Suppr超能文献

1例T细胞淋巴瘤患者继发噬血细胞性淋巴组织细胞增生症

A Case of Secondary Hemophagocytic Lymphohistiocytosis in a Patient With T-cell Lymphoma.

作者信息

Jahshan Bishara, Owczarczyk Anna B, Daw Hamed, Haddad Abdo

机构信息

Internal Medicine, Unity Hospital/Rochester Regional Health, Rochester, USA.

Pathology and Laboratory Medicine, Robert J. Tomsich Pathology and Laboratory Medicine Institute, Cleveland Clinic, Cleveland, USA.

出版信息

Cureus. 2024 Mar 20;16(3):e56558. doi: 10.7759/cureus.56558. eCollection 2024 Mar.

Abstract

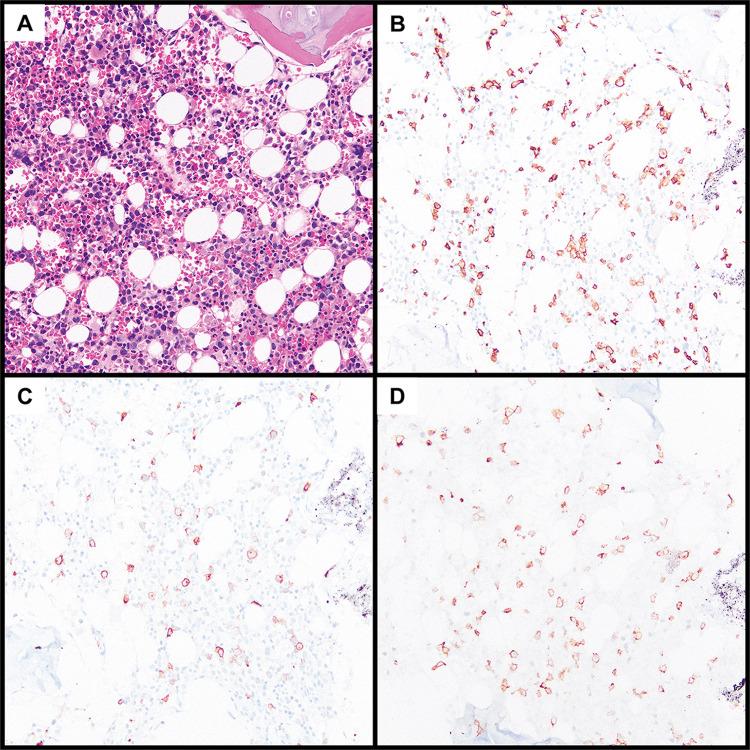
Hemophagocytic lymphohistiocytosis (HLH) is a rare and life-threatening condition that results from excessive immune activation and inflammation. This condition may be triggered by various factors, including infections, malignancies, or autoimmune diseases. Here, we report the case of a 39-year-old male who developed HLH secondary to T-cell lymphoma and had a history of multiple autoimmune disorders. Our patient presented with shortness of breath and weakness which led to an admission for methicillin-resistant bacteremia. His hospital course deteriorated rapidly due to his worsening condition. He was confirmed to have HLH based on the HLH-2004 criteria with the presence of fever, splenomegaly, hypertriglyceridemia, hypofibrinogenemia, low natural killer cell function, high ferritin, and soluble interleukin 2 receptor levels. Peripheral blood smear and bone marrow biopsy showed atypical lymphocytes consistent with a T-cell lymphoma, but no hemophagocytosis. He was treated with dexamethasone and etoposide. Despite treatment, the patient passed away. This case aims to contribute further to the understanding of secondary HLH in the setting of T-cell lymphoma. It also illuminates how vital early recognition and treatment are in patients with secondary HLH.

摘要

噬血细胞性淋巴组织细胞增生症(HLH)是一种罕见的、危及生命的疾病,由过度的免疫激活和炎症引起。这种疾病可能由多种因素触发,包括感染、恶性肿瘤或自身免疫性疾病。在此,我们报告一例39岁男性患者,其因T细胞淋巴瘤继发HLH,并有多种自身免疫性疾病史。我们的患者出现呼吸急促和虚弱症状,导致因耐甲氧西林菌血症入院。由于病情恶化,他的住院病程迅速恶化。根据HLH-2004标准,他被确诊为HLH,表现为发热、脾肿大、高甘油三酯血症、低纤维蛋白原血症、低自然杀伤细胞功能、高铁蛋白和可溶性白细胞介素2受体水平升高。外周血涂片和骨髓活检显示非典型淋巴细胞与T细胞淋巴瘤一致,但无噬血细胞现象。他接受了地塞米松和依托泊苷治疗。尽管进行了治疗,患者仍去世。本病例旨在进一步促进对T细胞淋巴瘤背景下继发性HLH的理解。它还阐明了早期识别和治疗对继发性HLH患者的重要性。

https://cdn.ncbi.nlm.nih.gov/pmc/blobs/12d2/11028014/8846fe94d8cb/cureus-0016-00000056558-i01.jpg

文献检索

告别复杂PubMed语法,用中文像聊天一样搜索,搜遍4000万医学文献。AI智能推荐,让科研检索更轻松。

立即免费搜索

文件翻译

保留排版,准确专业,支持PDF/Word/PPT等文件格式,支持 12+语言互译。

免费翻译文档

深度研究

AI帮你快速写综述,25分钟生成高质量综述,智能提取关键信息,辅助科研写作。

立即免费体验