Suppr超能文献

法属圭亚那伴有黏膜累及的卡波西肉瘤:1969 年至 2019 年的流行病学研究。

Kaposi Sarcoma with Mucocutaneous Involvement in French Guiana: An Epidemiological Study between 1969 and 2019.

机构信息

Dermatology Department, Andrée-Rosemon Hospital, Avenue des Flamboyants, 97300 Cayenne, French Guiana.

出版信息

Acta Derm Venereol. 2022 May 10;102:adv00709. doi: 10.2340/actadv.v102.581.

Abstract

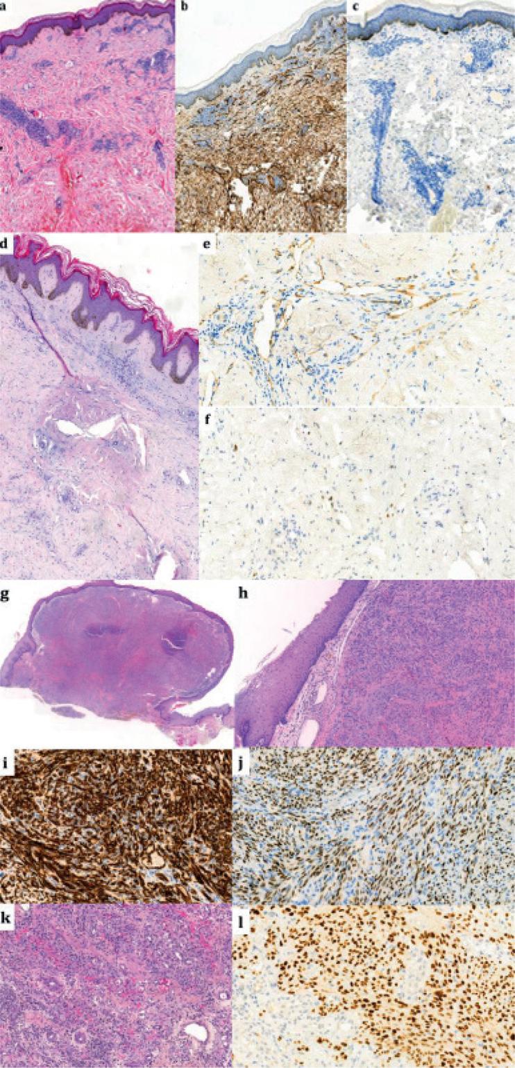
Data on Kaposi sarcoma in French Guiana are scarce and out of date. This territory presents unique epidemiological features. The objectives of this retrospective study were to analyse the clinical features, outcome and incidence of the different forms of Kaposi sarcoma in patients diagnosed between 1969 and 2019. The study population comprised a total of 52 patients. Clinical forms included epidemic Kaposi sarcoma (n=30), endemic (n=18), iatrogenic (n=2), classic (n=1) and unclassified Kaposi sarcoma (n=1). The mean annual incidence rate of epidemic Kaposi reached a peak in the 1990s (0.93/100,000) then decreased in the 2000s (0.33/100,000), while the incidence of endemic Kaposi sarcoma reached a peak in the 1980s (0.82/100,000) before decreasing in the 2000s (0.12/100,000). Factors associated with the epidemic form were: sexual intercourse between men (p=0.0054) and Haitian origin (p=0.035). The presence of nodules and/or tumour, lesions limited to the lower limbs, and age >65 years were associated with the endemic form. While Creole populations seem to be as affected by endemic Kaposi sarcoma as their African counterparts, the dynamics of Kaposi sarcoma in French Guiana are now dominated by the epidemic form.

摘要

法属圭亚那的卡波西肉瘤数据稀缺且过时。该地区具有独特的流行病学特征。本回顾性研究的目的是分析 1969 年至 2019 年间确诊的不同类型卡波西肉瘤患者的临床特征、结局和发病率。研究人群共包括 52 名患者。临床类型包括流行型卡波西肉瘤(n=30)、地方性(n=18)、医源性(n=2)、经典型(n=1)和未分类型卡波西肉瘤(n=1)。流行型卡波西肉瘤的年平均发病率在 20 世纪 90 年代达到高峰(0.93/100,000),随后在 21 世纪 00 年代下降(0.33/100,000),而地方性卡波西肉瘤的发病率在 20 世纪 80 年代达到高峰(0.82/100,000),然后在 21 世纪 00 年代下降(0.12/100,000)。与流行型相关的因素有:男男性行为(p=0.0054)和海地血统(p=0.035)。结节和/或肿瘤、下肢局限的病变以及年龄>65 岁与地方性相关。克里奥尔人群似乎与非洲人群一样易患地方性卡波西肉瘤,但法属圭亚那的卡波西肉瘤动态现在以流行型为主。

https://cdn.ncbi.nlm.nih.gov/pmc/blobs/1051/9631296/83a3f0b31715/ActaDV-102-581-g001.jpg

文献检索

告别复杂PubMed语法,用中文像聊天一样搜索,搜遍4000万医学文献。AI智能推荐,让科研检索更轻松。

立即免费搜索

文件翻译

保留排版,准确专业,支持PDF/Word/PPT等文件格式,支持 12+语言互译。

免费翻译文档

深度研究

AI帮你快速写综述,25分钟生成高质量综述,智能提取关键信息,辅助科研写作。

立即免费体验