Department of Veterinary Clinical Sciences, The Ohio State University, Columbus, Ohio, USA.
Department of Cardiology, The Animal Medical Center, New York, New York, USA.
J Vet Intern Med. 2022 May;36(3):865-876. doi: 10.1111/jvim.16402. Epub 2022 Mar 24.
There is a lack of clinical data on hypertrophic cardiomyopathy (HCM) in dogs.
HYPOTHESIS/OBJECTIVES: To investigate signalment, clinical signs, diagnostic findings, and survival in dogs with HCM.
Sixty-eight client-owned dogs.
Retrospective multicenter study. Medical records were searched between 2003 and 2015. The diagnosis of left ventricular (LV) hypertrophy was made by echocardiographic examination.
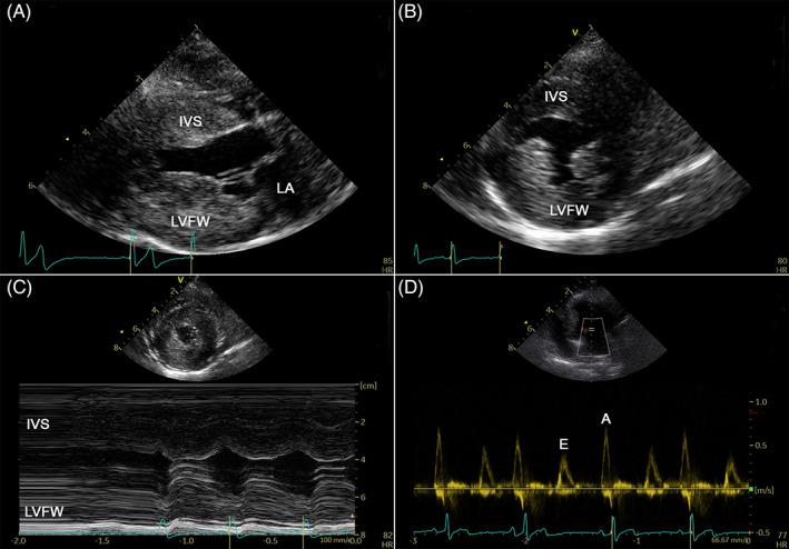
Three hundred and forty-five dogs with LV hypertrophy were identified, of which 277 were excluded. The remaining 68 dogs were 0.3 to 14 years old and predominantly <10 kg (85%), and without a sex predilection. Twenty-four % were Shih Tzu and 24% terrier breeds. Most (80%) had a systolic heart murmur. Owner-determined exercise intolerance (37%) and syncope (18%) were most commonly reported signs. The majority (84%) of dogs had symmetrical LV hypertrophy, whereas asymmetrical septal and LV free wall hypertrophy was observed in 9% and 6% of dogs, respectively. Isolated basal interventricular septal hypertrophy was not observed. Commonly recorded were systolic anterior motion of the mitral valve (60%) and LV diastolic dysfunction (89% of dogs where diastolic function was evaluated). Six dogs died unexpectedly, and 3 developed congestive heart failure. Known survival times were between 1 day and 114 months after diagnosis.
Hypertrophic cardiomyopathy in dogs should be considered as a differential diagnosis if LV hypertrophy is identified. Small breed dogs are overrepresented, and it is uncommon for dogs with HCM to develop CHF although sudden death can occur.
目前有关犬肥厚型心肌病(HCM)的临床数据较少。
假设/目的:研究犬肥厚型心肌病的品种、临床症状、诊断结果和生存情况。
68 只宠物犬。
回顾性多中心研究。于 2003 年至 2015 年检索了医疗记录。通过超声心动图检查诊断左心室(LV)肥厚。
共发现 345 只 LV 肥厚犬,其中 277 只被排除。剩余的 68 只犬年龄为 0.3 至 14 岁,主要体重<10kg(85%),无性别偏好。24%为西施犬,24%为梗犬。80%的犬有收缩期心杂音。以主人判断的运动不耐受(37%)和晕厥(18%)为最常见的症状。大多数犬(84%)存在对称性 LV 肥厚,9%和 6%的犬分别存在不对称性室间隔和 LV 游离壁肥厚。未观察到孤立的基底室间隔肥厚。常见的有二尖瓣收缩期前向运动(60%)和 LV 舒张功能障碍(评估舒张功能的犬中 89%)。6 只犬意外死亡,3 只犬发展为充血性心力衰竭。诊断后已知的生存时间为 1 天至 114 个月。
如果发现 LV 肥厚,应考虑犬肥厚型心肌病作为鉴别诊断。小型犬种发病率较高,尽管肥厚型心肌病犬可能发生猝死,但发生充血性心力衰竭并不常见。