Department of Medicine, Division of Radiology, Medical College, Najran University, Najran 61441, Saudi Arabia.
Department of Electronic Engineering, Larkana Campus, Quaid-e-Awam University of Engineering, Science and Technology, Nawabshah 67450, Pakistan.
Sensors (Basel). 2022 Feb 26;22(5):1868. doi: 10.3390/s22051868.
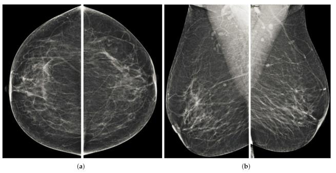
Breast cancer is widespread around the world and can be cured if diagnosed at an early stage. Digital mammograms are used as the most effective imaging modalities for the diagnosis of breast cancer. However, mammography images suffer from low contrast, background noise as well as contrast as non-coherency among the regions, and these factors makes breast cancer diagnosis challenging. These problems can be overcome by using a new image enhancement technique. The objective of this research work is to enhance mammography images to improve the overall process of segmentation and classification of breast cancer diagnosis. We proposed the image enhancement for mammogram images, as well as the ablation of the pectoral muscle. The image enhancement technique involves several steps. In the first step, we process the mammography images in three channels (red, green and blue), the second step is based on the uniformity of the background on morphological operations, and the third step is to obtain a well-contrasted image using principal component analysis (PCA). The fourth step is based on the removal of the pectoral muscle using a seed-based region growth technique, and the last step contains the coherence of the different regions of the image using a second order Gaussian Laplacian (LoG) and an oriented diffusion filter to obtain a much-improved contrast image. The proposed image enhancement technique is tested with our data collected from different hospitals in Qassim health cluster Qassim province Saudi Arabia, and it contains the five Breast Imaging and Reporting System (BI-RADS) categories and this database contained 11,194 images (the images contain carnio-caudal (CC) view and mediolateral oblique(MLO) view of mammography images), and we used approximately 700 images to validate our database. We have achieved improved performance in terms of peak signal-to-noise ratio, contrast, and effective measurement of enhancement (EME) as well as our proposed image enhancement technique outperforms existing image enhancement methods. This performance of our proposed method demonstrates the ability to improve the diagnostic performance of the computerized breast cancer detection method.
乳腺癌在全球范围内广泛存在,如果在早期诊断,是可以治愈的。数字乳腺 X 线摄影术被用作诊断乳腺癌最有效的成像方式。然而,乳腺 X 线图像存在对比度低、背景噪声以及区域间对比度不一致等问题,这些因素使得乳腺癌的诊断具有挑战性。这些问题可以通过使用新的图像增强技术来克服。本研究工作的目的是增强乳腺 X 线图像,以改善乳腺癌诊断的分割和分类的整体过程。我们提出了乳腺 X 线图像的增强方法,以及胸大肌的消融。图像增强技术包括几个步骤。在第一步中,我们对乳腺 X 线图像进行三通道(红、绿、蓝)处理;第二步是基于形态学操作的背景均匀性;第三步是使用主成分分析(PCA)获得对比度良好的图像;第四步是基于基于种子的区域生长技术去除胸大肌;最后一步是使用二阶高斯拉普拉斯(LoG)和定向扩散滤波器来获得不同区域的图像一致性,从而获得对比度大大提高的图像。所提出的图像增强技术在我们从沙特阿拉伯盖西姆省卡西姆卫生集群的不同医院收集的数据中进行了测试,其中包含五个乳腺影像报告和数据系统(BI-RADS)类别,该数据库包含 11194 张图像(图像包含头尾(CC)视图和内外斜(MLO)视图的乳腺 X 线图像),我们使用了大约 700 张图像来验证我们的数据库。在峰值信噪比、对比度和增强有效测量(EME)方面,我们的方法都取得了改进的性能,并且我们的图像增强技术优于现有的图像增强方法。该方法的性能证明了它有能力提高计算机辅助乳腺癌检测方法的诊断性能。