Department of Ophthalmology, University of Florida College of Medicine, Gainesville, FL, USA.
Department of Ophthalmology, Seattle Children's Hospital, University of Washington, Seattle, WA, USA.
BMC Ophthalmol. 2022 Mar 4;22(1):100. doi: 10.1186/s12886-022-02298-x.
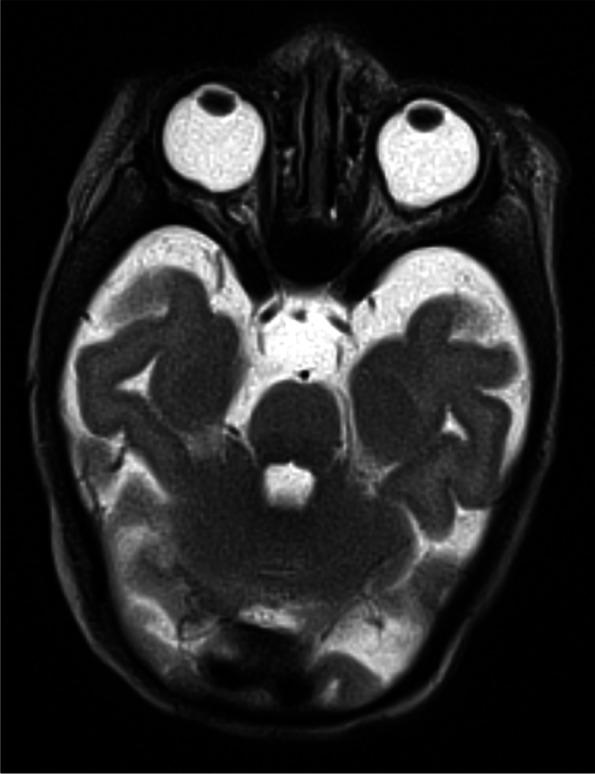
CHARGE syndrome is a relatively common cause of deafness and blindness resulting from failure to form the primordia of specific organs due to deficient contribution of neural crest cell derivatives. The majority of CHARGE syndrome cases are caused by heterozygous mutations in CHD7 on chromosome 8q21. Those with CHARGE syndrome without CHD7 mutation typically do not have an identified genetic defect. 7q11.23 duplication syndrome is associated with mild facial dysmorphism, heart defects, language delay, and autism spectrum disorder. In the current literature, 7q11.23 duplication has not been associated with CHARGE syndrome, retinochoroidal colobomas, or significant ear abnormalities.
We describe a patient with 7q11.23 duplication syndrome and clinical CHARGE syndrome with no variant in CHARGE-associated genes.
This case highlights the still incomplete understanding of the pathogenesis of CHARGE syndrome and raises the possibility of a dose-sensitive effect of genes in the 7q11.23 critical region on neural crest differentiation and fate.
CHARGE 综合征是一种较为常见的耳聋和失明疾病,其病因是由于神经嵴细胞衍生物的不足导致特定器官原基未能形成。大多数 CHARGE 综合征病例是由 8q21 染色体上 CHD7 的杂合突变引起的。而无 CHD7 突变的 CHARGE 综合征患者通常没有明确的遗传缺陷。7q11.23 重复综合征与轻度面畸形、心脏缺陷、语言延迟和自闭症谱系障碍有关。在目前的文献中,7q11.23 重复与 CHARGE 综合征、视网膜脉络膜裂孔或显著的耳部异常无关。
我们描述了一例 7q11.23 重复综合征患者,其临床表现符合临床 CHARGE 综合征,但 CHARGE 相关基因无变异。
本病例突出了对 CHARGE 综合征发病机制的认识仍不完整,并提出了 7q11.23 关键区域基因对神经嵴分化和命运的剂量敏感效应的可能性。