Suppr超能文献

Upper tract urothelial carcinoma with Oligometastasis to the right ventricle, surgical considerations, and management.

作者信息

Helman Talia A, Imam Ahmad Saeed, Espino-Grosso Pedro, Patel Trushar

机构信息

Department of Urology, University of Central Florida College of Medicine, Orlando, Florida, USA.

Department of Urology, Morsani College of Medicine, University of South Florida, Tampa, Florida, USA.

出版信息

Urol Ann. 2022 Jan-Mar;14(1):89-92. doi: 10.4103/UA.UA_157_20. Epub 2022 Jan 20.

Abstract

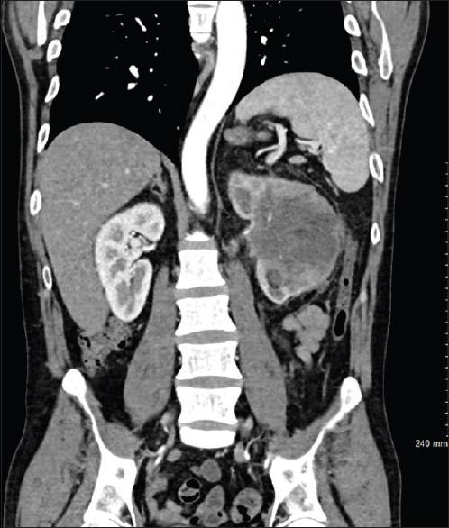
Right ventricular (RV) metastasis from an upper tract urothelial carcinoma without inferior vena cava or right atrial involvement is an extremely rare event which highlights the heterogeneity of this disease process. We report a case of a 43-year-old man presenting for long-standing hematuria and left flank pain. Computed tomography revealed a left renal mass with para-aortic lymphadenopathy, in addition to a potential mass in the RV. The mass involving the RV was confirmed on subsequent cardiac evaluation with magnetic resonance imaging (MRI) and echocardiography. After discussion in a multidisciplinary tumor board, the patient underwent a left nephrectomy, regional lymphadenectomy, and excision of metastatic RV tumor with bovine patch reconstruction. Final pathology reported invasive urothelial carcinoma in the left kidney with involvement of regional para-aortic lymph nodes and metastatic tumor in the RV (T4N3M1, AJCC 8 edition). The patient did well postoperatively and completed adjuvant Cisplatin-Gemcitabine systemic chemotherapy. This is an important addition to the literature as it highlights the aggressive and heterogeneous nature of urothelial carcinoma and the utility of cardiac MRI in surgical planning.

摘要
https://cdn.ncbi.nlm.nih.gov/pmc/blobs/cfd2/8815341/ec047b6facbe/UA-14-89-g001.jpg

文献AI研究员

20分钟写一篇综述,助力文献阅读效率提升50倍。

立即体验

用中文搜PubMed

大模型驱动的PubMed中文搜索引擎

马上搜索

文档翻译

学术文献翻译模型,支持多种主流文档格式。

立即体验