epub 2024 Aug 22.
2
Anomalous Arising of Right Coronary Artery from the Pulmonary Artery.右冠状动脉起源于肺动脉异常。
J Cardiovasc Dev Dis. 2024 Feb 1;11(2):50. doi: 10.3390/jcdd11020050.
3
Anomalous origin of the left coronary artery from the right pulmonary artery.左冠状动脉起源于右肺动脉异常。

本文引用的文献

1
Reversible Cause of Cardiac Arrest and Secondary Prevention Implantable Cardioverter Defibrillators in Patients With Coronary Artery Disease: Value of Complete Revascularization and LGE-CMR.冠心病患者心脏骤停的可逆原因和二级预防植入式心脏除颤器:完全血运重建和 LGE-CMR 的价值。
J Am Heart Assoc. 2021 Apr 20;10(8):e019101. doi: 10.1161/JAHA.120.019101. Epub 2021 Apr 6.
2
Late adult presentation of ALCAPA syndrome: need for a new clinical classification? A case report and literature overview.成人晚期表现的左冠状动脉起源于肺动脉综合征:是否需要新的临床分类?一例病例报告及文献综述
Eur Heart J Case Rep. 2020 Nov 30;4(6):1-5. doi: 10.1093/ehjcr/ytaa318. eCollection 2020 Dec.
3
Clin Case Rep. 2023 Aug 17;11(8):e7757. doi: 10.1002/ccr3.7757. eCollection 2023 Aug.
Out-of-hospital cardiac arrest caused by ALCAPA syndrome in adulthood.
成年期由左冠状动脉起源于肺动脉综合征引起的院外心脏骤停。
Eur Heart J. 2021 Mar 14;42(11):1118. doi: 10.1093/eurheartj/ehaa827.
4
Anomalous origin of coronary arteries from pulmonary artery in adults: a case series.成人冠状动脉起源于肺动脉异常:病例系列
Eur Heart J Case Rep. 2020 Mar 12;4(2):1-5. doi: 10.1093/ehjcr/ytaa047. eCollection 2020 Jun.
5
2020 ESC Guidelines for the management of adult congenital heart disease.2020年欧洲心脏病学会成人先天性心脏病管理指南。
Eur Heart J. 2021 Feb 11;42(6):563-645. doi: 10.1093/eurheartj/ehaa554.
6
Anomalous left coronary artery from the pulmonary artery: a rare cause of an out-of-hospital cardiac arrest in an adult-a case report.起源于肺动脉的异常左冠状动脉:成人院外心脏骤停的罕见原因——一例报告
Eur Heart J Case Rep. 2020 Apr 17;4(3):1-5. doi: 10.1093/ehjcr/ytaa061. eCollection 2020 Jun.
7
2018 AHA/ACC Guideline for the Management of Adults With Congenital Heart Disease: Executive Summary: A Report of the American College of Cardiology/American Heart Association Task Force on Clinical Practice Guidelines.2018年美国心脏协会/美国心脏病学会成人先天性心脏病管理指南:执行摘要:美国心脏病学会/美国心脏协会临床实践指南工作组报告
Circulation. 2019 Apr 2;139(14):e637-e697. doi: 10.1161/CIR.0000000000000602.
8
Adult-type ALCAPA syndrome: A rare coronary artery anomaly.成人型左冠状动脉起源于肺动脉综合征:一种罕见的冠状动脉异常。
Echocardiography. 2018 Jul;35(7):1056-1059. doi: 10.1111/echo.14013. Epub 2018 May 11.
9
Anomalous left coronary artery from the pulmonary artery (ALCAPA) diagnosed in adulthood: Varied clinical presentation, therapeutic approach and outcome.成人诊断出的异常左冠状动脉起自肺动脉(ALCAPA):临床表现多样,治疗方法和结局各异。
Int J Cardiol. 2018 Jun 15;261:49-53. doi: 10.1016/j.ijcard.2018.02.082. Epub 2018 Feb 24.
10
Surgical Repair for Anomalous Origin of the Right Coronary Artery from the Pulmonary Artery.肺动脉起源异常的右冠状动脉的外科修复术。
Korean Circ J. 2017 Jan;47(1):144-147. doi: 10.4070/kcj.2016.0174. Epub 2016 Nov 28.