Suppr超能文献

三维器官培养系统中大鼠肢芽的全球 DNA 甲基化和软骨生成。

Global DNA methylation and chondrogenesis of rat limb buds in a three-dimensional organ culture system.

机构信息

Center of Excellence in Reproductive and Regenerative Medicine, School of Medicine, Zagreb, Croatia; Hospital for Medical Rehabilitation of the Heart and Lung Diseases and Rheumatism-Thalassotherapia Opatija, Opatija, Croatia.

Department of Medical Biology, School of Medicine, Zagreb, Croatia.

出版信息

Bosn J Basic Med Sci. 2022 Jul 29;22(4):560-568. doi: 10.17305/bjbms.2021.6584.

Abstract

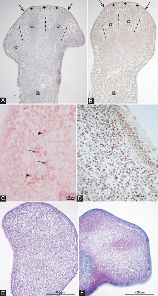
Although DNA methylation epigenetically regulates development, data on global DNA methylation during development of limb buds (LBs) are scarce. We aimed to investigate the global DNA methylation developmental dynamics in rat LBs cultivated in a serum-supplemented (SS) and in chemically defined serum- and protein-free (SF) three-dimensional organ culture. Fischer rat front- and hind-LBs at 13th and 14th gestation days (GD) were cultivated at the air-liquid interface in Eagle's Minimal Essential Medium (MEM) or MEM with 50% rat serum for 14 days, as SF and SS conditions, respectively. The methylation of repetitive DNA sequences (SINE rat ID elements) was assessed by pyrosequencing. Development was evaluated by light microscopy and extracellular matrix glycosaminoglycans staining by Safranin O. Upon isolation, weak Safranin O staining was present only in more developed GD14 front-LBs. Chondrogenesis proceeded well in all cultures towards day 14, except in the SF-cultivated GD13 hind-LBs, where Safranin O staining was almost absent on day 3. That was associated with a higher percentage of DNA methylation than in SF-cultivated GD13 front-LBs on day three. In SF-cultivated front-LBs, a significant methylation increase between the 3rd and 14th day was detected. In SS-cultivated GD13 front-LBs, methylation increased significantly on day three and then decreased. In older GD14 SS-cultivated LBs, there was no increase of DNA methylation, but they were significantly hypomethylated relative to the SS-cultivated GD13 at days 3 and 14. We confirmed that the global DNA methylation increase is associated with less developed limb organ primordia that strive towards differentiation in vitro, which is of importance for regenerative medicine strategies.

摘要

虽然 DNA 甲基化在胚胎发育中具有表观遗传调控作用,但关于肢芽(LB)发育过程中整体 DNA 甲基化的数据还很有限。我们旨在研究在富含血清(SS)和化学成分明确的无血清和无蛋白(SF)三维器官培养中培养的大鼠 LB 中的整体 DNA 甲基化发育动力学。在第 13 天和第 14 天妊娠(GD)的 Fischer 大鼠前肢和后肢 LB 分别在 Eagle's 最小必需培养基(MEM)或 MEM 中与 50%的大鼠血清在空气-液界面上培养 14 天,分别作为 SF 和 SS 条件。通过焦磷酸测序评估重复 DNA 序列(SINE 大鼠 ID 元件)的甲基化。通过光镜评估发育情况,通过番红 O 对细胞外基质糖胺聚糖染色。在分离时,仅在更发达的 GD14 前肢 LB 中存在微弱的番红 O 染色。除了在 SF 培养的 GD13 后肢 LB 中,番红 O 染色在第 3 天几乎不存在,否则所有培养物的软骨生成都在第 14 天之前进行得很好。这与第 3 天 SF 培养的 GD13 前肢 LB 相比,DNA 甲基化的百分比更高有关。在 SF 培养的前肢 LB 中,在第 3 天和第 14 天之间检测到甲基化显著增加。在 SS 培养的 GD13 前肢 LB 中,第 3 天的甲基化显著增加,然后减少。在较老的 GD14 SS 培养的 LB 中,DNA 甲基化没有增加,但与第 3 天和第 14 天的 SS 培养的 GD13 相比,它们的甲基化程度明显降低。我们证实,整体 DNA 甲基化的增加与发育程度较低的肢器官原基有关,这些原基在体外努力分化,这对再生医学策略很重要。

https://cdn.ncbi.nlm.nih.gov/pmc/blobs/348f/9392980/df2f324a1ed4/BJBMS-22-560-g001.jpg

文献AI研究员

20分钟写一篇综述,助力文献阅读效率提升50倍。

立即体验

用中文搜PubMed

大模型驱动的PubMed中文搜索引擎

马上搜索

文档翻译

学术文献翻译模型,支持多种主流文档格式。

立即体验