• 文献检索
  • 文档翻译
  • 深度研究
  • 学术资讯
  • Suppr Zotero 插件Zotero 插件
  • 邀请有礼
  • 套餐&价格
  • 历史记录
应用&插件
Suppr Zotero 插件Zotero 插件浏览器插件Mac 客户端Windows 客户端微信小程序
定价
高级版会员购买积分包购买API积分包
服务
文献检索文档翻译深度研究API 文档MCP 服务
关于我们
关于 Suppr公司介绍联系我们用户协议隐私条款
关注我们

Suppr 超能文献

核心技术专利:CN118964589B侵权必究
粤ICP备2023148730 号-1Suppr @ 2026

文献检索

告别复杂PubMed语法,用中文像聊天一样搜索,搜遍4000万医学文献。AI智能推荐,让科研检索更轻松。

立即免费搜索

文件翻译

保留排版,准确专业,支持PDF/Word/PPT等文件格式,支持 12+语言互译。

免费翻译文档

深度研究

AI帮你快速写综述,25分钟生成高质量综述,智能提取关键信息,辅助科研写作。

立即免费体验

一例罕见的无症状性右冠状动脉扩张合并巨大动脉瘤。

A rare case of asymptomatic right coronary artery ectasia associated with giant aneurysm.

作者信息

Hishikawa Takanori, Ohashi Takeki, Tadakoshi Masao, Kamikawa Yuji, Kageyama Soichiro, Kojima Akinori, Hioki Kaoru, Yamauchi Hirotaka

机构信息

Cardiovascular surgery, Nagoya Tokushukai General Hospital, Aichi, Japan.

出版信息

Oxf Med Case Reports. 2022 Mar 16;2022(3):omac023. doi: 10.1093/omcr/omac023. eCollection 2022 Mar.

DOI:10.1093/omcr/omac023
PMID:35316997
原文链接:https://pmc.ncbi.nlm.nih.gov/articles/PMC8931810/
Abstract

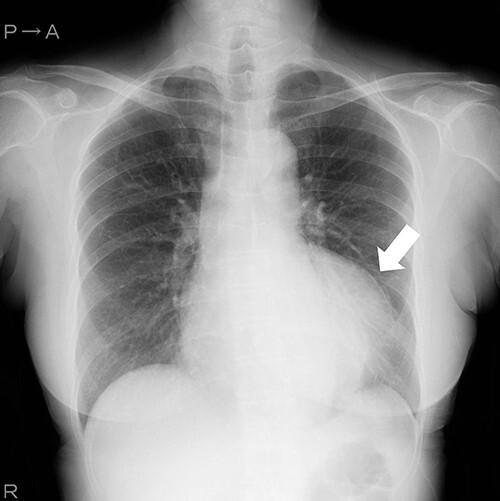
A rare case of giant coronary artery ectasia associated with coronary artery aneurysm was recognized. A 69-year-old woman presented with an ischemic electrocardiogram changes during a medical check-up. Coronary computed tomography angiography showed right coronary artery (RCA) ectasia associated with a giant aneurysm originating from the distal RCA. She was asymptomatic and exhibited no risk factors, including Kawasaki disease, hypertension, diabetes mellitus or family history. The patient underwent surgery for giant coronary aneurysms to prevent rupture. The aneurysm was on the peripheral side of the right coronary artery; hence, coronary artery bypass was not performed. The patient's postoperative course was uneventful. Histopathological examination of the aneurysm revealed degeneration due to atherosclerosis. She was prescribed warfarin and aspirin for thrombus prevention.

摘要

一例罕见的巨大冠状动脉扩张合并冠状动脉瘤被确诊。一名69岁女性在体检时出现缺血性心电图改变。冠状动脉计算机断层扫描血管造影显示右冠状动脉(RCA)扩张,伴有一个起源于RCA远端的巨大动脉瘤。她没有症状,也没有包括川崎病、高血压、糖尿病或家族史在内的危险因素。患者接受了巨大冠状动脉瘤手术以预防破裂。动脉瘤位于右冠状动脉外周侧;因此,未进行冠状动脉搭桥术。患者术后恢复顺利。动脉瘤的组织病理学检查显示为动脉粥样硬化性退变。她被开了华法林和阿司匹林以预防血栓形成。

https://cdn.ncbi.nlm.nih.gov/pmc/blobs/4391/8931810/89b603af77a5/omac023f8.jpg
https://cdn.ncbi.nlm.nih.gov/pmc/blobs/4391/8931810/750fecc73732/omac023f1.jpg
https://cdn.ncbi.nlm.nih.gov/pmc/blobs/4391/8931810/bb70f013db71/omac023f2.jpg
https://cdn.ncbi.nlm.nih.gov/pmc/blobs/4391/8931810/097d521bdb16/omac023f3.jpg
https://cdn.ncbi.nlm.nih.gov/pmc/blobs/4391/8931810/eee7afe7c724/omac023f4.jpg
https://cdn.ncbi.nlm.nih.gov/pmc/blobs/4391/8931810/57506dc81649/omac023f5.jpg
https://cdn.ncbi.nlm.nih.gov/pmc/blobs/4391/8931810/bad06a51027b/omac023f6.jpg
https://cdn.ncbi.nlm.nih.gov/pmc/blobs/4391/8931810/4a4afa69ea82/omac023f7.jpg
https://cdn.ncbi.nlm.nih.gov/pmc/blobs/4391/8931810/89b603af77a5/omac023f8.jpg
https://cdn.ncbi.nlm.nih.gov/pmc/blobs/4391/8931810/750fecc73732/omac023f1.jpg
https://cdn.ncbi.nlm.nih.gov/pmc/blobs/4391/8931810/bb70f013db71/omac023f2.jpg
https://cdn.ncbi.nlm.nih.gov/pmc/blobs/4391/8931810/097d521bdb16/omac023f3.jpg
https://cdn.ncbi.nlm.nih.gov/pmc/blobs/4391/8931810/eee7afe7c724/omac023f4.jpg
https://cdn.ncbi.nlm.nih.gov/pmc/blobs/4391/8931810/57506dc81649/omac023f5.jpg
https://cdn.ncbi.nlm.nih.gov/pmc/blobs/4391/8931810/bad06a51027b/omac023f6.jpg
https://cdn.ncbi.nlm.nih.gov/pmc/blobs/4391/8931810/4a4afa69ea82/omac023f7.jpg
https://cdn.ncbi.nlm.nih.gov/pmc/blobs/4391/8931810/89b603af77a5/omac023f8.jpg

相似文献

1
A rare case of asymptomatic right coronary artery ectasia associated with giant aneurysm.一例罕见的无症状性右冠状动脉扩张合并巨大动脉瘤。
Oxf Med Case Reports. 2022 Mar 16;2022(3):omac023. doi: 10.1093/omcr/omac023. eCollection 2022 Mar.
2
Right coronary artery-left ventricular fistula with giant right coronary artery of diffuse ectasia: a case report.右冠状动脉-左心室瘘合并巨大弥漫性扩张右冠状动脉:一例报告
Eur Heart J Case Rep. 2021 Jan 16;5(1):ytaa581. doi: 10.1093/ehjcr/ytaa581. eCollection 2021 Jan.
3
From Coronary Artery Ectasia to Giant Coronary Artery Aneurysm: Is it Necessary to Follow-Up?从冠状动脉扩张到巨大冠状动脉瘤:是否有必要进行随访?
JACC Case Rep. 2022 Nov 16;4(22):1480-1483. doi: 10.1016/j.jaccas.2022.09.006.
4
Double giant ectasia of right coronary artery in a young woman: A rare case report.一名年轻女性右冠状动脉双巨大扩张:一例罕见病例报告。
Int J Surg Case Rep. 2020;71:112-115. doi: 10.1016/j.ijscr.2020.04.099. Epub 2020 May 21.
5
Giant coronary artery aneurysms involving more than one coronary artery: case report.累及多支冠状动脉的巨大冠状动脉瘤:病例报告。
J Cardiothorac Surg. 2021 Jun 19;16(1):177. doi: 10.1186/s13019-021-01560-5.
6
Giant right coronary artery aneurysm in the setting of the acute coronary syndrome: A case report.急性冠状动脉综合征背景下的巨大右冠状动脉瘤:一例报告。
J Card Surg. 2020 Sep;35(9):2379-2381. doi: 10.1111/jocs.14717. Epub 2020 Jul 11.
7
Surgical management of a giant right coronary artery aneurysm with coronary arteriovenous fistula: case report.巨大右冠状动脉瘤合并冠状动脉瘘的外科治疗:病例报告
Eur Heart J Case Rep. 2020 Sep 9;4(5):1-6. doi: 10.1093/ehjcr/ytaa290. eCollection 2020 Oct.
8
Giant coronary aneurysms producing chest pain.引发胸痛的巨大冠状动脉瘤。
J Cardiothorac Surg. 2019 Mar 8;14(1):52. doi: 10.1186/s13019-019-0872-4.
9
[A Giant Right Coronary Artery Aneurysm:Report of a Case].[巨大右冠状动脉瘤一例报告]
Kyobu Geka. 2021 Jun;74(6):443-445.
10
Giant Coronary Artery Aneurysm: A Successful Diagnosis.巨大冠状动脉瘤:一例成功诊断病例
Cureus. 2021 Dec 15;13(12):e20429. doi: 10.7759/cureus.20429. eCollection 2021 Dec.

本文引用的文献

1
Complicated Spontaneous Coronary Artery Dissection (SCAD) Culminating in Aneurysm Formation: Coronary Artery Bypass Graft Surgery Is Preferable Over Percutaneous Coronary Intervention in Peripartum SCAD.以动脉瘤形成为结局的复杂自发性冠状动脉夹层(SCAD):围产期SCAD行冠状动脉旁路移植术优于经皮冠状动脉介入治疗。
Cureus. 2021 Mar 27;13(3):e14145. doi: 10.7759/cureus.14145.
2
Coronary Artery Ectasia Predicts Future Cardiac Events in Patients With Acute Myocardial Infarction.冠状动脉扩张可预测急性心肌梗死患者未来的心脏事件。
Arterioscler Thromb Vasc Biol. 2017 Dec;37(12):2350-2355. doi: 10.1161/ATVBAHA.117.309683. Epub 2017 Oct 19.
3
Coronary Artery Ectasia-A Review of Current Literature.
冠状动脉扩张——当前文献综述
Curr Cardiol Rev. 2016;12(4):318-323. doi: 10.2174/1573403x12666160504100159.
4
Coronary artery aneurysm: a review.冠状动脉瘤:综述
Prog Cardiovasc Dis. 1997 Jul-Aug;40(1):77-84. doi: 10.1016/s0033-0620(97)80024-2.
5
Aneurysmal coronary artery disease.动脉瘤性冠状动脉疾病
Circulation. 1983 Jan;67(1):134-8. doi: 10.1161/01.cir.67.1.134.
6
Coronary artery ectasia. Its prevalence and clinical significance in 4993 patients.冠状动脉扩张。4993例患者中的患病率及临床意义。
Br Heart J. 1985 Oct;54(4):392-5. doi: 10.1136/hrt.54.4.392.