Suppr超能文献

一名13岁微卫星不稳定的壶腹周围癌患者成功接受胰十二指肠切除术治疗

Periampullary Carcinoma in a 13-Year-Old With Microsatellite Instability Treated Successfully With Pancreaticoduodenectomy.

作者信息

Kumarasamy Sivaraman, Kaman Lileswar, Tandup Cherring, Thakur Uttam K, Savlania Ajay

机构信息

General Surgery, Postgraduate Institute of Medical Education and Research, Chandigarh, IND.

Surgery, Postgraduate Institute of Medical Education and Research, Chandigarh, IND.

出版信息

Cureus. 2022 Feb 11;14(2):e22139. doi: 10.7759/cureus.22139. eCollection 2022 Feb.

Abstract

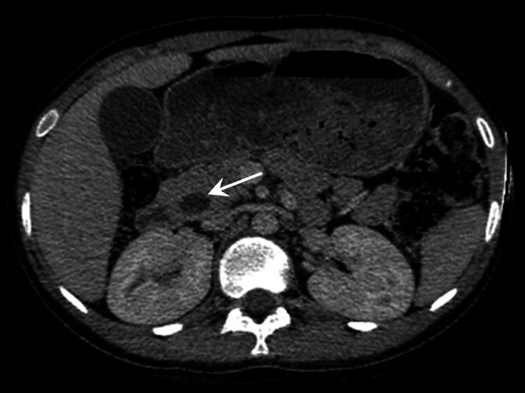
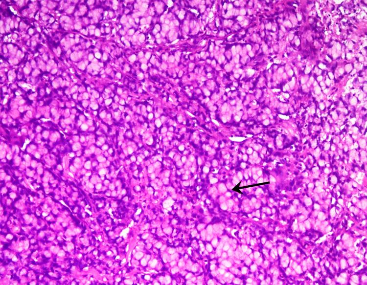
Periampullary carcinoma in adolescents is very rare and may be associated with hereditary syndromes. Pancreaticoduodenectomy (PD) in adolescents is rarely performed. The experience and results of pancreaticoduodenectomy in adolescents are not well reported. Here, we report a case of periampullary carcinoma, duodenal origin, signet ring type with microsatellite instability (MSI), in a 13-year-old male for which pancreaticoduodenectomy was successfully done.

摘要

青少年壶腹周围癌非常罕见,可能与遗传综合征有关。青少年很少进行胰十二指肠切除术(PD)。关于青少年胰十二指肠切除术的经验和结果报道较少。在此,我们报告一例13岁男性十二指肠起源的印戒型壶腹周围癌伴微卫星不稳定性(MSI),该患者成功接受了胰十二指肠切除术。

https://cdn.ncbi.nlm.nih.gov/pmc/blobs/6d6a/8920813/fa2025a0350c/cureus-0014-00000022139-i01.jpg

文献检索

告别复杂PubMed语法,用中文像聊天一样搜索,搜遍4000万医学文献。AI智能推荐,让科研检索更轻松。

立即免费搜索

文件翻译

保留排版,准确专业,支持PDF/Word/PPT等文件格式,支持 12+语言互译。

免费翻译文档

深度研究

AI帮你快速写综述,25分钟生成高质量综述,智能提取关键信息,辅助科研写作。

立即免费体验