Suppr超能文献

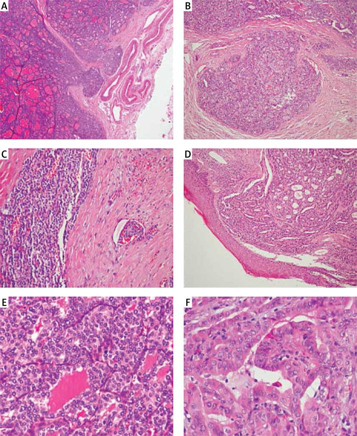
One case of papillary thyroid carcinoma complicated with epidermal follicular carcinoma was followed up for four years.

作者信息

Yan Wei, Gao Qing-Jun, Gao Rong-Jun, Zhou Yan, Zhang Wei, Tang Wen-Li, Ye Hui

机构信息

Department of Thyroid Surgery, Affiliated Hospital of Guizhou Medical University, China.

出版信息

Arch Med Sci. 2022 Feb 24;18(2):559-563. doi: 10.5114/aoms/146426. eCollection 2022.

Abstract
摘要
https://cdn.ncbi.nlm.nih.gov/pmc/blobs/53a5/8924840/dc70f0dd9f1c/AMS-18-2-146426-g001.jpg

文献AI研究员

20分钟写一篇综述,助力文献阅读效率提升50倍。

立即体验

用中文搜PubMed

大模型驱动的PubMed中文搜索引擎

马上搜索

文档翻译

学术文献翻译模型,支持多种主流文档格式。

立即体验