Suppr超能文献

伴有脑膜炎和基底节梗死的葡萄球菌性心内膜炎,酷似脑膜炎球菌血症。

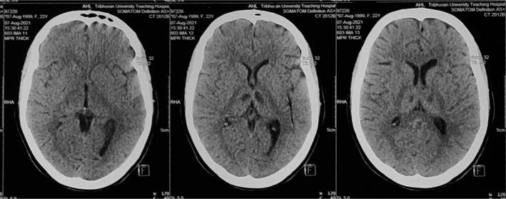
Staphylococcal endocarditis with meningitis and basal ganglia infarcts mimicking meningococcemia.

作者信息

Giri Subarna, Shrestha Bhushan, Gajurel Bikram Prasad, Sapkota Dharmendra, Gautam Niraj, Shrestha Ashish

机构信息

Maharajgunj Medical Campus Tribhuvan University Institute of Medicine Kathmandu Nepal.

Department of Neurology Tribhuvan University Institute of Medicine Kathmandu Nepal.

出版信息

Clin Case Rep. 2022 Mar 1;10(3):e05548. doi: 10.1002/ccr3.5548. eCollection 2022 Mar.

Abstract

is one of the common causes of infective endocarditis (IE). IE can present with various neurological complications such as stroke, brain abscess, and meningitis, the mortality rate can be very high in such cases.

摘要

是感染性心内膜炎(IE)的常见病因之一。IE可伴有各种神经系统并发症,如中风、脑脓肿和脑膜炎,在这种情况下死亡率可能非常高。

https://cdn.ncbi.nlm.nih.gov/pmc/blobs/65c0/8888920/a340f6699ab7/CCR3-10-e05548-g004.jpg

文献AI研究员

20分钟写一篇综述,助力文献阅读效率提升50倍。

立即体验

用中文搜PubMed

大模型驱动的PubMed中文搜索引擎

马上搜索

文档翻译

学术文献翻译模型,支持多种主流文档格式。

立即体验