Suppr超能文献

颈内静脉开窗术:一种无放射学线索的术中发现。

Internal Jugular Vein Fenestration: An Intraoperative Finding Without a Radiological Clue.

作者信息

Aladham Youssef, Momin Sheikh Muktadir Bin, Ahmed Omar, Jackson Samuel

机构信息

Otolaryngology, East Kent Hospitals University NHS Foundation Trust, Ashford, GBR.

Otolaryngology, Bristol Royal Infirmary, Bristol, GBR.

出版信息

Cureus. 2022 Jan 12;14(1):e21166. doi: 10.7759/cureus.21166. eCollection 2022 Jan.

Abstract

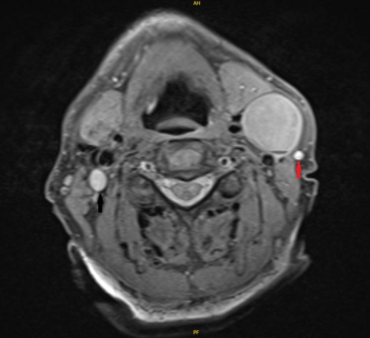
A comprehensive understanding of the anatomical variations of the internal jugular vein (IJV) is essential to prevent inadvertent injuries during neck procedures, particularly neck dissection. In addition, its relationship with the spinal accessory nerve in the upper part of the neck is relatively variable. IJV fenestration refers to bifurcation of the vein with reunion proximal to the subclavian vein, whereas IJV duplication refers to continued branching till joining the subclavian vein separately. We report a case of a fenestrated IJV identified intraoperatively with the spinal accessory nerve passing laterally to both divisions.

摘要

全面了解颈内静脉(IJV)的解剖变异对于预防颈部手术(尤其是颈部清扫术)期间的意外损伤至关重要。此外,它在颈部上部与副神经的关系相对多变。颈内静脉开窗是指静脉分叉后在锁骨下静脉近端重新汇合,而颈内静脉重复是指持续分支直至分别汇入锁骨下静脉。我们报告了一例术中发现的开窗型颈内静脉病例,副神经从两个分支的外侧通过。

https://cdn.ncbi.nlm.nih.gov/pmc/blobs/6794/8831423/551e77f74e9e/cureus-0014-00000021166-i01.jpg

文献AI研究员

20分钟写一篇综述,助力文献阅读效率提升50倍。

立即体验

用中文搜PubMed

大模型驱动的PubMed中文搜索引擎

马上搜索

文档翻译

学术文献翻译模型,支持多种主流文档格式。

立即体验