Suppr超能文献

通过阻断肝脏中的线粒体融合来预防和逆转巨型线粒体和脂肪变性

Prevention and regression of megamitochondria and steatosis by blocking mitochondrial fusion in the liver.

作者信息

Yamada Tatsuya, Murata Daisuke, Kleiner David E, Anders Robert, Rosenberg Avi Z, Kaplan Jeffrey, Hamilton James P, Aghajan Mariam, Levi Moshe, Wang Nae-Yuh, Dawson Ted M, Yanagawa Toru, Powers Andrew F, Iijima Miho, Sesaki Hiromi

机构信息

Department of Cell Biology, Johns Hopkins University School of Medicine, Baltimore, MD, USA.

Laboratory of Pathology, National Cancer Institute, Bethesda, MD, USA.

出版信息

iScience. 2022 Feb 26;25(4):103996. doi: 10.1016/j.isci.2022.103996. eCollection 2022 Apr 15.

Abstract

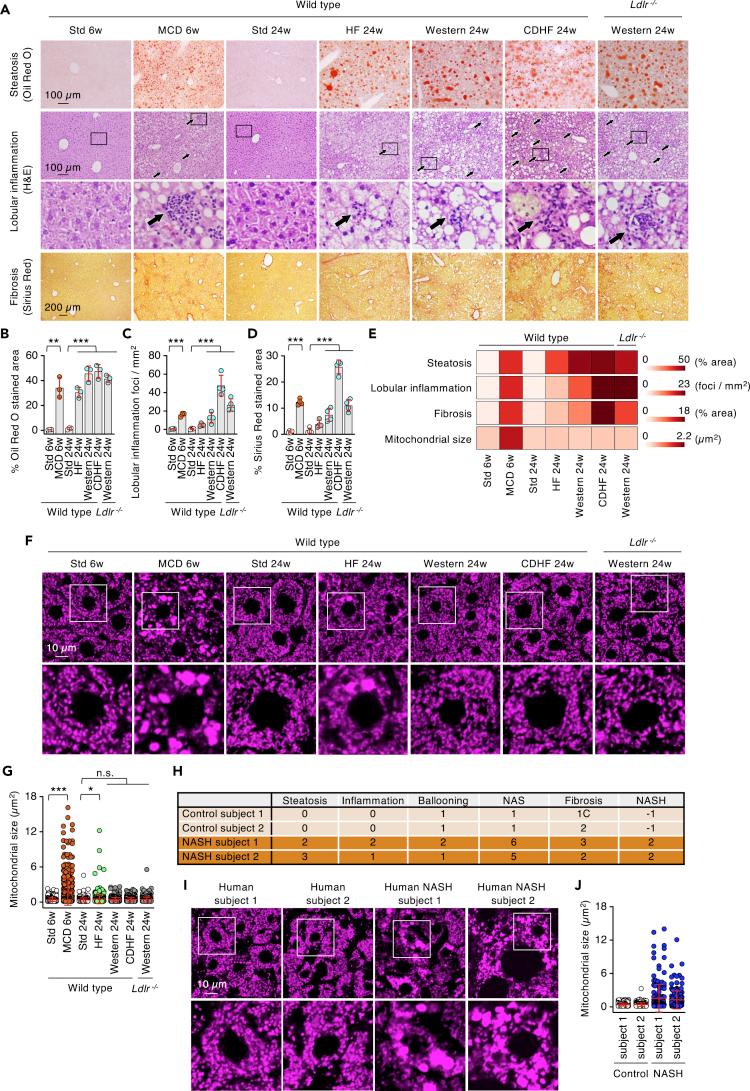
Non-alcoholic steatohepatitis (NASH) is a most common chronic liver disease that is manifested by steatosis, inflammation, fibrosis, and tissue damage. Hepatocytes produce giant mitochondria termed megamitochondria in patients with NASH. It has been shown that gene knockout of OPA1, a mitochondrial dynamin-related GTPase that mediates mitochondrial fusion, prevents megamitochondria formation and liver damage in a NASH mouse model induced by a methionine-choline-deficient (MCD) diet. However, it is unknown whether blocking mitochondrial fusion mitigates NASH pathologies. Here, we acutely depleted OPA1 using antisense oligonucleotides in the NASH mouse model before or after megamitochondria formation. When OPA1 ASOs were applied at the disease onset, they effectively prevented megamitochondria formation and liver pathologies in the MCD model. Notably, even when applied after mice robustly developed NASH pathologies, OPA1 targeting effectively regressed megamitochondria and the disease phenotypes. Thus, our data show the efficacy of mitochondrial dynamics as a unique therapy for megamitochondria-associated liver disease.

摘要

非酒精性脂肪性肝炎(NASH)是一种最常见的慢性肝病,表现为脂肪变性、炎症、纤维化和组织损伤。在NASH患者的肝细胞中会产生称为巨型线粒体的巨大线粒体。研究表明,OPA1基因敲除可防止甲硫氨酸-胆碱缺乏(MCD)饮食诱导的NASH小鼠模型中巨型线粒体的形成和肝损伤,OPA1是一种介导线粒体融合的线粒体动力相关GTP酶。然而,阻断线粒体融合是否能减轻NASH病理变化尚不清楚。在此,我们在巨型线粒体形成之前或之后,在NASH小鼠模型中使用反义寡核苷酸急性耗尽OPA1。当在疾病发作时应用OPA1反义寡核苷酸时,它们有效地防止了MCD模型中巨型线粒体的形成和肝脏病理变化。值得注意的是,即使在小鼠强烈发展出NASH病理变化后应用,靶向OPA1也能有效地使巨型线粒体和疾病表型消退。因此,我们的数据表明线粒体动力学作为巨型线粒体相关肝病的独特治疗方法的有效性。

https://cdn.ncbi.nlm.nih.gov/pmc/blobs/5b60/8927900/9550faedb61d/fx1.jpg

文献检索

告别复杂PubMed语法,用中文像聊天一样搜索,搜遍4000万医学文献。AI智能推荐,让科研检索更轻松。

立即免费搜索

文件翻译

保留排版,准确专业,支持PDF/Word/PPT等文件格式,支持 12+语言互译。

免费翻译文档

深度研究

AI帮你快速写综述,25分钟生成高质量综述,智能提取关键信息,辅助科研写作。

立即免费体验