Suppr超能文献

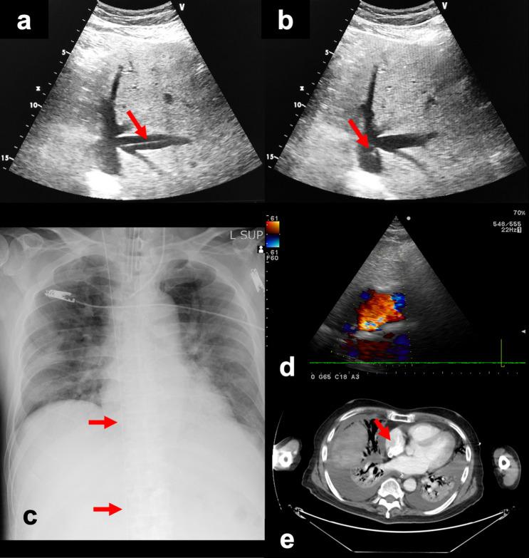
A case of successful bedside cannulation with a bicaval dual-lumen cannula guided by transthoracic echocardiography and mobile X-ray for veno-venous extracorporeal membrane oxygenation.

作者信息

Uemura Tatsuki, Sekihara Keigo, Ogawa Tatsunori, Ishizuka Kota, Katsuoka Hiyori, Kawaguchi Minato, Matsuda Wataru, Sasaki Ryo, Okamoto Tatsuya, Kimura Akio

机构信息

Department of Emergency Medicine and Critical Care, Center Hospital of the National Center for Global Health and Medicine, 1-21-1 Toyama, Shinjuku-ku, Tokyo, 162-8655, Japan.

Department of Intensive Care Medicine, Center Hospital of the National Center for Global Health and Medicine, Tokyo, Japan.

出版信息

J Artif Organs. 2023 Jun;26(2):165-167. doi: 10.1007/s10047-022-01322-7. Epub 2022 Mar 9.

Abstract
摘要
https://cdn.ncbi.nlm.nih.gov/pmc/blobs/593d/8904713/12686e4f8b14/10047_2022_1322_Fig1_HTML.jpg

文献AI研究员

20分钟写一篇综述,助力文献阅读效率提升50倍。

立即体验

用中文搜PubMed

大模型驱动的PubMed中文搜索引擎

马上搜索

文档翻译

学术文献翻译模型,支持多种主流文档格式。

立即体验