Suppr超能文献

一例伴有胸壁侵犯和肺转移的巨大化生性乳腺癌:罕见病例报告

A huge metaplastic breast carcinoma with chest wall invasion and pulmonary metastasis: a rare case report.

作者信息

Kherbek Haidara, Deeb Ismaeel, Ali Haya, Halloum Mais, Alshehabi Zuheir, Ali Wassim

机构信息

Faculty of Medicine, Tishreen University, Latakia, Syria.

Department of Pathology, Cancer Research Center, Tishreen University, Latakia, Syria.

出版信息

Oxf Med Case Reports. 2022 Mar 16;2022(3):omac027. doi: 10.1093/omcr/omac027. eCollection 2022 Mar.

Abstract

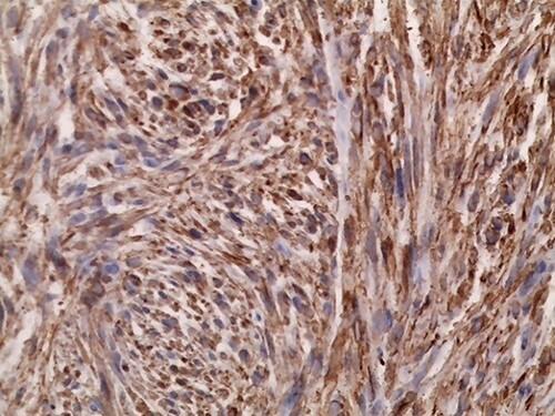
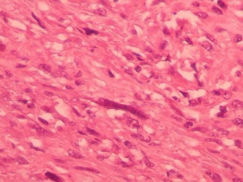
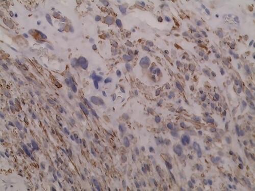
Metaplastic breast carcinoma (MBC) is a diverse group of invasive breast carcinoma, in which the neoplastic epithelium differentiates toward squamous cells or mesenchymal looking elements, including but not restricted to spindle, osseous and chondroid cells. MBC was formally considered a distinct pathological pattern by WHO classification of breast tumors in 2000. We report the case of a 49-year-old Syrian female who presented to our hospital due to a painful huge mass in her right breast. Radiographic and clinical findings were highly indicative of breast carcinoma. Therefore, a core needle biopsy was performed, and surprisingly, microscopic examination suggested the diagnosis of soft tissue sarcoma, whereas immune stains confirmed the diagnosis of metaplastic carcinoma. We aim to introduce a challenging case that clarifies the rarity of this tumor, and the methods we used in diagnosing, examining and treating this malignancy.

摘要

化生性乳腺癌(MBC)是一组异质性的浸润性乳腺癌,其中肿瘤上皮细胞向鳞状细胞或间叶样成分分化,包括但不限于梭形细胞、骨细胞和软骨样细胞。2000年,WHO乳腺肿瘤分类将MBC正式视为一种独特的病理类型。我们报告了一例49岁叙利亚女性病例,该患者因右乳巨大疼痛性肿块前来我院就诊。影像学和临床检查结果高度提示为乳腺癌。因此,进行了粗针穿刺活检,令人惊讶地是镜检提示为软组织肉瘤,而免疫组化检查确诊为化生性癌。我们旨在介绍这一具有挑战性的病例,以阐明该肿瘤的罕见性,以及我们诊断、检查和治疗这种恶性肿瘤所采用的方法。

https://cdn.ncbi.nlm.nih.gov/pmc/blobs/f723/8931821/690e9d98411c/omac027f1.jpg

文献检索

告别复杂PubMed语法,用中文像聊天一样搜索,搜遍4000万医学文献。AI智能推荐,让科研检索更轻松。

立即免费搜索

文件翻译

保留排版,准确专业,支持PDF/Word/PPT等文件格式,支持 12+语言互译。

免费翻译文档

深度研究

AI帮你快速写综述,25分钟生成高质量综述,智能提取关键信息,辅助科研写作。

立即免费体验