Suppr超能文献

一只比格犬患有脑穿通畸形并伴有视觉器官异常。

Porencephaly with an optic organ abnormality in a beagle dog.

作者信息

Hashiguchi Osamu, Yamaguchi Yuko, Ikezaki Shinichiro, Saito Tsubasa, Igura Saori, Hirai Ryo, Horiuchi Naomi, Tamura Kazutoshi

机构信息

Pathology Division, Gotemba Laboratories, BoZo Research Center Inc., 1284 Kamado, Gotemba-shi, Shizuoka 412-0039, Japan.

Research Division, Kannami Laboratories, BoZo Research Center Inc., 1308-125 Kuwahara-Sanbonmatsu, Kannami-cho, Tagata-gun, Shizuoka 419-0101, Japan.

出版信息

J Toxicol Pathol. 2022 Jan;35(1):107-111. doi: 10.1293/tox.2021-0039. Epub 2021 Oct 25.

Abstract

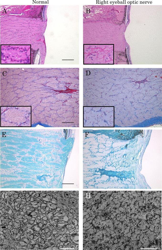
A female TOYO beagle dog showed porencephaly and visual organ abnormalities. At necropsy, there was a cavity filled with cerebrospinal fluid in the right cerebral hemisphere and an adhesion area between the cerebral cortex and the skull, which was partially thickened. Additionally, the right optic nerve showed a slight decrease in diameter. Histopathological examination revealed increased glial fibers and collagen fibers, hemosiderin deposition, and an increased number of microglia in the adhesion area, along with a marked reduction of the cerebral parenchyma. In the right eyeball, the retina and optic nerve showed focal atrophy in the nerve fiber layer and inner granular layer to full retinal atrophy and hypoplasia of the myelinated nerve fibers, respectively. Electron microscopic examination revealed hypoplasia of the myelin sheath of nerve fibers in the right optic nerve. This is an extremely rare case of porencephaly and congenital optic nerve hypoplasia, along with independent retinal thinning.

摘要

一只雌性东洋小猎犬出现了脑穿通畸形和视觉器官异常。尸检时,右侧大脑半球有一个充满脑脊液的腔隙,大脑皮质与颅骨之间有粘连区域,该区域部分增厚。此外,右侧视神经直径略有减小。组织病理学检查显示,粘连区域胶质纤维和胶原纤维增多、含铁血黄素沉积、小胶质细胞数量增加,同时脑实质明显减少。在右侧眼球,视网膜和视神经分别在神经纤维层和内颗粒层出现局灶性萎缩,直至整个视网膜萎缩以及有髓神经纤维发育不全。电子显微镜检查显示右侧视神经神经纤维髓鞘发育不全。这是一例极为罕见的脑穿通畸形、先天性视神经发育不全以及独立视网膜变薄的病例。

https://cdn.ncbi.nlm.nih.gov/pmc/blobs/a7ae/8828607/752197d65bfe/tox-35-107-g001.jpg

相似文献

1
Porencephaly with an optic organ abnormality in a beagle dog.
J Toxicol Pathol. 2022 Jan;35(1):107-111. doi: 10.1293/tox.2021-0039. Epub 2021 Oct 25.
2
The effect of in ovo ethanol exposure on retina and optic nerve in a chick embryo model system.
Reprod Toxicol. 2007 Jan;23(1):75-82. doi: 10.1016/j.reprotox.2006.09.006. Epub 2006 Sep 30.
3
Myelinated retinal nerve fibers.
Am J Ophthalmol. 1981 Jan;91(1):25-38. doi: 10.1016/0002-9394(81)90345-7.
4
Quantitative studies of the optic nerve fiber layer in the chicken retina.
J Vet Med Sci. 1999 Aug;61(8):883-9. doi: 10.1292/jvms.61.883.
5
Unilateral optical nerve hypoplasia in a Beagle dog.
Lab Anim. 2008 Jul;42(3):383-8. doi: 10.1258/la.2007.007033.
8
Growth-related order of the retinal fiber layer in goldfish.
J Neurosci. 1984 Aug;4(8):2173-90. doi: 10.1523/JNEUROSCI.04-08-02173.1984.
10
Bilateral optic nerve hypoplasia in a pup.
J Am Vet Med Assoc. 1976 Jan 15;168(2):125-8.

引用本文的文献

1
Are postnatal traumatic events an underestimated cause of porencephalic lesions in dogs and cats?
Front Vet Sci. 2023 Dec 6;10:1302399. doi: 10.3389/fvets.2023.1302399. eCollection 2023.

本文引用的文献

1
Akabane virus infection.
Rev Sci Tech. 2015 Aug;34(2):403-10. doi: 10.20506/rst.34.2.2366.
2
High-Resolution Imaging of the Optic Nerve and Retina in Optic Nerve Hypoplasia.
Ophthalmology. 2015 Jul;122(7):1330-9. doi: 10.1016/j.ophtha.2015.03.020. Epub 2015 May 1.
3
Porencephaly in dogs and cats: relationships between magnetic resonance imaging (MRI) features and hippocampal atrophy.
J Vet Med Sci. 2015 Jul;77(7):889-92. doi: 10.1292/jvms.14-0359. Epub 2015 Mar 16.
4
Canine pediatric dentistry.
Vet Clin North Am Small Anim Pract. 2014 Mar;44(2):303-24. doi: 10.1016/j.cvsm.2013.11.004. Epub 2013 Dec 27.
5
Optic nerve hypoplasia.
Oman J Ophthalmol. 2013 May;6(2):77-82. doi: 10.4103/0974-620X.116622.
6
Porencephaly and cortical dysplasia as cause of seizures in a dog.
BMC Vet Res. 2012 Dec 27;8:246. doi: 10.1186/1746-6148-8-246.
7
Schmallenberg virus in calf born at term with porencephaly, Belgium.
Emerg Infect Dis. 2012 Jun;18(6):1005-6. doi: 10.3201/eid1806.120104.
8
Porencephaly in a cynomolgus monkey ( macaca fascicularis ).
J Toxicol Pathol. 2012 Mar;25(1):45-9. doi: 10.1293/tox.25.45.
9
COL4A2 mutation associated with familial porencephaly and small-vessel disease.
Eur J Hum Genet. 2012 Aug;20(8):844-51. doi: 10.1038/ejhg.2012.20. Epub 2012 Feb 15.
10
Porencephaly and hydranencephaly in six dogs.
Vet Rec. 2012 Feb;170(7):179. doi: 10.1136/vr.100109. Epub 2011 Dec 20.

文献AI研究员

20分钟写一篇综述,助力文献阅读效率提升50倍。

立即体验

用中文搜PubMed

大模型驱动的PubMed中文搜索引擎

马上搜索

文档翻译

学术文献翻译模型,支持多种主流文档格式。

立即体验