• 文献检索
  • 文档翻译
  • 深度研究
  • 学术资讯
  • Suppr Zotero 插件Zotero 插件
  • 邀请有礼
  • 套餐&价格
  • 历史记录
应用&插件
Suppr Zotero 插件Zotero 插件浏览器插件Mac 客户端Windows 客户端微信小程序
定价
高级版会员购买积分包购买API积分包
服务
文献检索文档翻译深度研究API 文档MCP 服务
关于我们
关于 Suppr公司介绍联系我们用户协议隐私条款
关注我们

Suppr 超能文献

核心技术专利:CN118964589B侵权必究
粤ICP备2023148730 号-1Suppr @ 2026

文献检索

告别复杂PubMed语法,用中文像聊天一样搜索,搜遍4000万医学文献。AI智能推荐,让科研检索更轻松。

立即免费搜索

文件翻译

保留排版,准确专业,支持PDF/Word/PPT等文件格式,支持 12+语言互译。

免费翻译文档

深度研究

AI帮你快速写综述,25分钟生成高质量综述,智能提取关键信息,辅助科研写作。

立即免费体验

HPV 阴性阴茎上皮内瘤变(PeIN)伴基底细胞样特征。

HPV-negative Penile Intraepithelial Neoplasia (PeIN) With Basaloid Features.

机构信息

Department of Pathology.

Institute of Pathology, Lausanne University Hospital, Lausanne University, Lausanne, Switzerland.

出版信息

Am J Surg Pathol. 2022 Aug 1;46(8):1071-1077. doi: 10.1097/PAS.0000000000001885. Epub 2022 Mar 17.

DOI:10.1097/PAS.0000000000001885
PMID:35297786
原文链接:https://pmc.ncbi.nlm.nih.gov/articles/PMC9281510/
Abstract

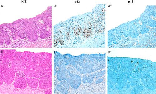
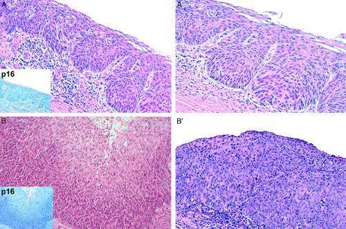
Most human papillomavirus (HPV)-independent penile squamous cell carcinomas (PSCCs) originate from an intraepithelial precursor called differentiated penile intraepithelial neoplasia, characterized by atypia limited to the basal layer with marked superficial maturation. Previous studies in vulvar cancer, which has a similar dual etiopathogenesis, have shown that about one fifth of HPV-independent precursors are morphologically indistinguishable from high-grade squamous intraepithelial lesions (HSILs), the precursor of HPV-asssociated carcinomas. However, such lesions have not been described in PSCC. From 2000 to 2021, 55 surgical specimens of PSCC were identified. In all cases, thorough morphologic evaluation, HPV DNA detection, and p16, p53, and Ki-67 immunohistochemical (IHC) staining was performed. HPV-independent status was assigned based on both negative results for p16 IHC and HPV DNA. Thirty-six of the 55 PSCC (65%) were HPV-independent. An intraepithelial precursor was identified in 26/36 cases (72%). Five of them (19%) had basaloid features, morphologically indistinguishable from HPV-associated HSIL. The median age of the 5 patients was 74 years (range: 67 to 83 y). All 5 cases were p16 and DNA HPV-negative. Immunohistochemically, 3 cases showed an abnormal p53 pattern, and 2 showed wild-type p53 staining. The associated invasive carcinoma was basaloid in 4 cases and the usual (keratinizing) type in 1. In conclusion, a small proportion of HPV-independent PSCC may arise on adjacent intraepithelial lesions morphologically identical to HPV-associated HSIL. This unusual histologic pattern has not been previously characterized in detail in PSCC. p16 IHC is a valuable tool to identify these lesions and differentiate them from HPV-associated HSIL.

摘要

大多数人乳头瘤病毒(HPV)无关的阴茎鳞状细胞癌(PSCC)起源于一种上皮内前体,称为分化的阴茎上皮内肿瘤,其特征为局限于基底细胞层的异型性,伴有明显的表面成熟。在具有类似双重病因的外阴癌的研究中,已经表明,大约五分之一的 HPV 无关前体在形态上与 HPV 相关癌的前体——高级别鳞状上皮内病变(HSIL)无法区分。然而,在 PSCC 中尚未描述这种病变。2000 年至 2021 年,共确定了 55 例 PSCC 的手术标本。所有病例均进行了彻底的形态学评估、HPV DNA 检测以及 p16、p53 和 Ki-67 免疫组化(IHC)染色。HPV 无关状态基于 p16 IHC 和 HPV DNA 均为阴性来确定。55 例 PSCC 中有 36 例(65%)为 HPV 无关型。在 26/36 例(72%)中发现了上皮内前体。其中 5 例(19%)具有基底样特征,与 HPV 相关的 HSIL 在形态上无法区分。这 5 名患者的中位年龄为 74 岁(范围:67 岁至 83 岁)。所有 5 例均为 p16 和 DNA HPV 阴性。免疫组化显示,3 例显示异常的 p53 模式,2 例显示野生型 p53 染色。伴发的浸润性癌在 4 例中为基底样型,在 1 例中为通常的(角化型)。总之,一小部分 HPV 无关的 PSCC 可能起源于形态上与 HPV 相关的 HSIL 相同的相邻上皮内病变。这种不寻常的组织学模式在之前的 PSCC 中尚未详细描述。p16 IHC 是识别这些病变并将其与 HPV 相关 HSIL 区分开来的有用工具。

https://cdn.ncbi.nlm.nih.gov/pmc/blobs/1153/9281510/def62a2b0afb/pas-46-1071-g003.jpg
https://cdn.ncbi.nlm.nih.gov/pmc/blobs/1153/9281510/cbdf41964730/pas-46-1071-g001.jpg
https://cdn.ncbi.nlm.nih.gov/pmc/blobs/1153/9281510/cef079a8cd2e/pas-46-1071-g002.jpg
https://cdn.ncbi.nlm.nih.gov/pmc/blobs/1153/9281510/def62a2b0afb/pas-46-1071-g003.jpg
https://cdn.ncbi.nlm.nih.gov/pmc/blobs/1153/9281510/cbdf41964730/pas-46-1071-g001.jpg
https://cdn.ncbi.nlm.nih.gov/pmc/blobs/1153/9281510/cef079a8cd2e/pas-46-1071-g002.jpg
https://cdn.ncbi.nlm.nih.gov/pmc/blobs/1153/9281510/def62a2b0afb/pas-46-1071-g003.jpg

相似文献

1
HPV-negative Penile Intraepithelial Neoplasia (PeIN) With Basaloid Features.HPV 阴性阴茎上皮内瘤变(PeIN)伴基底细胞样特征。
Am J Surg Pathol. 2022 Aug 1;46(8):1071-1077. doi: 10.1097/PAS.0000000000001885. Epub 2022 Mar 17.
2
Identification and genotyping of human papillomavirus in a Spanish cohort of penile squamous cell carcinomas: correlation with pathologic subtypes, p16(INK4a) expression, and prognosis.在西班牙阴茎鳞癌队列中鉴定和基因分型人乳头瘤病毒:与病理亚型、p16(INK4a)表达和预后的相关性。
J Am Acad Dermatol. 2013 Jan;68(1):73-82. doi: 10.1016/j.jaad.2012.05.029. Epub 2012 Aug 3.
3
Expanding the Morphologic, Immunohistochemical, and HPV Genotypic Features of High-grade Squamous Intraepithelial Lesions of the Vulva With Morphology Mimicking Differentiated Vulvar Intraepithelial Neoplasia and/or Lichen Sclerosus.扩大外阴高级别鳞状上皮内病变的形态学、免疫组织化学和 HPV 基因特征,这些病变的形态类似于分化型外阴上皮内瘤变和/或硬化性苔藓。
Int J Gynecol Pathol. 2021 May 1;40(3):205-213. doi: 10.1097/PGP.0000000000000708.
4
Distinctive immunohistochemical profile of penile intraepithelial lesions: a study of 74 cases.阴茎上皮内病变的独特免疫组织化学特征:74 例研究。
Am J Surg Pathol. 2011 Apr;35(4):553-62. doi: 10.1097/PAS.0b013e3182113402.
5
Human Papillomavirus (HPV) Genotypes in Condylomas, Intraepithelial Neoplasia, and Invasive Carcinoma of the Penis Using Laser Capture Microdissection (LCM)-PCR: A Study of 191 Lesions in 43 Patients.使用激光捕获显微切割(LCM)-PCR技术检测阴茎湿疣、上皮内瘤变及浸润性癌中的人乳头瘤病毒(HPV)基因型:43例患者191个病变的研究
Am J Surg Pathol. 2017 Jun;41(6):820-832. doi: 10.1097/PAS.0000000000000821.
6
Penile intraepithelial neoplasia: Distribution of subtypes, HPV genotypes and p16 in 84 international cases.阴茎上皮内瘤变:84 例国际病例中各亚型、HPV 基因型和 p16 的分布。
Hum Pathol. 2023 Jan;131:1-8. doi: 10.1016/j.humpath.2022.11.006. Epub 2022 Nov 24.
7
HPV-independent Precursors Mimicking High-grade Squamous Intraepithelial Lesions (HSIL) of the Vulva.HPV 非依赖性前体细胞模拟外阴高级别鳞状上皮内病变(HSIL)。
Am J Surg Pathol. 2020 Nov;44(11):1506-1514. doi: 10.1097/PAS.0000000000001540.
8
Prevalence of human papillomavirus DNA and p16 in penile cancer and penile intraepithelial neoplasia: a systematic review and meta-analysis.人乳头瘤病毒 DNA 和 p16 在阴茎癌和阴茎上皮内瘤变中的流行情况:系统评价和荟萃分析。
Lancet Oncol. 2019 Jan;20(1):145-158. doi: 10.1016/S1470-2045(18)30682-X. Epub 2018 Dec 17.
9
Distinctive association of p16INK4a overexpression with penile intraepithelial neoplasia depicting warty and/or basaloid features: a study of 141 cases evaluating a new nomenclature.p16INK4a 过表达与表现为疣状和/或基底细胞样特征的阴茎上皮内瘤变的独特相关性:评估新命名法的 141 例研究。
Am J Surg Pathol. 2010 Mar;34(3):385-92. doi: 10.1097/PAS.0b013e3181cdad23.
10
Classification of Vulvar Squamous Cell Carcinoma and Precursor Lesions by p16 and p53 Immunohistochemistry: Considerations, Caveats, and an Algorithmic Approach.p16 和 p53 免疫组化在鉴别外阴鳞癌及癌前病变中的应用:注意事项、局限性及算法策略。
Mod Pathol. 2023 Jun;36(6):100145. doi: 10.1016/j.modpat.2023.100145. Epub 2023 Feb 22.

引用本文的文献

1
Non-Invasive Diagnostic Techniques in Penile Intraepithelial Neoplasia (PeIN): Insights from Reflectance Confocal Microscopy (RCM), Line-Field Confocal Optical Coherence Tomography (LC-OCT), and Correlation with Histopathological Features.阴茎上皮内瘤变(PeIN)的非侵入性诊断技术:反射共聚焦显微镜(RCM)、线场共聚焦光学相干断层扫描(LC-OCT)的见解及其与组织病理学特征的相关性
Dermatopathology (Basel). 2025 Jul 7;12(3):19. doi: 10.3390/dermatopathology12030019.
2
The Spectrum of HPV-independent Penile Intraepithelial Neoplasia: A Proposal for Subclassification.HPV 无关型阴茎上皮内瘤变的范围:分类建议。
Am J Surg Pathol. 2023 Dec 1;47(12):1449-1460. doi: 10.1097/PAS.0000000000002130. Epub 2023 Sep 28.