Suppr超能文献

用于识别高度可疑肺结节的人工智能辅助诊断软件

Artificial Intelligence-Aided Diagnosis Software to Identify Highly Suspicious Pulmonary Nodules.

作者信息

Lv Jun, Li Jianhui, Liu Yanzhen, Zhang Hong, Luo Xiangfeng, Ren Min, Gao Yufan, Ma Yanhe, Liang Shuo, Yang Yapeng, Song Zhenchun, Gao Guangming, Gao Guozheng, Jiang Yusheng, Li Ximing

机构信息

Medical Radiology Department, Tianjin Chest Hospital, Tianjin, China.

LinkDoc Technology, Beijing, China.

出版信息

Front Oncol. 2022 Feb 15;11:749219. doi: 10.3389/fonc.2021.749219. eCollection 2021.

Abstract

INTRODUCTION

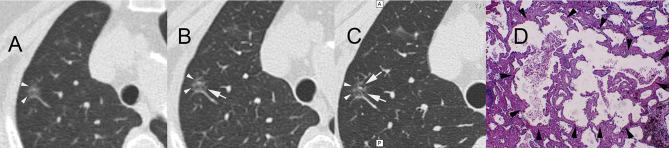
To evaluate the value of artificial intelligence (AI)-assisted software in the diagnosis of lung nodules using a combination of low-dose computed tomography (LDCT) and high-resolution computed tomography (HRCT).

METHOD

A total of 113 patients with pulmonary nodules were screened using LDCT. For nodules with the largest diameters, an HRCT local-target scanning program (combined scanning scheme) and a conventional-dose CT scanning scheme were also performed. Lung nodules were subjectively assessed for image signs and compared by size and malignancy rate measured by AI-assisted software. The nodules were divided into improved visibility and identical visibility groups based on differences in the number of signs identified through the two schemes.

RESULTS

The nodule volume and malignancy probability for subsolid nodules significantly differed between the improved and identical visibility groups. For the combined scanning protocol, we observed significant between-group differences in subsolid nodule malignancy rates.

CONCLUSION

Under the operation and decision of AI, the combined scanning scheme may be beneficial for screening high-risk populations.

摘要

引言

使用低剂量计算机断层扫描(LDCT)和高分辨率计算机断层扫描(HRCT)相结合的方法,评估人工智能(AI)辅助软件在肺结节诊断中的价值。

方法

使用LDCT对113例肺结节患者进行筛查。对于最大直径的结节,还执行了HRCT局部靶扫描程序(联合扫描方案)和常规剂量CT扫描方案。对肺结节的图像征象进行主观评估,并通过AI辅助软件测量的大小和恶性率进行比较。根据两种方案识别出的征象数量差异,将结节分为可见性改善组和可见性相同组。

结果

实性结节的结节体积和恶性概率在可见性改善组和可见性相同组之间存在显著差异。对于联合扫描方案,我们观察到实性结节恶性率在组间存在显著差异。

结论

在AI的操作和决策下,联合扫描方案可能有利于筛查高危人群。

https://cdn.ncbi.nlm.nih.gov/pmc/blobs/830e/8886673/6184e7d8ecb4/fonc-11-749219-g001.jpg

文献AI研究员

20分钟写一篇综述,助力文献阅读效率提升50倍。

立即体验

用中文搜PubMed

大模型驱动的PubMed中文搜索引擎

马上搜索

文档翻译

学术文献翻译模型,支持多种主流文档格式。

立即体验