• 文献检索
  • 文档翻译
  • 深度研究
  • 学术资讯
  • Suppr Zotero 插件Zotero 插件
  • 邀请有礼
  • 套餐&价格
  • 历史记录
应用&插件
Suppr Zotero 插件Zotero 插件浏览器插件Mac 客户端Windows 客户端微信小程序
定价
高级版会员购买积分包购买API积分包
服务
文献检索文档翻译深度研究API 文档MCP 服务
关于我们
关于 Suppr公司介绍联系我们用户协议隐私条款
关注我们

Suppr 超能文献

核心技术专利:CN118964589B侵权必究
粤ICP备2023148730 号-1Suppr @ 2026

文献检索

告别复杂PubMed语法,用中文像聊天一样搜索,搜遍4000万医学文献。AI智能推荐,让科研检索更轻松。

立即免费搜索

文件翻译

保留排版,准确专业,支持PDF/Word/PPT等文件格式,支持 12+语言互译。

免费翻译文档

深度研究

AI帮你快速写综述,25分钟生成高质量综述,智能提取关键信息,辅助科研写作。

立即免费体验

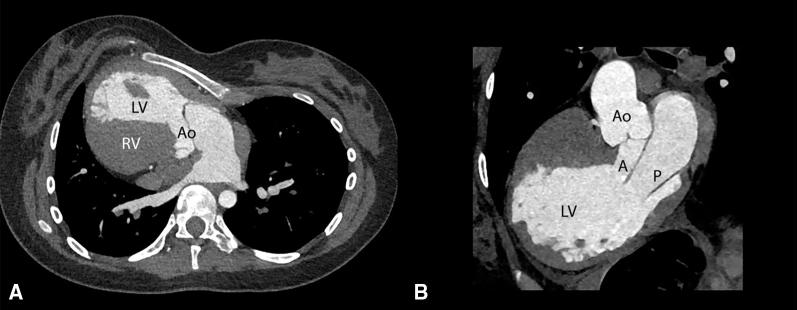
Robotic mitral valve repair in a patient with cardiac dextroversion.

作者信息

Bourdillon Alexandra, Elder Robert, Lalonde Michael, Steele Jeremy, Gruber Peter J, Geirsson Arnar

机构信息

Yale School of Medicine, New Haven, Conn.

Section of Pediatric Cardiology, Department of Pediatrics, Yale School of Medicine, New Haven, Conn.

出版信息

JTCVS Tech. 2021 Oct 23;11:12-16. doi: 10.1016/j.xjtc.2021.10.031. eCollection 2022 Feb.

DOI:10.1016/j.xjtc.2021.10.031
PMID:35169722
原文链接:https://pmc.ncbi.nlm.nih.gov/articles/PMC8828793/
Abstract
摘要
https://cdn.ncbi.nlm.nih.gov/pmc/blobs/a1e6/8828793/a7996cdda37f/fx4.jpg
https://cdn.ncbi.nlm.nih.gov/pmc/blobs/a1e6/8828793/791ac6f3e3c8/fx1.jpg
https://cdn.ncbi.nlm.nih.gov/pmc/blobs/a1e6/8828793/af1eba161514/gr1.jpg
https://cdn.ncbi.nlm.nih.gov/pmc/blobs/a1e6/8828793/e0ce4c2bc9ff/gr2.jpg
https://cdn.ncbi.nlm.nih.gov/pmc/blobs/a1e6/8828793/7692c8b46ad7/fx3.jpg
https://cdn.ncbi.nlm.nih.gov/pmc/blobs/a1e6/8828793/a7996cdda37f/fx4.jpg
https://cdn.ncbi.nlm.nih.gov/pmc/blobs/a1e6/8828793/791ac6f3e3c8/fx1.jpg
https://cdn.ncbi.nlm.nih.gov/pmc/blobs/a1e6/8828793/af1eba161514/gr1.jpg
https://cdn.ncbi.nlm.nih.gov/pmc/blobs/a1e6/8828793/e0ce4c2bc9ff/gr2.jpg
https://cdn.ncbi.nlm.nih.gov/pmc/blobs/a1e6/8828793/7692c8b46ad7/fx3.jpg
https://cdn.ncbi.nlm.nih.gov/pmc/blobs/a1e6/8828793/a7996cdda37f/fx4.jpg

相似文献

1
Robotic mitral valve repair in a patient with cardiac dextroversion.心脏右旋患者的机器人二尖瓣修复术。
JTCVS Tech. 2021 Oct 23;11:12-16. doi: 10.1016/j.xjtc.2021.10.031. eCollection 2022 Feb.
2
Robotic mitral valve repair.机器人二尖瓣修复术
J Cardiovasc Nurs. 2015 Jul-Aug;30(4):325-31. doi: 10.1097/JCN.0000000000000157.
3
Totally endoscopic mitral valve repair without robotic assistance: A case report.完全内镜下无机器人辅助二尖瓣修复术:一例报告。
Int J Surg Case Rep. 2020;75:162-165. doi: 10.1016/j.ijscr.2020.09.042. Epub 2020 Sep 11.
4
Commentary: Pushing the limits: Robotic mitral valve surgery in cardiac dextroversion.评论:挑战极限:心脏右旋时的机器人二尖瓣手术
JTCVS Tech. 2021 Nov 5;11:17-18. doi: 10.1016/j.xjtc.2021.11.003. eCollection 2022 Feb.
5
Benefits of robotically-assisted surgery for complex mitral valve repair.机器人辅助手术在复杂二尖瓣修复中的优势。
Interact Cardiovasc Thorac Surg. 2021 Apr 8;32(3):417-425. doi: 10.1093/icvts/ivaa271.
6
Early experience with robotic mitral valve repair with intra-aortic occlusion.机器人二尖瓣修复术中主动脉内阻断的早期经验。
J Thorac Cardiovasc Surg. 2018 Apr;155(4):1463-1471. doi: 10.1016/j.jtcvs.2017.10.076. Epub 2017 Dec 6.
7
A population-based analysis of robotic-assisted mitral valve repair.基于人群的机器人辅助二尖瓣修复分析。
Ann Thorac Surg. 2015 May;99(5):1546-53. doi: 10.1016/j.athoracsur.2014.12.043. Epub 2015 Mar 7.
8
Robotic Septal Myectomy Without Anterior Leaflet Incision during Mitral Valve Repair.二尖瓣修复术中不切开前叶的机器人室间隔肌切除术。
Innovations (Phila). 2019 Jun;14(3):281-285. doi: 10.1177/1556984519841292. Epub 2019 May 3.
9
Concomitant robotic mitral and tricuspid valve repair: technique and early experience.同期机器人二尖瓣和三尖瓣修复术:技术与早期经验。
Ann Thorac Surg. 2014 Mar;97(3):782-7. doi: 10.1016/j.athoracsur.2013.09.049. Epub 2013 Nov 20.
10
Robotic mitral valve surgery-current status and future directions.机器人二尖瓣手术:现状与未来方向。
Ann Cardiothorac Surg. 2013 Nov;2(6):814-7. doi: 10.3978/j.issn.2225-319X.2013.10.04.

引用本文的文献

1
Two hundred robotic mitral valve repair procedures for degenerative mitral regurgitation: the Yale experience.200例用于退行性二尖瓣反流的机器人二尖瓣修复手术:耶鲁大学的经验。
Ann Cardiothorac Surg. 2022 Sep;11(5):525-532. doi: 10.21037/acs-2022-rmvs-73.
2
Commentary: Leading from the back.评论:幕后引领。
JTCVS Tech. 2022 Jan 11;11:19-20. doi: 10.1016/j.xjtc.2021.12.001. eCollection 2022 Feb.
3
Commentary: Pushing the limits: Robotic mitral valve surgery in cardiac dextroversion.评论:挑战极限:心脏右旋时的机器人二尖瓣手术

本文引用的文献

1
Comparison of Morphologic Findings in Patients with Dextrocardia with Situs Solitus vs Situs Inversus: a Retrospective Study.右位心伴正常内脏与内脏反位患者形态学表现的比较:一项回顾性研究。
Pediatr Cardiol. 2019 Feb;40(2):302-309. doi: 10.1007/s00246-018-2007-4. Epub 2018 Oct 17.
2
Dextrocardia in Adults with Congenital Heart Disease.成人先天性心脏病中的右位心
Heart Lung Circ. 2016 Apr;25(4):352-7. doi: 10.1016/j.hlc.2015.09.003. Epub 2015 Oct 9.
3
The imbrication technique: an alternative to the sliding leaflet technique.
JTCVS Tech. 2021 Nov 5;11:17-18. doi: 10.1016/j.xjtc.2021.11.003. eCollection 2022 Feb.
重叠技术:一种替代滑动叶片技术的方法。
Ann Thorac Surg. 2014 Sep;98(3):1124-6. doi: 10.1016/j.athoracsur.2014.01.066.
4
Total endoscopic robotic atrial septal defect repair in a patient with dextrocardia and situs inversus totalis.一名右位心及全内脏转位患者的全内镜机器人房间隔缺损修复术
Interact Cardiovasc Thorac Surg. 2012 Apr;14(4):476-7. doi: 10.1093/icvts/ivr103. Epub 2011 Dec 26.
5
Systematization and embryological and anatomical study of mirror-image dextrocardias, dextroversions, and laevoversions.镜像右位心、右旋和左旋的系统化及胚胎学与解剖学研究。
Br Heart J. 1971 Nov;33(6):841-53. doi: 10.1136/hrt.33.6.841.