Caratti di Lanzacco Lorenzo, Wauters Aurélien
Cardiology Department, Cliniques Universitaires St-Luc, Université Catholique de Louvain, Av. Hippocrate 10, 1200 Brussels, Belgium.
Cardiology Department, Clinique St-Pierre, Avenue Reine Fabiola 9, 1340 Ottignies-Louvain-La-Neuve, Belgium.
Eur Heart J Case Rep. 2022 Feb 7;6(2):ytac054. doi: 10.1093/ehjcr/ytac054. eCollection 2022 Feb.
Cardiac implantable electronic device (CIED)-related infections are associated with severe morbidity and mortality. Few cases have previously documented both lead endocarditis and lead rupture simultaneously.
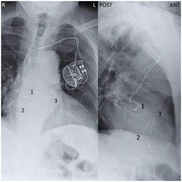
We describe the case of a 73-year-old man with a dual-chamber pacemaker presenting with subacute endocarditis and recurrent cholangitis. A few months prior, the patient was diagnosed with localized colon cancer and lead endocarditis based on nuclear imaging. He was given prolonged antibiotic therapy and lead explantation was to be performed after sigmoidectomy. During the following weeks, his condition worsened and he was readmitted for biliary sepsis. A chest X-ray revealed, incidentally, a complete ventricular lead rupture. Pacemaker electrogram showed ventricular undersensing, loss of ventricular capture, and high impedance. As his health declined, removal of the pacemaker was deemed unreasonable and the patient died of biliary sepsis in the next few weeks.
We describe the case of an asymptomatic intracardiac lead fracture in the setting of colon cancer and a medically managed lead infection. As this complication occurred during lead infection, bacterial damage may have weakened the lead over time. As illustrated by the patient's outcomes, long-term antibiotic therapy should only be used in cases unsuitable for device removal. Complete hardware removal remains the first-line therapy in patients with CIED-related infections.
心脏植入式电子设备(CIED)相关感染与严重的发病率和死亡率相关。此前很少有病例同时记录到导线心内膜炎和导线破裂。
我们描述了一名73岁双腔起搏器患者出现亚急性心内膜炎和复发性胆管炎的病例。几个月前,该患者基于核成像被诊断为局限性结肠癌和导线心内膜炎。他接受了长期抗生素治疗,并计划在乙状结肠切除术后进行导线拔除。在接下来的几周里,他的病情恶化,因胆源性败血症再次入院。胸部X线检查偶然发现心室导线完全破裂。起搏器心电图显示心室感知不足、心室夺获丧失和高阻抗。由于他的健康状况恶化,移除起搏器被认为不合理,患者在接下来的几周内因胆源性败血症死亡。
我们描述了一例在结肠癌背景下无症状的心内导线断裂以及药物治疗导线感染的病例。由于这种并发症发生在导线感染期间,随着时间的推移,细菌损伤可能削弱了导线。从患者的结局可以看出,长期抗生素治疗仅应用于不适合移除设备的病例。完全移除硬件仍然是CIED相关感染患者的一线治疗方法。