• 文献检索
  • 文档翻译
  • 深度研究
  • 学术资讯
  • Suppr Zotero 插件Zotero 插件
  • 邀请有礼
  • 套餐&价格
  • 历史记录
应用&插件
Suppr Zotero 插件Zotero 插件浏览器插件Mac 客户端Windows 客户端微信小程序
定价
高级版会员购买积分包购买API积分包
服务
文献检索文档翻译深度研究API 文档MCP 服务
关于我们
关于 Suppr公司介绍联系我们用户协议隐私条款
关注我们

Suppr 超能文献

核心技术专利:CN118964589B侵权必究
粤ICP备2023148730 号-1Suppr @ 2026

文献检索

告别复杂PubMed语法,用中文像聊天一样搜索,搜遍4000万医学文献。AI智能推荐,让科研检索更轻松。

立即免费搜索

文件翻译

保留排版,准确专业,支持PDF/Word/PPT等文件格式,支持 12+语言互译。

免费翻译文档

深度研究

AI帮你快速写综述,25分钟生成高质量综述,智能提取关键信息,辅助科研写作。

立即免费体验

BMI1 和 MAPK/ERK 抑制剂的联合使用对髓母细胞瘤有效。

Combination of BMI1 and MAPK/ERK inhibitors is effective in medulloblastoma.

机构信息

Blizard Institute, Barts and The London School of Medicine and Dentistry, Queen Mary University of London, London, UK.

UCL Queen Square Institute of Neurology and The National Hospital for Neurology and Neurosurgery, University College London Hospitals NHS Foundation Trust, London, UK.

出版信息

Neuro Oncol. 2022 Aug 1;24(8):1273-1285. doi: 10.1093/neuonc/noac052.

DOI:10.1093/neuonc/noac052
PMID:35213723
原文链接:https://pmc.ncbi.nlm.nih.gov/articles/PMC9340634/
Abstract

BACKGROUND

Epigenetic changes play a key role in the pathogenesis of medulloblastoma (MB), the most common malignant pediatric brain tumor.

METHODS

We explore the therapeutic potential of BMI1 and MAPK/ERK inhibition in BMI1High;CHD7Low MB cells and in a preclinical xenograft model.

RESULTS

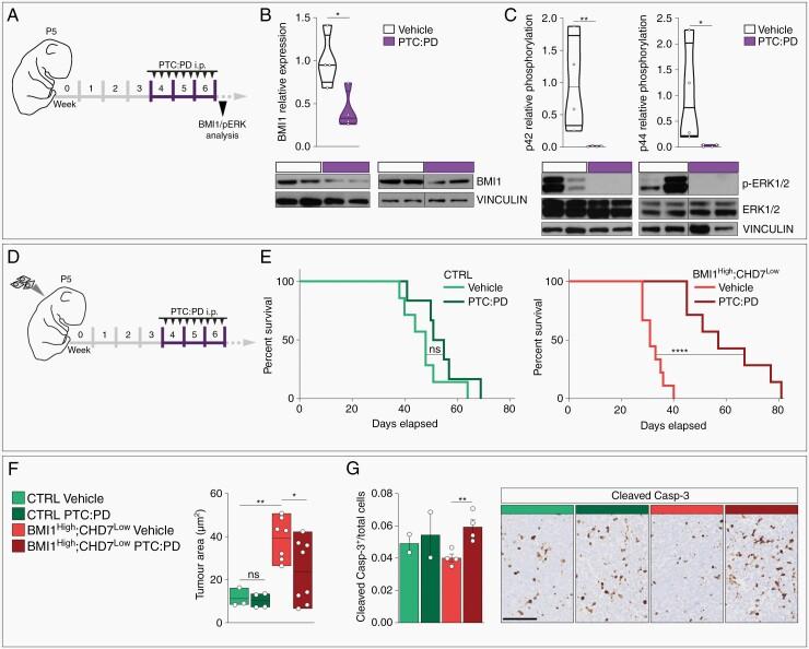
We identify a synergistic vulnerability of BMI1High;CHD7Low MB cells to a combination treatment with BMI1 and MAPK/ERK inhibitors. Mechanistically, CHD7-dependent binding of BMI1 to MAPK-regulated genes underpins the CHD7-BMI1-MAPK regulatory axis responsible of the antitumour effect of the inhibitors in vitro and in a preclinical mouse model. Increased ERK1 and ERK2 phosphorylation activity is found in BMI1High;CHD7Low G4 MB patients, raising the possibility that they could be amenable to a similar therapy.

CONCLUSIONS

The molecular dissection of the CHD7-BMI1-MAPK regulatory axis in BMI1High;CHD7Low MB identifies this signature as a proxy to predict MAPK functional activation, which can be effectively drugged in preclinical models, and paves the way for further exploration of combined BMI1 and MAPK targeting in G4 MB patients.

摘要

背景

表观遗传变化在成神经管细胞瘤(MB)的发病机制中起着关键作用,MB 是最常见的儿童脑部恶性肿瘤。

方法

我们探索了 BMI1 和 MAPK/ERK 抑制在 BMI1High;CHD7Low MB 细胞中的治疗潜力,并在临床前异种移植模型中进行了研究。

结果

我们发现 BMI1High;CHD7Low MB 细胞对 BMI1 和 MAPK/ERK 抑制剂联合治疗具有协同的脆弱性。从机制上讲,BMI1 与 MAPK 调节基因的 CHD7 依赖性结合为 CHD7-BMI1-MAPK 调节轴奠定了基础,该调节轴负责抑制剂在体外和临床前小鼠模型中的抗肿瘤作用。在 BMI1High;CHD7Low G4 MB 患者中发现 ERK1 和 ERK2 磷酸化活性增加,这表明他们可能适合接受类似的治疗。

结论

对 BMI1High;CHD7Low MB 中 CHD7-BMI1-MAPK 调节轴的分子剖析将该特征确定为预测 MAPK 功能激活的替代物,该替代物可在临床前模型中有效靶向,为进一步探索 G4 MB 患者中 BMI1 和 MAPK 联合靶向治疗铺平了道路。

https://cdn.ncbi.nlm.nih.gov/pmc/blobs/7bd8/9340634/b62109979ca6/noac052f0006.jpg
https://cdn.ncbi.nlm.nih.gov/pmc/blobs/7bd8/9340634/25b9930d50a5/noac052f0001.jpg
https://cdn.ncbi.nlm.nih.gov/pmc/blobs/7bd8/9340634/035564d7f988/noac052f0002.jpg
https://cdn.ncbi.nlm.nih.gov/pmc/blobs/7bd8/9340634/b13865321617/noac052f0003.jpg
https://cdn.ncbi.nlm.nih.gov/pmc/blobs/7bd8/9340634/f2e646bf58de/noac052f0004.jpg
https://cdn.ncbi.nlm.nih.gov/pmc/blobs/7bd8/9340634/616cdbf942f3/noac052f0005.jpg
https://cdn.ncbi.nlm.nih.gov/pmc/blobs/7bd8/9340634/b62109979ca6/noac052f0006.jpg
https://cdn.ncbi.nlm.nih.gov/pmc/blobs/7bd8/9340634/25b9930d50a5/noac052f0001.jpg
https://cdn.ncbi.nlm.nih.gov/pmc/blobs/7bd8/9340634/035564d7f988/noac052f0002.jpg
https://cdn.ncbi.nlm.nih.gov/pmc/blobs/7bd8/9340634/b13865321617/noac052f0003.jpg
https://cdn.ncbi.nlm.nih.gov/pmc/blobs/7bd8/9340634/f2e646bf58de/noac052f0004.jpg
https://cdn.ncbi.nlm.nih.gov/pmc/blobs/7bd8/9340634/616cdbf942f3/noac052f0005.jpg
https://cdn.ncbi.nlm.nih.gov/pmc/blobs/7bd8/9340634/b62109979ca6/noac052f0006.jpg

相似文献

1
Combination of BMI1 and MAPK/ERK inhibitors is effective in medulloblastoma.BMI1 和 MAPK/ERK 抑制剂的联合使用对髓母细胞瘤有效。
Neuro Oncol. 2022 Aug 1;24(8):1273-1285. doi: 10.1093/neuonc/noac052.
2
Convergence of BMI1 and CHD7 on ERK Signaling in Medulloblastoma.BMI1 和 CHD7 在髓母细胞瘤中共同作用于 ERK 信号通路。
Cell Rep. 2017 Dec 5;21(10):2772-2784. doi: 10.1016/j.celrep.2017.11.021.
3
Polycomb group gene BMI1 controls invasion of medulloblastoma cells and inhibits BMP-regulated cell adhesion.多梳抑制复合物基因 BMI1 控制着髓母细胞瘤细胞的侵袭,并抑制 BMP 调节的细胞黏附。
Acta Neuropathol Commun. 2014 Jan 24;2:10. doi: 10.1186/2051-5960-2-10.
4
HDAC and MAPK/ERK Inhibitors Cooperate To Reduce Viability and Stemness in Medulloblastoma.组蛋白去乙酰化酶和 MAPK/ERK 抑制剂协同作用降低髓母细胞瘤的活力和干性。
J Mol Neurosci. 2020 Jun;70(6):981-992. doi: 10.1007/s12031-020-01505-y. Epub 2020 Feb 13.
5
Inositol treatment inhibits medulloblastoma through suppression of epigenetic-driven metabolic adaptation.肌醇治疗通过抑制表观遗传驱动的代谢适应来抑制成神经管细胞瘤。
Nat Commun. 2021 Apr 12;12(1):2148. doi: 10.1038/s41467-021-22379-7.
6
BMI1 is a therapeutic target in recurrent medulloblastoma.BMI1 是复发性髓母细胞瘤的治疗靶点。
Oncogene. 2019 Mar;38(10):1702-1716. doi: 10.1038/s41388-018-0549-9. Epub 2018 Oct 22.
7
Bmi1 overexpression in the cerebellar granule cell lineage of mice affects cell proliferation and survival without initiating medulloblastoma formation.在小鼠小脑颗粒细胞谱系中过表达 Bmi1 不会引发成神经管细胞瘤形成,但会影响细胞增殖和存活。
Dis Model Mech. 2013 Jan;6(1):49-63. doi: 10.1242/dmm.009506. Epub 2012 Oct 12.
8
FoxG1 interacts with Bmi1 to regulate self-renewal and tumorigenicity of medulloblastoma stem cells.FoxG1 与 Bmi1 相互作用,调节成神经管细胞瘤干细胞的自我更新和致瘤性。
Stem Cells. 2013 Jul;31(7):1266-77. doi: 10.1002/stem.1401.
9
Sonic hedgehog regulates Bmi1 in human medulloblastoma brain tumor-initiating cells.声波刺猬调控人髓母细胞瘤起始细胞中的 Bmi1。
Oncogene. 2012 Jan 12;31(2):187-99. doi: 10.1038/onc.2011.232. Epub 2011 Jun 20.
10
Bmi1 is essential for cerebellar development and is overexpressed in human medulloblastomas.Bmi1对小脑发育至关重要,且在人类髓母细胞瘤中过表达。
Nature. 2004 Mar 18;428(6980):337-41. doi: 10.1038/nature02385.

引用本文的文献

1
AIBP promotes cell proliferation and migration through the ERK1/2-MAPK signaling pathway in hepatocellular carcinoma.AIBP通过ERK1/2-MAPK信号通路促进肝癌细胞的增殖和迁移。
Transl Cancer Res. 2024 Aug 31;13(8):4028-4041. doi: 10.21037/tcr-23-2101. Epub 2024 Aug 19.
2
High-throughput neural stem cell-based drug screening identifies S6K1 inhibition as a selective vulnerability in sonic hedgehog-medulloblastoma.高通量神经干细胞为基础的药物筛选确定 S6K1 抑制为 sonic hedgehog 调控的髓母细胞瘤的选择性脆弱性。
Neuro Oncol. 2024 Sep 5;26(9):1685-1699. doi: 10.1093/neuonc/noae104.
3
Lineage specification in glioblastoma is regulated by METTL7B.

本文引用的文献

1
Epigenetic mechanisms in paediatric brain tumours: regulators lose control.小儿脑肿瘤中的表观遗传学机制:调控因子失控。
Biochem Soc Trans. 2022 Feb 28;50(1):167-185. doi: 10.1042/BST20201227.
2
Inositol treatment inhibits medulloblastoma through suppression of epigenetic-driven metabolic adaptation.肌醇治疗通过抑制表观遗传驱动的代谢适应来抑制成神经管细胞瘤。
Nat Commun. 2021 Apr 12;12(1):2148. doi: 10.1038/s41467-021-22379-7.
3
BMI1-Inhibitor PTC596 in Combination with MCL1 Inhibitor S63845 or MEK Inhibitor Trametinib in the Treatment of Acute Leukemia.
胶质母细胞瘤中的谱系特化由 METTL7B 调控。
Cell Rep. 2024 Jun 25;43(6):114309. doi: 10.1016/j.celrep.2024.114309. Epub 2024 Jun 5.
4
CHARGE syndrome-associated CHD7 acts at ISL1-regulated enhancers to modulate second heart field gene expression.CHARGE 综合征相关 CHD7 通过 ISL1 调节增强子调控第二心区基因表达。
Cardiovasc Res. 2023 Sep 5;119(11):2089-2105. doi: 10.1093/cvr/cvad059.
5
Oxidative stress in intervertebral disc degeneration: Molecular mechanisms, pathogenesis and treatment.椎间盘退变中的氧化应激:分子机制、发病机制与治疗。
Cell Prolif. 2023 Sep;56(9):e13448. doi: 10.1111/cpr.13448. Epub 2023 Mar 13.
6
Drugging Hijacked Kinase Pathways in Pediatric Oncology: Opportunities and Current Scenario.靶向小儿肿瘤学中被劫持的激酶信号通路:机遇与现状
Pharmaceutics. 2023 Feb 16;15(2):664. doi: 10.3390/pharmaceutics15020664.
7
Kinesin family member 3A induces related diseases via wingless-related integration site/β-catenin signaling pathway.驱动蛋白家族成员 3A 通过 Wnt/β-连环蛋白信号通路诱导相关疾病。
Sci Prog. 2023 Jan-Mar;106(1):368504221148340. doi: 10.1177/00368504221148340.
8
Epigenetic Mechanisms Underlying Melanoma Resistance to Immune and Targeted Therapies.黑色素瘤对免疫疗法和靶向疗法耐药的表观遗传机制
Cancers (Basel). 2022 Nov 28;14(23):5858. doi: 10.3390/cancers14235858.
BMI1抑制剂PTC596联合MCL1抑制剂S63845或MEK抑制剂曲美替尼治疗急性白血病
Cancers (Basel). 2021 Feb 2;13(3):581. doi: 10.3390/cancers13030581.
4
Epigenetic regulator BMI1 promotes alveolar rhabdomyosarcoma proliferation and constitutes a novel therapeutic target.表观遗传调节因子 BMI1 促进肺泡横纹肌肉瘤增殖,是一个新的治疗靶点。
Mol Oncol. 2021 Aug;15(8):2156-2171. doi: 10.1002/1878-0261.12914. Epub 2021 Mar 27.
5
Integrated Proteogenomic Characterization across Major Histological Types of Pediatric Brain Cancer.小儿脑癌主要组织学类型的综合蛋白质基因组学特征分析
Cell. 2020 Dec 23;183(7):1962-1985.e31. doi: 10.1016/j.cell.2020.10.044. Epub 2020 Nov 25.
6
Epigenetic regulation in human cancer: the potential role of epi-drug in cancer therapy.人类癌症中的表观遗传调控:表型药物在癌症治疗中的潜在作用。
Mol Cancer. 2020 Apr 27;19(1):79. doi: 10.1186/s12943-020-01197-3.
7
Targeting MAPK Signaling in Cancer: Mechanisms of Drug Resistance and Sensitivity.靶向癌症中的 MAPK 信号通路:药物耐药性和敏感性的机制。
Int J Mol Sci. 2020 Feb 7;21(3):1102. doi: 10.3390/ijms21031102.
8
Polycomb-mediated repression of EphrinA5 promotes growth and invasion of glioblastoma.多梳抑制因子介导的 EphrinA5 抑制促进胶质母细胞瘤的生长和侵袭。
Oncogene. 2020 Mar;39(12):2523-2538. doi: 10.1038/s41388-020-1161-3. Epub 2020 Jan 27.
9
NPI-0052 and γ-radiation induce a synergistic apoptotic effect in medulloblastoma.NPI-0052 和 γ 射线在髓母细胞瘤中诱导协同的凋亡作用。
Cell Death Dis. 2019 Oct 16;10(11):785. doi: 10.1038/s41419-019-2026-y.
10
BMI1 is a therapeutic target in recurrent medulloblastoma.BMI1 是复发性髓母细胞瘤的治疗靶点。
Oncogene. 2019 Mar;38(10):1702-1716. doi: 10.1038/s41388-018-0549-9. Epub 2018 Oct 22.