Suppr超能文献

从构音障碍到破伤风:病例报告与诊断考量

From Dysarthria to Tetanus: Case Report and Diagnostic Considerations.

作者信息

Bilreiro Mariana, Correia Luís Marote

机构信息

Serviço de Medicina Interna, Hospital Central do Funchal, Funchal, Portugal.

出版信息

Eur J Case Rep Intern Med. 2022 Jan 20;9(1):003131. doi: 10.12890/2022_003131. eCollection 2022.

Abstract

INTRODUCTION

Tetanus is a vaccine-preventable disease caused by a neurotoxin produced by that proliferates in wound sites. Toxin interference with neuromuscular function leads to spasms. Trismus, risus sardonicus and opisthotonus are classic features, but tetanus can begin with subtler symptoms.

CASE DESCRIPTION

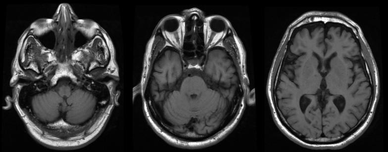
An 80-year-old man presented with dysarthria. His medical history included hypertension and dyslipidaemia. No other neurological compromise was apparent on admission. Cranioencephalic computed tomography suggested pontine and mesencephalic ischaemia and stroke treatment was implemented. Two days later, the patient displayed dysphagia that required nasogastric intubation. The next day, he developed an apparent tonic seizure with respiratory distress refractory to diazepam and phenytoin, which required sedation and invasive mechanical ventilation. Ultimately, he manifested trismus and generalized spasms. Once the diagnosis of tetanus was established, he was given anti-tetanus immunoglobulin, tetanus toxoid vaccine and metronidazole. Magnetic resonance imaging did not reveal any brain injury. During his intensive care stay, he showed cardiovascular instability, developed nosocomial pneumonia, and required prolonged ventilator support and tracheostomy. He gradually improved during a 70-day hospital stay and regained his previous functional status.

DISCUSSION

Dysarthria in an older patient with known cerebrovascular risk factors in addition to possible brainstem ischaemia contributed to an incorrect diagnosis of acute ischaemic stroke. Early manifestations of tetanus can mimic focal deficits. The limitations of brainstem computed tomography should be kept in mind.

CONCLUSION

Older patients present a broader range of signs suggesting tetanus, including a higher frequency of bulbar symptoms, on presentation. A careful anamnesis including previous vaccination history is key for identifying high-risk patients and to widen the differential diagnosis to include tetanus.

LEARNING POINTS

Symptoms of tetanus include bulbar symptoms such as dysphagia and dysarthria in addition to muscle spasms.Older patients, especially if unvaccinated, are a vulnerable group in which a diagnosis of tetanus should be considered.One-slice non-contrast enhanced computed tomography of the brainstem is unreliable given the high frequency of technical artifacts.

摘要

引言

破伤风是一种可通过疫苗预防的疾病,由伤口部位增殖的破伤风杆菌产生的神经毒素引起。毒素干扰神经肌肉功能会导致痉挛。牙关紧闭、苦笑面容和角弓反张是其典型特征,但破伤风也可能以较隐匿的症状开始。

病例描述

一名80岁男性因构音障碍就诊。他的病史包括高血压和血脂异常。入院时未发现其他神经功能损害。头颅计算机断层扫描提示脑桥和中脑缺血,遂实施了中风治疗。两天后,患者出现吞咽困难,需要鼻胃管插管。次日,他出现明显的强直性惊厥,伴有呼吸窘迫,地西泮和苯妥英钠治疗无效,需要镇静和有创机械通气。最终,他出现牙关紧闭和全身痉挛。破伤风诊断确立后,给他注射了破伤风抗毒素免疫球蛋白、破伤风类毒素疫苗和甲硝唑。磁共振成像未显示任何脑损伤。在重症监护期间,他出现心血管不稳定,发生医院获得性肺炎,需要长时间呼吸机支持和气管切开术。在住院70天期间,他逐渐好转,恢复到之前的功能状态。

讨论

除了可能的脑干缺血外,老年患者伴有已知脑血管危险因素且出现构音障碍,导致对急性缺血性中风的误诊。破伤风的早期表现可能类似局灶性缺损。应牢记脑干计算机断层扫描的局限性。

结论

老年患者出现破伤风的体征范围更广,包括球部症状的发生率更高。仔细询问病史,包括既往疫苗接种史,对于识别高危患者并扩大鉴别诊断范围以包括破伤风至关重要。

学习要点

破伤风的症状除肌肉痉挛外,还包括球部症状,如吞咽困难和构音障碍。老年患者,尤其是未接种疫苗的患者,是应考虑破伤风诊断的弱势群体。鉴于技术伪影的高发生率,脑干的单层非增强计算机断层扫描不可靠。

https://cdn.ncbi.nlm.nih.gov/pmc/blobs/5e05/8833300/fc8064643310/3131_Fig1.jpg

文献检索

告别复杂PubMed语法,用中文像聊天一样搜索,搜遍4000万医学文献。AI智能推荐,让科研检索更轻松。

立即免费搜索

文件翻译

保留排版,准确专业,支持PDF/Word/PPT等文件格式,支持 12+语言互译。

免费翻译文档

深度研究

AI帮你快速写综述,25分钟生成高质量综述,智能提取关键信息,辅助科研写作。

立即免费体验