Suppr超能文献

肱骨远端部分骨内神经鞘瘤活检后强化增加:影像学与病理对照

Partially intraosseous schwannoma of the distal humerus with increased enhancement after biopsy: Radiologic-pathologic correlation.

作者信息

Hansra Shan S, Brown Colin N, Kang Lisa H, Schaberg Kurt B, Thorpe Steven W, Chen Dillon C

机构信息

Department of Radiology, University of California Davis Medical Center, 4860 Y Street, Suite 3100, Sacramento, CA 95817, USA.

Department of Pathology, University of California Davis Medical Center, 4400 V Street, Sacramento, CA 95817, USA.

出版信息

Radiol Case Rep. 2022 Feb 4;17(4):1194-1200. doi: 10.1016/j.radcr.2021.12.050. eCollection 2022 Apr.

Abstract

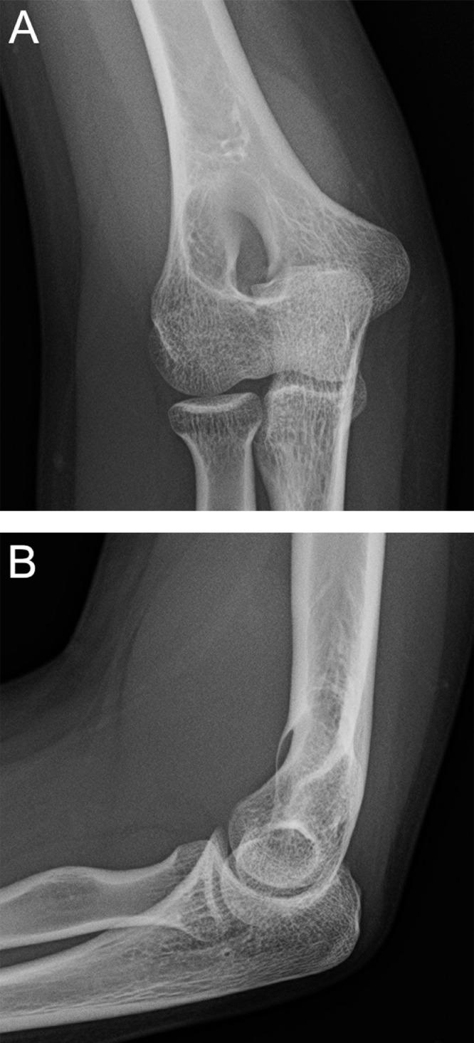
Intraosseous schwannomas are rare benign tumors that most often occur at the mandible or sacrum. We present an unusual case of a bilobed schwannoma of the distal humerus with both intraosseous and extraosseous components. The extraosseous component was non-enhancing on initial MRI and enhanced on a subsequent MRI obtained after biopsy. We hypothesize that this change was attributable to decreased intra-tumoral pressure secondary to biopsy-related disruption of the tumor capsule.

摘要

骨内神经鞘瘤是罕见的良性肿瘤,最常发生于下颌骨或骶骨。我们报告一例罕见的远端肱骨双叶神经鞘瘤病例,该肿瘤同时具有骨内和骨外成分。骨外成分在初次磁共振成像(MRI)上无强化,而在活检后进行的后续MRI上出现强化。我们推测这种变化归因于活检相关的肿瘤包膜破坏导致瘤内压力降低。

https://cdn.ncbi.nlm.nih.gov/pmc/blobs/1540/8829534/73b61e555e6a/gr1.jpg

文献AI研究员

20分钟写一篇综述,助力文献阅读效率提升50倍。

立即体验

用中文搜PubMed

大模型驱动的PubMed中文搜索引擎

马上搜索

文档翻译

学术文献翻译模型,支持多种主流文档格式。

立即体验