Suppr超能文献

黄连和吴茱萸中生物碱的大孔树脂分离与富集及其对胆汁反流性胃炎大鼠的作用评价。

Separation and Enrichment of Alkaloids from Coptidis Rhizoma and Euodiae Fructus by Macroporous Resin and Evaluation of the Effect on Bile Reflux Gastritis Rats.

机构信息

State Key Laboratory of Natural and Biomimetic Drugs, Department of Natural Medicines, School of Pharmaceutical Sciences, Peking University Health Science Center, Peking University, Beijing 101191, China.

TCM R&D Center, Beijing Increase Pharm Co., Ltd., Beijing 102200, China.

出版信息

Molecules. 2022 Jan 22;27(3):724. doi: 10.3390/molecules27030724.

Abstract

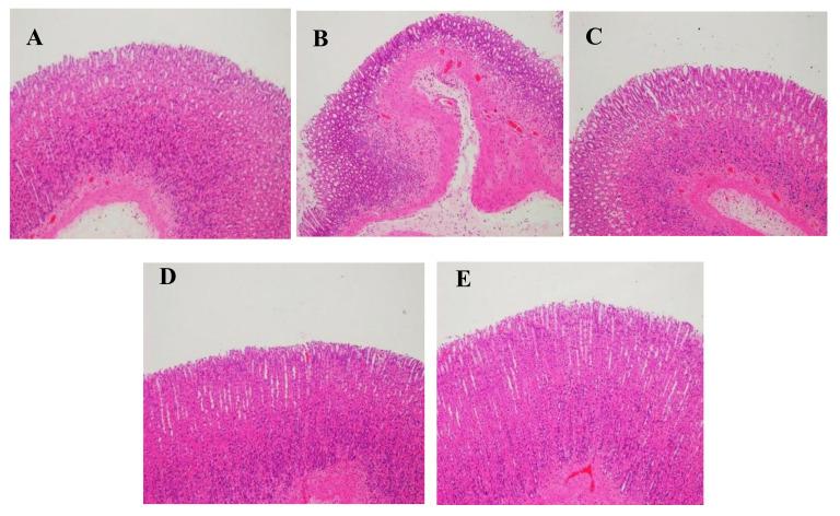
The Zuojin Pill consists of Coptidis Rhizoma (CR) and Euodiae Fructus (EF). It has been a classic prescription for the treatment of gastrointestinal diseases in China since ancient times. Alkaloids are considered to be its main pharmacologically active substances. The authors of the present study investigated the feasibility of preparing high purity total alkaloids (TAs) from CR and EF extracts separately and evaluated the effect for the treatment of bile reflux gastritis (BRG). Franch. and (Juss.) Benth. were used in the study. An optimized method for the enrichment and purification of TAs with macroporous resin was established. Furthermore, qualitative analysis by using ultra-high performance liquid chromatography coupled with electrospray ionization and quadrupole-time of flight mass spectrometry (UHPLC-ESI-QTOF-MS) was explored to identify the components of purified TAs. Thirty-one compounds, thirty alkaloids and one phenolic compound, were identified or tentatively assigned by comparison with reference standards or literature data. A method of ultra-high performance liquid chromatography coupled with diode array detector (UHPLC-DAD) for quantitative analysis was also developed. The contents of nine alkaloids were determined. Moreover, a rat model of BRG was used to investigate the therapeutic effect of the combination of purified TAs from CR and EF. Gastric pathologic examination suggested that the alkaloids' combination could markedly attenuate the pathological changes of gastric mucosa.

摘要

左金丸由黄连(CR)和吴茱萸(EF)组成。自古以来,它一直是中国治疗胃肠道疾病的经典方剂。生物碱被认为是其主要的药效物质。本研究的作者探讨了分别从 CR 和 EF 提取物中制备高纯度总生物碱(TAs)的可行性,并评估了其治疗胆汁反流性胃炎(BRG)的效果。该研究使用了吴茱萸 Franchet 和(Juss.)Benth.。建立了一种用大孔树脂富集和纯化 TAs 的优化方法。此外,还通过超高效液相色谱-电喷雾电离-四极杆飞行时间质谱联用(UHPLC-ESI-QTOF-MS)进行了定性分析,以鉴定纯化 TAs 的成分。通过与对照品或文献数据进行比较,鉴定或初步确定了 31 种化合物,其中 30 种生物碱和 1 种酚类化合物。还建立了一种用于定量分析的二极管阵列检测器超高效液相色谱法(UHPLC-DAD)。测定了 9 种生物碱的含量。此外,还建立了 BRG 大鼠模型,以研究 CR 和 EF 纯化 TAs 联合用药的治疗效果。胃组织病理学检查提示,生物碱联合用药可明显减轻胃黏膜的病理变化。

https://cdn.ncbi.nlm.nih.gov/pmc/blobs/3902/8839576/8c394dffb91d/molecules-27-00724-g001.jpg

文献AI研究员

20分钟写一篇综述,助力文献阅读效率提升50倍。

立即体验

用中文搜PubMed

大模型驱动的PubMed中文搜索引擎

马上搜索

文档翻译

学术文献翻译模型,支持多种主流文档格式。

立即体验