• 文献检索
  • 文档翻译
  • 深度研究
  • 学术资讯
  • Suppr Zotero 插件Zotero 插件
  • 邀请有礼
  • 套餐&价格
  • 历史记录
应用&插件
Suppr Zotero 插件Zotero 插件浏览器插件Mac 客户端Windows 客户端微信小程序
定价
高级版会员购买积分包购买API积分包
服务
文献检索文档翻译深度研究API 文档MCP 服务
关于我们
关于 Suppr公司介绍联系我们用户协议隐私条款
关注我们

Suppr 超能文献

核心技术专利:CN118964589B侵权必究
粤ICP备2023148730 号-1Suppr @ 2026

文献检索

告别复杂PubMed语法,用中文像聊天一样搜索,搜遍4000万医学文献。AI智能推荐,让科研检索更轻松。

立即免费搜索

文件翻译

保留排版,准确专业,支持PDF/Word/PPT等文件格式,支持 12+语言互译。

免费翻译文档

深度研究

AI帮你快速写综述,25分钟生成高质量综述,智能提取关键信息,辅助科研写作。

立即免费体验

胸骨后重建术后食管癌根治术后上肢深静脉血栓形成的发生率。

Incidence of upper extremity deep vein thrombosis in the retrosternal reconstruction after esophagectomy.

机构信息

Department of Gastrointestinal Tract Surgery, Fukushima Medical University, 1 Hikarigaoka, Fukushima City, 960-1295, Japan.

Shirakawa Kosei General Hospital, 2-1 Toyochikamiyajirou, Shirakawa City, 961-0005, Japan.

出版信息

BMC Surg. 2022 Mar 9;22(1):91. doi: 10.1186/s12893-022-01544-9.

DOI:10.1186/s12893-022-01544-9
PMID:35264138
原文链接:https://pmc.ncbi.nlm.nih.gov/articles/PMC8908570/
Abstract

BACKGROUND

Upper extremity deep vein thrombosis (UEDVT) is relatively rare but cannot be negligible because it can cause fatal complications. Although it is reported that the occurrence rate of UEDVT has increased due to central venous catheter (CVC), cancer, and surgical invasion, there is still limited information for esophagectomy. The aim of this study was to evaluate the clinical factors, including CVC placement and thromboprophylaxis approach, as well as retrosternal space's width as a predictive factor for UEDVT in patients receiving esophagectomy.

METHODS

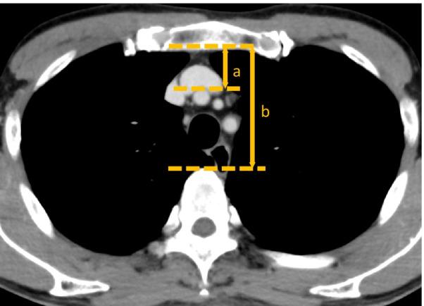
This study included 66 patients who underwent esophagectomy with retrosternal reconstruction using a gastric tube. All patients routinely underwent contrast-enhanced computed tomography (CT) on the 4th postoperative day. Low-molecular-weight-heparin (LMWH) was routinely administered by the 2nd postoperative day. To evaluate retrosternal space's width, (a) The distance from sternum to brachiocephalic artery and (b) the distance from sternum to vertebra were measured by preoperative CT, and the ratio of (a) to (b) was defined as the width of retrosternal space.

RESULTS

Among all patients, 11 (16.7%) suffered from UEDVT, and none was preoperatively received CVC placement, while 7 were inserted in non-UEDVT cases. Retrosternal space's width in patients with UEDVT was significantly smaller than that in patients without UEDVT (0.17 vs. 0.26; P < 0.0001). A cutoff value of the width was 0.21, which has high sensitivity (87%) and specificity (82%) for UEDVT prediction, respectively.

CONCLUSION

The existence of CVC may not affect the development of UEDVT, but preoperative evaluation of retrosternal ratio may predict the occurrence of UEDVT.

摘要

背景

上肢深静脉血栓形成(UEDVT)相对较少,但不容忽视,因为它可导致致命并发症。尽管有报道称,由于中央静脉导管(CVC)、癌症和手术侵袭,UEDVT 的发生率有所增加,但对于食管癌切除术来说,相关信息仍然有限。本研究旨在评估临床因素,包括 CVC 放置和血栓预防方法,以及胸骨后空间的宽度作为接受食管癌切除术患者发生 UEDVT 的预测因素。

方法

本研究纳入了 66 例行胸骨后胃管重建的食管癌切除术患者。所有患者术后第 4 天常规行增强 CT 检查。术后第 2 天常规给予低分子肝素(LMWH)。为评估胸骨后空间的宽度,(a)术前 CT 测量胸骨至头臂动脉的距离,(b)胸骨至椎体的距离,并定义(a)与(b)的比值为胸骨后空间的宽度。

结果

所有患者中,有 11 例(16.7%)发生 UEDVT,无一例术前接受 CVC 放置,而非 UEDVT 患者中有 7 例接受 CVC 放置。UEDVT 患者胸骨后空间的宽度明显小于非 UEDVT 患者(0.17 比 0.26;P < 0.0001)。宽度的截断值为 0.21,对 UEDVT 的预测具有较高的敏感性(87%)和特异性(82%)。

结论

CVC 的存在可能不会影响 UEDVT 的发生,但术前评估胸骨后比值可能预测 UEDVT 的发生。

https://cdn.ncbi.nlm.nih.gov/pmc/blobs/1f34/8908570/a8bbbe90697c/12893_2022_1544_Fig3_HTML.jpg
https://cdn.ncbi.nlm.nih.gov/pmc/blobs/1f34/8908570/50261fa48d53/12893_2022_1544_Fig1_HTML.jpg
https://cdn.ncbi.nlm.nih.gov/pmc/blobs/1f34/8908570/54026cadf9c4/12893_2022_1544_Fig2_HTML.jpg
https://cdn.ncbi.nlm.nih.gov/pmc/blobs/1f34/8908570/a8bbbe90697c/12893_2022_1544_Fig3_HTML.jpg
https://cdn.ncbi.nlm.nih.gov/pmc/blobs/1f34/8908570/50261fa48d53/12893_2022_1544_Fig1_HTML.jpg
https://cdn.ncbi.nlm.nih.gov/pmc/blobs/1f34/8908570/54026cadf9c4/12893_2022_1544_Fig2_HTML.jpg
https://cdn.ncbi.nlm.nih.gov/pmc/blobs/1f34/8908570/a8bbbe90697c/12893_2022_1544_Fig3_HTML.jpg

相似文献

1
Incidence of upper extremity deep vein thrombosis in the retrosternal reconstruction after esophagectomy.胸骨后重建术后食管癌根治术后上肢深静脉血栓形成的发生率。
BMC Surg. 2022 Mar 9;22(1):91. doi: 10.1186/s12893-022-01544-9.
2
Retrosternal Reconstruction Can be a Risk Factor for Upper Extremity Deep Vein Thrombosis After Esophagectomy.胸骨后重建可能是食管癌手术后上肢深静脉血栓形成的危险因素。
World J Surg. 2017 Dec;41(12):3154-3163. doi: 10.1007/s00268-017-4120-6.
3
Upper-Extremity Deep-Vein Thrombosis: A Retrospective Cohort Evaluation of Thrombotic Risk Factors at a University Teaching Hospital Antithrombosis Clinic.上肢深静脉血栓形成:在一所大学教学医院抗血栓门诊对血栓形成危险因素进行的回顾性队列评估
Ann Pharmacother. 2016 Aug;50(8):637-44. doi: 10.1177/1060028016649601. Epub 2016 May 17.
4
Upper extremity deep vein thrombosis.上肢深静脉血栓形成。
Intern Emerg Med. 2010 Apr;5(2):103-9. doi: 10.1007/s11739-009-0320-x. Epub 2009 Sep 26.
5
A prospective study of Rivaroxaban for central venous catheter associated upper extremity deep vein thrombosis in cancer patients (Catheter 2).前瞻性研究利伐沙班在癌症患者中心静脉导管相关上肢深静脉血栓形成中的应用(Catheter 2)。
Thromb Res. 2018 Feb;162:88-92. doi: 10.1016/j.thromres.2017.04.003. Epub 2017 Apr 6.
6
High Prevalence and Mortality Associated with Upper Extremity Deep Venous Thrombosis in Hospitalized Patients at a Tertiary Care Center.在一家三级医疗中心,住院患者上肢深静脉血栓形成的高患病率及死亡率
Ann Vasc Surg. 2020 May;65:55-65. doi: 10.1016/j.avsg.2019.10.055. Epub 2019 Oct 24.
7
Upper Extremity Deep Venous Thrombosis Risk Factors, Associated Morbidity and Mortality in Trauma Patients.上肢深静脉血栓形成的危险因素、相关并发症和创伤患者的死亡率。
World J Surg. 2022 Mar;46(3):561-567. doi: 10.1007/s00268-021-06383-y. Epub 2022 Jan 3.
8
Central venous catheters and upper extremity deep vein thrombosis in medical inpatients: the Medical Inpatients and Thrombosis (MITH) Study.中心静脉导管与住院成年患者上肢深静脉血栓形成:住院成年患者与血栓形成(MITH)研究。
J Thromb Haemost. 2015 Dec;13(12):2155-60. doi: 10.1111/jth.13131. Epub 2015 Oct 27.
9
Current management strategies and long-term clinical outcomes of upper extremity venous thrombosis.上肢静脉血栓形成的当前管理策略和长期临床结果。
J Thromb Haemost. 2016 May;14(5):973-81. doi: 10.1111/jth.13291. Epub 2016 Apr 4.
10
Low incidence of pulmonary embolism associated with upper-extremity deep venous thrombosis.上肢深静脉血栓形成相关的肺栓塞发生率较低。
Ann Vasc Surg. 2012 Oct;26(7):964-72. doi: 10.1016/j.avsg.2011.12.016. Epub 2012 Jun 29.

引用本文的文献

1
Risk factors for upper extremity deep vein thrombosis after esophagectomy for esophageal cancer in retrosternal reconstruction.胸骨后重建食管癌切除术后上肢深静脉血栓形成的危险因素。
Esophagus. 2025 Jul;22(3):410-417. doi: 10.1007/s10388-025-01122-x. Epub 2025 Apr 15.
2
Risk Factors of Venous Thromboembolism in Inpatients With Colorectal Cancer in China.中国结直肠癌住院患者静脉血栓栓塞症的危险因素。
Clin Appl Thromb Hemost. 2023 Jan-Dec;29:10760296231221133. doi: 10.1177/10760296231221133.
3
Efficacy and Postoperative Outcomes of Laparoscopic Retrosternal Route Creation for the Gastric Conduit: Propensity Score-Matched Comparison to Posterior Mediastinal Reconstruction.

本文引用的文献

1
Comprehensive registry of esophageal cancer in Japan, 2013.日本 2013 年食管癌综合登记报告。
Esophagus. 2021 Jan;18(1):1-24. doi: 10.1007/s10388-020-00785-y. Epub 2020 Oct 13.
2
Minimally invasive techniques for transthoracic oesophagectomy for oesophageal cancer: systematic review and network meta-analysis.经胸食管癌微创切除术治疗食管癌的微创技术:系统评价和网络荟萃分析。
BJS Open. 2020 Oct;4(5):787-803. doi: 10.1002/bjs5.50330. Epub 2020 Sep 7.
3
A STROBE cohort study of 755 deep and superficial upper-extremity vein thrombosis.
腹腔镜胸骨后路径构建胃管的疗效和术后结果:与后纵隔重建的倾向评分匹配比较。
Ann Surg Oncol. 2023 Jul;30(7):4044-4053. doi: 10.1245/s10434-023-13345-2. Epub 2023 Apr 23.
4
Preventive Effect of Intensive Nursing Intervention of Deep Vein Thrombosis of Lower Extremities in Elderly Patients with Gastrointestinal Tumors after Surgery.强化护理干预对老年胃肠道肿瘤患者术后下肢深静脉血栓形成的预防作用
J Oncol. 2022 Apr 26;2022:2967981. doi: 10.1155/2022/2967981. eCollection 2022.
一项针对755例上肢深浅静脉血栓形成的STROBE队列研究。
Medicine (Baltimore). 2020 Feb;99(6):e18996. doi: 10.1097/MD.0000000000018996.
4
Development of a model predicting the risk of eight major postoperative complications after esophagectomy based on 10 826 cases in the Japan National Clinical Database.基于日本国家临床数据库中的10826例病例开发预测食管癌切除术后八大主要并发症风险的模型。
J Surg Oncol. 2020 Feb;121(2):313-321. doi: 10.1002/jso.25800. Epub 2019 Dec 10.
5
American Society of Hematology 2019 guidelines for management of venous thromboembolism: prevention of venous thromboembolism in surgical hospitalized patients.美国血液学会 2019 年静脉血栓栓塞症管理指南:手术住院患者静脉血栓栓塞症的预防。
Blood Adv. 2019 Dec 10;3(23):3898-3944. doi: 10.1182/bloodadvances.2019000975.
6
Conduit necrosis following esophagectomy: An up-to-date literature review.食管癌切除术后的管道坏死:最新文献综述
World J Gastrointest Surg. 2019 Mar 27;11(3):155-168. doi: 10.4240/wjgs.v11.i3.155.
7
Retrosternal Reconstruction Can be a Risk Factor for Upper Extremity Deep Vein Thrombosis After Esophagectomy.胸骨后重建可能是食管癌手术后上肢深静脉血栓形成的危险因素。
World J Surg. 2017 Dec;41(12):3154-3163. doi: 10.1007/s00268-017-4120-6.
8
Interventional Therapy for Upper Extremity Deep Vein Thrombosis.上肢深静脉血栓形成的介入治疗
Semin Intervent Radiol. 2017 Mar;34(1):54-60. doi: 10.1055/s-0036-1597764.
9
Survival After Neoadjuvant and Adjuvant Treatments Compared to Surgery Alone for Resectable Esophageal Carcinoma: A Network Meta-analysis.新辅助和辅助治疗与单纯手术治疗可切除食管癌的生存率比较:一项网状Meta分析。
Ann Surg. 2017 Mar;265(3):481-491. doi: 10.1097/SLA.0000000000001905.
10
Edoxaban: A Comprehensive Review of the Pharmacology and Clinical Data for the Management of Atrial Fibrillation and Venous Thromboembolism.依度沙班:用于治疗心房颤动和静脉血栓栓塞的药理学与临床数据综合综述
Cardiol Ther. 2016 Jun;5(1):1-18. doi: 10.1007/s40119-016-0058-2. Epub 2016 Mar 2.