• 文献检索
  • 文档翻译
  • 深度研究
  • 学术资讯
  • Suppr Zotero 插件Zotero 插件
  • 邀请有礼
  • 套餐&价格
  • 历史记录
应用&插件
Suppr Zotero 插件Zotero 插件浏览器插件Mac 客户端Windows 客户端微信小程序
定价
高级版会员购买积分包购买API积分包
服务
文献检索文档翻译深度研究API 文档MCP 服务
关于我们
关于 Suppr公司介绍联系我们用户协议隐私条款
关注我们

Suppr 超能文献

核心技术专利:CN118964589B侵权必究
粤ICP备2023148730 号-1Suppr @ 2026

文献检索

告别复杂PubMed语法,用中文像聊天一样搜索,搜遍4000万医学文献。AI智能推荐,让科研检索更轻松。

立即免费搜索

文件翻译

保留排版,准确专业,支持PDF/Word/PPT等文件格式,支持 12+语言互译。

免费翻译文档

深度研究

AI帮你快速写综述,25分钟生成高质量综述,智能提取关键信息,辅助科研写作。

立即免费体验

噬血细胞性淋巴组织细胞增生症:一种罕见疾病揭示了一名HIV患者的EBV相关大B细胞淋巴瘤的诊断。

Hemophagocytic lymphohistiocytosis: a rare disease unveiling the diagnosis of EBV-related large B cell lymphoma in a patient with HIV.

作者信息

Noveihed Alexandra, Liang Shiochee, Glotfelty Joel, Lawrence Ibiyonu

机构信息

Department of Internal Medicine, Rutgers-Robert Wood Johnson Medical School, New Brunswick, NJ, USA.

出版信息

Discov Oncol. 2022 Mar 21;13(1):16. doi: 10.1007/s12672-022-00476-3.

DOI:10.1007/s12672-022-00476-3
PMID:35307758
原文链接:https://pmc.ncbi.nlm.nih.gov/articles/PMC8934799/
Abstract

BACKGROUND

Hemophagocytic lymphohistiocytosis (HLH) is a rare disease resulting from the overactivation of the immune system due to under regulation of cytotoxic lymphocytes, macrophages and natural killer (NK) cells. HLH is associated with malignancies, infections, autoimmune disorders and rarely AIDS and is rapidly fatal.

CASE PRESENTATION

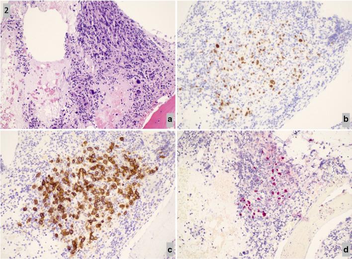
This case report identified a 53 year old male with acquired immunodeficiency syndrome (AIDS) who presented with neutropenic fever of unknown origin. He had two previous hospitalizations prior to the hospitalization diagnosing HLH. The first led to a diagnosis of drug fevers in the setting of treatment for thrombotic thrombocytopenic purpura and subsequent hospitalization led to empiric treatment of hospital acquired pneumonia after workup for intermittent fevers was negative. He was discharged but readmitted 10 days after for recurrence of neutropenic fevers. During this final hospitalization, he was found to have elevated liver enzymes, ferritin, triglycerides and soluble IL-2 receptor with persistent fevers, new splenomegaly and bicytopenia meeting the 2004 HLH criteria. Bone marrow biopsy confirmed the diagnosis of HLH as well as EBV associated large B-cell lymphoma. The patient improved on treatment with steroids, rituximab, tocilizumab, and chemotherapy but ultimately passed away due to refractory septic shock from multi-drug resistant Klebsiella pneumoniae.

CONCLUSION

This novel case highlights a patient diagnosed with HLH in the setting of several risk factors for the disease, including AIDS, B-cell lymphoma and EBV. Additionally, this case highlights the importance of early consideration of HLH in the setting of neutropenic fever without clear infectious etiology and search for malignancy associated reasons for HLH especially in immunocompromised patients.

摘要

背景

噬血细胞性淋巴组织细胞增生症(HLH)是一种罕见疾病,由于细胞毒性淋巴细胞、巨噬细胞和自然杀伤(NK)细胞调节不足导致免疫系统过度激活。HLH与恶性肿瘤、感染、自身免疫性疾病相关,与艾滋病关联罕见,且进展迅速可致命。

病例报告

本病例报告了一名53岁患有获得性免疫缺陷综合征(AIDS)的男性,出现不明原因的中性粒细胞减少性发热。在诊断为HLH住院前,他曾有过两次住院经历。第一次住院因血栓性血小板减少性紫癜治疗期间诊断为药物热,随后住院在对间歇性发热检查为阴性后,经验性治疗医院获得性肺炎。他出院了,但10天后因中性粒细胞减少性发热复发再次入院。在这次最终住院期间,发现他肝酶、铁蛋白、甘油三酯和可溶性白细胞介素-2受体升高,伴有持续发热、新出现的脾肿大和双血细胞减少,符合2004年HLH标准。骨髓活检确诊为HLH以及EBV相关的大B细胞淋巴瘤。患者经类固醇、利妥昔单抗、托珠单抗和化疗治疗后病情改善,但最终因多重耐药肺炎克雷伯菌引起的难治性感染性休克死亡。

结论

本新病例突出了一名在患有包括艾滋病、B细胞淋巴瘤和EBV等多种该疾病危险因素背景下被诊断为HLH的患者。此外,该病例突出了在中性粒细胞减少性发热且无明确感染病因的情况下早期考虑HLH的重要性,以及寻找与HLH相关的恶性肿瘤原因的重要性,尤其是在免疫功能低下的患者中。

https://cdn.ncbi.nlm.nih.gov/pmc/blobs/747f/8934799/cb18e390eedd/12672_2022_476_Fig3_HTML.jpg
https://cdn.ncbi.nlm.nih.gov/pmc/blobs/747f/8934799/718e39bb0ad0/12672_2022_476_Fig1_HTML.jpg
https://cdn.ncbi.nlm.nih.gov/pmc/blobs/747f/8934799/f6c040734876/12672_2022_476_Fig2_HTML.jpg
https://cdn.ncbi.nlm.nih.gov/pmc/blobs/747f/8934799/cb18e390eedd/12672_2022_476_Fig3_HTML.jpg
https://cdn.ncbi.nlm.nih.gov/pmc/blobs/747f/8934799/718e39bb0ad0/12672_2022_476_Fig1_HTML.jpg
https://cdn.ncbi.nlm.nih.gov/pmc/blobs/747f/8934799/f6c040734876/12672_2022_476_Fig2_HTML.jpg
https://cdn.ncbi.nlm.nih.gov/pmc/blobs/747f/8934799/cb18e390eedd/12672_2022_476_Fig3_HTML.jpg

相似文献

1
Hemophagocytic lymphohistiocytosis: a rare disease unveiling the diagnosis of EBV-related large B cell lymphoma in a patient with HIV.噬血细胞性淋巴组织细胞增生症:一种罕见疾病揭示了一名HIV患者的EBV相关大B细胞淋巴瘤的诊断。
Discov Oncol. 2022 Mar 21;13(1):16. doi: 10.1007/s12672-022-00476-3.
2
Epstein-Barr Virus Primary Infection Complicated by Hemophagocytic Lymphohistiocytosis and Plasmablastic Lymphoma in a HIV-Negative Patient.一名HIV阴性患者的爱泼斯坦-巴尔病毒原发性感染并发噬血细胞性淋巴组织细胞增生症和浆母细胞淋巴瘤
Case Rep Hematol. 2019 Oct 7;2019:7962485. doi: 10.1155/2019/7962485. eCollection 2019.
3
An Elusive Diagnosis: Case Reports of Secondary Hemophagocytic Lymphohistiocytosis and Review of Current Literature.难以捉摸的诊断:继发性噬血细胞性淋巴组织细胞增生症病例报告及当前文献综述
Cureus. 2019 Apr 26;11(4):e4548. doi: 10.7759/cureus.4548.
4
A Case of Secondary Hemophagocytic Lymphohistiocytosis in a Patient With T-cell Lymphoma.1例T细胞淋巴瘤患者继发噬血细胞性淋巴组织细胞增生症
Cureus. 2024 Mar 20;16(3):e56558. doi: 10.7759/cureus.56558. eCollection 2024 Mar.
5
Hemophagocytic Lymphohistiocytosis as the Presenting Manifestation of Relapsed Classic Hodgkin's Lymphoma in the Presence of Concurrent Human Immunodeficiency Virus, Genital Herpes, Epstein-Barr Virus and Mycobacterium Avium Complex Infection.噬血细胞性淋巴组织细胞增生症作为复发性经典型霍奇金淋巴瘤在合并人类免疫缺陷病毒、生殖器疱疹、爱泼斯坦-巴尔病毒及鸟分枝杆菌复合群感染时的首发表现
Cureus. 2020 Nov 19;12(11):e11563. doi: 10.7759/cureus.11563.
6
Epstein Virus Barr-Positive Diffuse Large B-Cell Lymphoma Associated with Hemophagocytic Lymphohistiocytosis.Epstein 病毒 Barr 阳性弥漫性大 B 细胞淋巴瘤伴噬血细胞性淋巴组织细胞增生症。
J Neuropathol Exp Neurol. 2020 Aug 1;79(8):915-920. doi: 10.1093/jnen/nlaa061.
7
[Hemophagocytic lymphohistiocytosis caused by hematogenous disseminated pulmonary tuberculosis: A case report].[血行播散型肺结核所致噬血细胞性淋巴组织细胞增生症:一例报告]
Beijing Da Xue Xue Bao Yi Xue Ban. 2022 Dec 18;54(6):1219-1223. doi: 10.19723/j.issn.1671-167X.2022.06.027.
8
A Case of Severe Epstein-Barr Virus-Associated Hemophagocytic Lymphohistiocytosis Successfully Treated With High Dose Steroids and Ganciclovir.一例严重的爱泼斯坦-巴尔病毒相关噬血细胞性淋巴组织细胞增生症经大剂量类固醇和更昔洛韦成功治疗的病例
Cureus. 2022 Jun 15;14(6):e25952. doi: 10.7759/cureus.25952. eCollection 2022 Jun.
9
Dual Threat of Epstein-Barr Virus: an Autopsy Case Report of HIV-Positive Plasmablastic Lymphoma Complicating EBV-Associated Hemophagocytic Lymphohistiocytosis.爱泼斯坦-巴尔病毒的双重威胁:HIV 阳性浆母细胞淋巴瘤合并 EBV 相关噬血细胞性淋巴组织细胞增生症的尸检病例报告。
J Clin Immunol. 2018 May;38(4):478-483. doi: 10.1007/s10875-018-0500-4. Epub 2018 Apr 23.
10
Not another case of mono: Epstein-Barr virus (EBV) associate hemophagocytic lymphohistiocytosis (HLH).不是又一例传染性单核细胞增多症:爱泼斯坦-巴尔病毒(EBV)相关噬血细胞性淋巴组织细胞增生症(HLH)。
Am J Case Rep. 2013 Dec 6;14:529-31. doi: 10.12659/AJCR.889322. eCollection 2013.

引用本文的文献

1
Diagnosis and Management of Adult Malignancy-Associated Hemophagocytic Lymphohistiocytosis.成人恶性肿瘤相关性噬血细胞性淋巴组织细胞增生症的诊断与管理
Cancers (Basel). 2023 Mar 18;15(6):1839. doi: 10.3390/cancers15061839.
2
Primary Bone Marrow HIV-Associated Hodgkin Lymphoma Complicated by Hemophagocytic Lymphohistiocytosis.原发性骨髓 HIV 相关霍奇金淋巴瘤合并噬血细胞性淋巴组织细胞增生症。
Genes (Basel). 2022 Sep 8;13(9):1608. doi: 10.3390/genes13091608.

本文引用的文献

1
Hemophagocytic Lymphohistiocytosis in an AIDS Patient with Kaposi Sarcoma: A Treatment Dilemma.一名患有卡波西肉瘤的艾滋病患者的噬血细胞性淋巴组织细胞增生症:治疗困境
Case Rep Hematol. 2019 Oct 7;2019:7634760. doi: 10.1155/2019/7634760. eCollection 2019.
2
Epstein-Barr Virus-Associated T and NK-Cell Lymphoproliferative Diseases.爱泼斯坦-巴尔病毒相关的T和NK细胞淋巴增殖性疾病
Front Pediatr. 2019 Mar 15;7:71. doi: 10.3389/fped.2019.00071. eCollection 2019.
3
Bone marrow histomorphological criteria can accurately diagnose hemophagocytic lymphohistiocytosis.
骨髓组织形态学标准能够准确诊断噬血细胞性淋巴组织细胞增生症。
Haematologica. 2018 Oct;103(10):1635-1641. doi: 10.3324/haematol.2017.186627. Epub 2018 Jun 14.
4
Hemophagocytic lymphohistiocytosis (HLH) secondary to disseminated histoplasmosis in the setting of Acquired Immunodeficiency Syndrome (AIDS).获得性免疫缺陷综合征(AIDS)背景下,播散性组织胞浆菌病继发噬血细胞性淋巴组织细胞增生症(HLH)。
Med Mycol Case Rep. 2018 Jan 10;20:15-17. doi: 10.1016/j.mmcr.2018.01.001. eCollection 2018 Jun.
5
Drug reaction with eosinophilia and systemic symptoms (DRESS): clinicopathological study of 45 cases.药物反应伴嗜酸性粒细胞增多和全身症状(DRESS):45 例临床病理研究。
J Eur Acad Dermatol Venereol. 2015 Nov;29(11):2199-205. doi: 10.1111/jdv.13212. Epub 2015 Sep 9.
6
Clinical characteristics, prognostic factors, and outcomes of adult patients with hemophagocytic lymphohistiocytosis.噬血细胞性淋巴组织细胞增生症成人患者的临床特征、预后因素和转归。
Am J Hematol. 2015 Mar;90(3):220-4. doi: 10.1002/ajh.23911. Epub 2015 Jan 16.
7
Reactive hemophagocytic syndrome in adults: a retrospective analysis of 162 patients.成人反应性噬血细胞综合征:162 例回顾性分析。
Am J Med. 2014 Nov;127(11):1118-1125. doi: 10.1016/j.amjmed.2014.04.034. Epub 2014 May 14.
8
Adult haemophagocytic syndrome.成人噬血细胞性淋巴组织细胞增生症。
Lancet. 2014 Apr 26;383(9927):1503-1516. doi: 10.1016/S0140-6736(13)61048-X. Epub 2013 Nov 27.
9
How I treat hemophagocytic lymphohistiocytosis.噬血细胞性淋巴组织细胞增生症的治疗方法。
Blood. 2011 Oct 13;118(15):4041-52. doi: 10.1182/blood-2011-03-278127. Epub 2011 Aug 9.
10
Perforin gene defects in familial hemophagocytic lymphohistiocytosis.家族性噬血细胞性淋巴组织细胞增生症中的穿孔素基因缺陷
Science. 1999 Dec 3;286(5446):1957-9. doi: 10.1126/science.286.5446.1957.