• 文献检索
  • 文档翻译
  • 深度研究
  • 学术资讯
  • Suppr Zotero 插件Zotero 插件
  • 邀请有礼
  • 套餐&价格
  • 历史记录
应用&插件
Suppr Zotero 插件Zotero 插件浏览器插件Mac 客户端Windows 客户端微信小程序
定价
高级版会员购买积分包购买API积分包
服务
文献检索文档翻译深度研究API 文档MCP 服务
关于我们
关于 Suppr公司介绍联系我们用户协议隐私条款
关注我们

Suppr 超能文献

核心技术专利:CN118964589B侵权必究
粤ICP备2023148730 号-1Suppr @ 2026

文献检索

告别复杂PubMed语法,用中文像聊天一样搜索,搜遍4000万医学文献。AI智能推荐,让科研检索更轻松。

立即免费搜索

文件翻译

保留排版,准确专业,支持PDF/Word/PPT等文件格式,支持 12+语言互译。

免费翻译文档

深度研究

AI帮你快速写综述,25分钟生成高质量综述,智能提取关键信息,辅助科研写作。

立即免费体验

肱骨近端骨内 schwann 瘤伴病理性骨折。

Intraosseous schwannoma of the proximal humerus with pathologic fracture.

机构信息

Department of Orthopaedics, First Affiliated Hospital of Dalian Medical University, No. 222, Zhongshan Road, Dalian, 116011, China.

Department of Neurology, First Affiliated Hospital of Dalian Medical University, No. 222, Zhongshan Road, Dalian, 116011, China.

出版信息

Eur J Med Res. 2021 Jul 9;26(1):72. doi: 10.1186/s40001-021-00541-7.

DOI:10.1186/s40001-021-00541-7
PMID:34243786
原文链接:https://pmc.ncbi.nlm.nih.gov/articles/PMC8268594/
Abstract

BACKGROUND

Intraosseous schwannomas are extremely rare in the humerus, and less than five cases have been reported previously in the literature. This is the first report of its origin in the proximal humerus with pathologic fracture. We herein present this case to discuss the reason for its rarity and share our experience of management.

CASE PRESENTATION

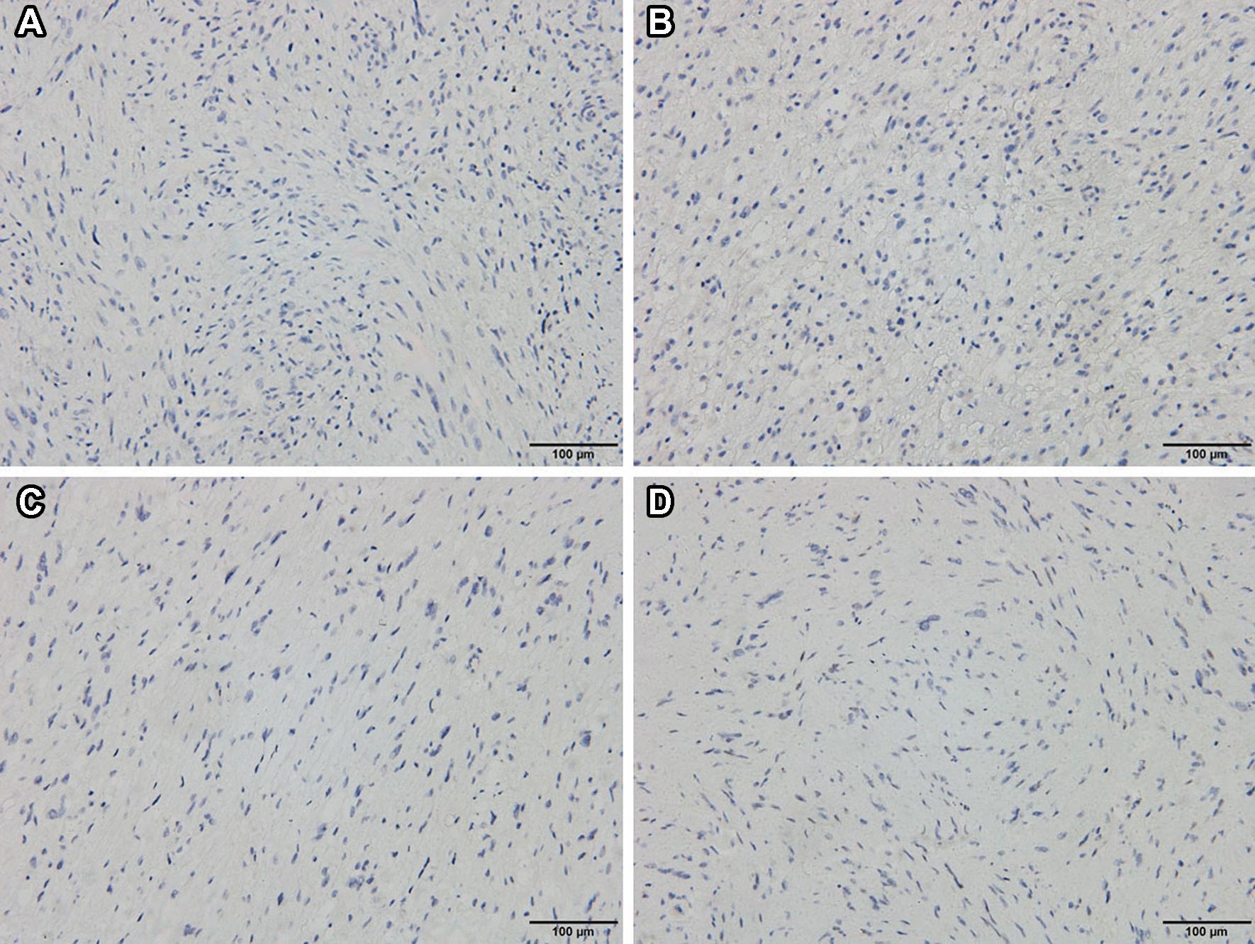
A 55-year-old female patient presented with pain in the right shoulder, which was caused by tripping and falling over a board. Radiographs, computed tomography (CT) and magnetic resonance imaging (MRI) showed considerable tumor in proximal humerus, which connected with a fracture. For this suspected tumor, we performed two operations. Pathological examination demonstrated typical picture of a schwannoma, showing whorls and interlacing fascicles of schwannoma spindle cells. Immunohistochemistry, the tumor cells were diffusely positive for S-100 protein, SOX-10 and CD68, while they were completely negative for desmin, DOG-1, AE1/AE3 and P63. The Ki-67 index was about 10%. No mitoses or features of malignancy were identified. The final diagnosis of intraosseous schwannoma was made. The treatment for intraosseous schwannoma with pathologic fracture includes excisional biopsy, curettage, bone allograft, and fracture fixation. The patient recovered well. After the surgery, the patient gradually regained mobility and the pain subsided. There was no recurrence after 6 months of follow-up by X-ray.

CONCLUSIONS

Although very rare, intraosseous schwannoma should be taken under consideration in the differential diagnosis of benign-appearing osseous tumor in the proximal humerus with pathologic fracture.

摘要

背景

骨内神经鞘瘤在肱骨中极为罕见,文献中以前报道的病例少于 5 例。这是首例起源于肱骨近端伴病理性骨折的病例。我们在此报告该病例,讨论其罕见的原因,并分享我们的治疗经验。

病例介绍

一名 55 岁女性患者因被木板绊倒而摔倒导致右肩部疼痛。X 线片、计算机断层扫描(CT)和磁共振成像(MRI)显示肱骨近端有相当大的肿瘤,与骨折相连。对于这个疑似肿瘤,我们进行了两次手术。病理检查显示典型的神经鞘瘤表现,具有神经鞘瘤梭形细胞的漩涡和交织束。免疫组织化学染色,肿瘤细胞弥漫性表达 S-100 蛋白、SOX-10 和 CD68,而完全不表达结蛋白、DOG-1、AE1/AE3 和 P63。Ki-67 指数约为 10%。未见有丝分裂或恶性特征。最终诊断为骨内神经鞘瘤。伴有病理性骨折的骨内神经鞘瘤的治疗包括切除活检、刮除、骨移植和骨折固定。患者恢复良好。术后,患者逐渐恢复活动能力,疼痛减轻。经 X 线随访 6 个月后未见复发。

结论

虽然非常罕见,但在肱骨近端伴病理性骨折的良性骨肿瘤的鉴别诊断中,应考虑骨内神经鞘瘤。

https://cdn.ncbi.nlm.nih.gov/pmc/blobs/26fb/8268594/d4c5f005646b/40001_2021_541_Fig6_HTML.jpg
https://cdn.ncbi.nlm.nih.gov/pmc/blobs/26fb/8268594/d4c5f005646b/40001_2021_541_Fig6_HTML.jpg
https://cdn.ncbi.nlm.nih.gov/pmc/blobs/26fb/8268594/d4c5f005646b/40001_2021_541_Fig6_HTML.jpg

相似文献

1
Intraosseous schwannoma of the proximal humerus with pathologic fracture.肱骨近端骨内 schwann 瘤伴病理性骨折。
Eur J Med Res. 2021 Jul 9;26(1):72. doi: 10.1186/s40001-021-00541-7.
2
Intraosseous schwannoma of the humerus.肱骨骨内神经鞘瘤
Skeletal Radiol. 2002 Jul;31(7):419-21. doi: 10.1007/s00256-002-0493-0. Epub 2002 Apr 4.
3
Intraosseous schwannoma of the humerus: a rarity yet warrants consideration.肱骨骨内神经鞘瘤:罕见但需考虑。
BMJ Case Rep. 2021 Sep 21;14(9):e240007. doi: 10.1136/bcr-2020-240007.
4
Intraosseous neurilemmoma of the proximal ulna.尺骨近端骨内神经鞘瘤
Int J Surg Case Rep. 2014;5(12):914-8. doi: 10.1016/j.ijscr.2014.10.062. Epub 2014 Oct 23.
5
First-ever intraosseous ancient schwannoma of the proximal ulna successfully treated using the cement technique.首例采用骨水泥技术成功治疗的尺骨近端骨内古代神经鞘瘤。
J Int Med Res. 2021 Feb;49(2):300060520987732. doi: 10.1177/0300060520987732.
6
Intraosseous Schwannoma of Rib With Severe Back Pain and Characteristic Pathological Findings.伴有严重背痛及特征性病理表现的肋骨骨内神经鞘瘤
Ann Thorac Surg. 2016 Aug;102(2):e155-7. doi: 10.1016/j.athoracsur.2016.01.008.
7
Intraosseous Schwannoma Involving Multiple Bones of the Foot: A Case Report.累及足部多骨的骨内施万瘤:一例报告
J Foot Ankle Surg. 2016 Jan-Feb;55(1):201-6. doi: 10.1053/j.jfas.2015.07.002. Epub 2015 Sep 18.
8
Rare presentation of a primary intraosseous glomus tumor in the humerus of a teenager.青少年肱骨原发性骨内血管平滑肌瘤的罕见表现。
Skeletal Radiol. 2024 Nov;53(11):2529-2535. doi: 10.1007/s00256-024-04604-8. Epub 2024 Feb 1.
9
Intraosseous schwannoma of rib.肋骨骨内神经鞘瘤
J Clin Pathol. 2009 Feb;62(2):185-6. doi: 10.1136/jcp.2008.062422.
10
Intraosseous schwannoma of the glenoid: case report and literature review.肩胛盂骨内神经鞘瘤:病例报告及文献复习
SICOT J. 2021;7:2. doi: 10.1051/sicotj/2020048. Epub 2021 Jan 8.

引用本文的文献

1
Feline Facial Spindle Cell Tumors in 29 Cats: Histomorphological and Immunohistochemical Characterization.29只猫的猫面部纺锤体细胞肿瘤:组织形态学和免疫组织化学特征
Animals (Basel). 2024 Apr 4;14(7):1103. doi: 10.3390/ani14071103.
2
Imaging Features of Intraosseous Schwannoma: A Case Series and Review of the Literature.骨内施万瘤的影像学特征:病例系列及文献综述
Diagnostics (Basel). 2023 May 2;13(9):1610. doi: 10.3390/diagnostics13091610.
3
Intraosseous schwannoma of distal femur: A case report.股骨远端骨内神经鞘瘤:一例报告。

本文引用的文献

1
Clinicopathologic and Molecular Cytogenetic Analysis of 8 Cases With Uterine Cervical Ewing Sarcoma: Case Series With Literature Review.8 例子宫颈尤文肉瘤的临床病理及分子细胞遗传学分析:病例系列并文献复习
Am J Surg Pathol. 2021 Apr 1;45(4):523-530. doi: 10.1097/PAS.0000000000001674.
2
Intraosseous schwannoma of the femur in a patient with monoclonal gammopathy of undetermined significance.一名意义未明的单克隆丙种球蛋白病患者的股骨骨内神经鞘瘤。
Int J Surg Case Rep. 2020;72:494-498. doi: 10.1016/j.ijscr.2020.06.054. Epub 2020 Jun 13.
3
Clinical, Laboratory, and Bone Marrow Findings of 31 Patients With Waldenström Macroglobulinemia.
Int J Surg Case Rep. 2022 Oct;99:107643. doi: 10.1016/j.ijscr.2022.107643. Epub 2022 Sep 13.
4
Partially intraosseous schwannoma of the distal humerus with increased enhancement after biopsy: Radiologic-pathologic correlation.肱骨远端部分骨内神经鞘瘤活检后强化增加:影像学与病理对照
Radiol Case Rep. 2022 Feb 4;17(4):1194-1200. doi: 10.1016/j.radcr.2021.12.050. eCollection 2022 Apr.
31 例华氏巨球蛋白血症患者的临床、实验室和骨髓检查结果。
Ann Lab Med. 2020 May;40(3):193-200. doi: 10.3343/alm.2020.40.3.193.
4
Ki-67 index as a predictor of vestibular schwannoma regrowth or recurrence.Ki-67指数作为前庭神经鞘瘤再生长或复发的预测指标。
J Laryngol Otol. 2019 Mar;133(3):205-207. doi: 10.1017/S0022215119000549.
5
Microcystic/Reticular Schwannoma of the Mandible First Case Report and Review of the Literature.下颌骨微囊性/网状神经鞘瘤:首例病例报告及文献复习
Medicine (Baltimore). 2015 Nov;94(45):e1974. doi: 10.1097/MD.0000000000001974.
6
Intraosseous neurilemmoma of the proximal ulna.尺骨近端骨内神经鞘瘤
Int J Surg Case Rep. 2014;5(12):914-8. doi: 10.1016/j.ijscr.2014.10.062. Epub 2014 Oct 23.
7
Intraosseous schwannoma of the proximal femur.股骨近端骨内神经鞘瘤
Asia Pac J Clin Oncol. 2012 Sep;8(3):e29-33. doi: 10.1111/j.1743-7563.2012.01539.x. Epub 2012 May 15.
8
Discovered on gastrointestinal stromal tumours 1 (DOG1) expression in non-gastrointestinal stromal tumour (GIST) neoplasms.在非胃肠道间质瘤(GIST)肿瘤中发现了胃肠道基质瘤 1(DOG1)的表达。
Histopathology. 2012 Aug;61(2):170-7. doi: 10.1111/j.1365-2559.2011.04150.x. Epub 2012 May 9.
9
Intratumoral hemorrhage, vessel density, and the inflammatory reaction contribute to volume increase of sporadic vestibular schwannomas.肿瘤内出血、血管密度和炎症反应导致散发性前庭神经鞘瘤体积增大。
Virchows Arch. 2012 Jun;460(6):629-36. doi: 10.1007/s00428-012-1236-9. Epub 2012 May 4.
10
p63 immunohistochemical staining is limited in soft tissue tumors.p63 免疫组织化学染色在软组织肿瘤中的应用有限。
Am J Clin Pathol. 2011 Nov;136(5):762-6. doi: 10.1309/AJCPXNUC7JZSKWEU.