Suppr超能文献

体育锻炼是否会改善或恶化米托蒽醌治疗多发性硬化症的效果?在大鼠中的实验性自身免疫性脑脊髓炎研究。

Does physical exercise improve or deteriorate treatment of multiple sclerosis with mitoxantrone? Experimental autoimmune encephalomyelitis study in rats.

机构信息

Department of Pharmacology and Therapeutics, Faculty of Pharmacy, Pharos University in Alexandria, Alexandria, Egypt.

Department of Pathology, Faculty of Medicine, Alexandria University, Alexandria, Egypt.

出版信息

BMC Neurosci. 2022 Mar 5;23(1):11. doi: 10.1186/s12868-022-00692-1.

Abstract

BACKGROUND

Mitoxantrone has proved efficacy in treatment of multiple sclerosis (MS). The fact that physical exercise could slow down the progression of disease and improve performance is still a debatable issue, hence; we aimed at studying whether combining mitoxantrone with exercise is of value in the management of MS.

METHODS

Thirty-six male rats were divided into sedentary and exercised groups. During a 14-day habituation period rats were subjected to exercise training on a rotarod (30 min/day) before Experimental Autoimmune Encephalomyelitis (EAE) induction and thereafter for 17 consecutive days. On day 13 after induction, EAE groups (exercised &sedentary) were divided into untreated and mitoxantrone treated ones. Disease development was evaluated by motor performance and EAE score. Cerebrospinal fluid (CSF) was used for biochemical analysis. Brain stem and cerebellum were examined histopathological and immunohistochemically.

RESULTS

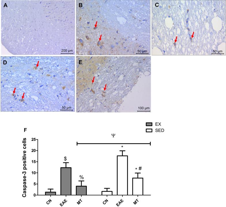
Exercise training alone did not add a significant value to the studied parameters, except for reducing Foxp3 immunoreactivity in EAE group and caspase-3 in the mitoxantrone treated group. Unexpectedly, exercise worsened the mitoxantrone effect on EAE score, Bcl2 and Bax. Mitoxantrone alone decreased EAE/demyelination/inflammation scores, Foxp3 immunoreactivity, and interleukin-6, while increased the re-myelination marker BDNF without any change in tumor necrosis factor-α. It clearly interrupted the apoptotic pathway in brain stem, but worsened EAE mediated changes of the anti-apoptotic Bcl2 and pro-apoptotic marker Bax in the CSF.

CONCLUSIONS

The neuroprotective effect of mitoxantrone was related with remyelination, immunosuppressive and anti-inflammatory potentials. Exercise training did not show added value to mitoxantrone, in contrast, it disrupts the apoptotic pathway.

摘要

背景

米托蒽醌已被证明在多发性硬化症(MS)的治疗中有效。运动可以减缓疾病的进展并改善功能,这一事实仍然存在争议,因此;我们旨在研究米托蒽醌与运动相结合是否对多发性硬化症的治疗有价值。

方法

将 36 只雄性大鼠分为久坐不动组和运动组。在 14 天的适应期内,在实验性自身免疫性脑脊髓炎(EAE)诱导前,大鼠接受旋转棒训练(每天 30 分钟),此后连续 17 天。在诱导后第 13 天,EAE 组(运动和久坐不动)分为未治疗和米托蒽醌治疗组。通过运动表现和 EAE 评分评估疾病发展。用脑脊液(CSF)进行生化分析。脑干和小脑进行组织病理学和免疫组织化学检查。

结果

单独运动训练除了减少 EAE 组中的 Foxp3 免疫反应性和米托蒽醌治疗组中的 caspase-3 外,对研究参数没有显著价值。出乎意料的是,运动恶化了米托蒽醌对 EAE 评分、Bcl2 和 Bax 的影响。米托蒽醌单独降低 EAE/脱髓鞘/炎症评分、Foxp3 免疫反应性和白细胞介素-6,同时增加了神经营养因子 BDNF,而肿瘤坏死因子-α没有变化。它清楚地中断了脑干中的凋亡途径,但恶化了 EAE 介导的 CSF 中抗凋亡 Bcl2 和促凋亡标志物 Bax 的变化。

结论

米托蒽醌的神经保护作用与髓鞘再生、免疫抑制和抗炎潜力有关。运动训练对米托蒽醌没有附加价值,相反,它破坏了凋亡途径。

https://cdn.ncbi.nlm.nih.gov/pmc/blobs/33fc/8897955/91bbca73c029/12868_2022_692_Fig2_HTML.jpg

文献检索

告别复杂PubMed语法,用中文像聊天一样搜索,搜遍4000万医学文献。AI智能推荐,让科研检索更轻松。

立即免费搜索

文件翻译

保留排版,准确专业,支持PDF/Word/PPT等文件格式,支持 12+语言互译。

免费翻译文档

深度研究

AI帮你快速写综述,25分钟生成高质量综述,智能提取关键信息,辅助科研写作。

立即免费体验