Suppr超能文献

早期内体 Vps34 衍生的磷脂酰肌醇-3-磷酸对于内体再循环隔室的生物发生是必不可少的。

Early Endosomal Vps34-Derived Phosphatidylinositol-3-Phosphate Is Indispensable for the Biogenesis of the Endosomal Recycling Compartment.

机构信息

Department of Physiology and Immunology, Faculty of Medicine, University of Rijeka, 51000 Rijeka, Croatia.

Department of Physiology, Immunology and Pathophysiology, Faculty of Medicine, University Center Varaždin, University North, Jurja Križanića 31b, 42000 Koprivnica, Croatia.

出版信息

Cells. 2022 Mar 11;11(6):962. doi: 10.3390/cells11060962.

Abstract

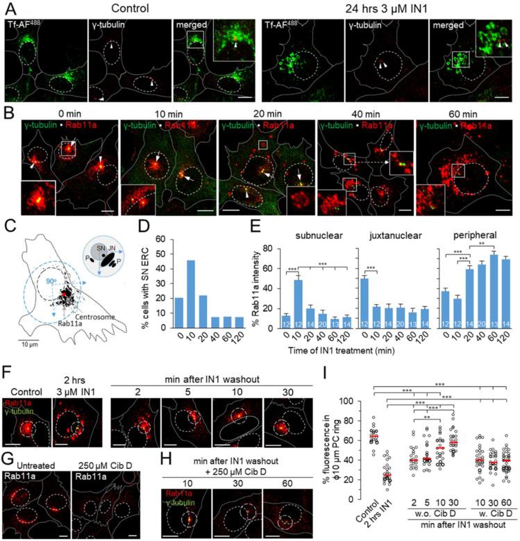
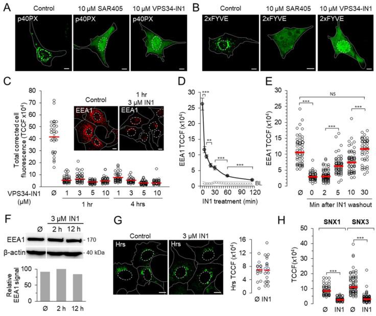
Phosphatidylinositol-3-phosphate (PI3P), a major identity tag of early endosomes (EEs), provides a platform for the recruitment of numerous cellular proteins containing an FYVE or PX domain that is required for PI3P-dependent maturation of EEs. Most of the PI3P in EEs is generated by the activity of Vps34, a catalytic component of class III phosphatidylinositol-3-phosphate kinase (PI3Ks) complex. In this study, we analyzed the role of Vps34-derived PI3P in the EE recycling circuit of unperturbed cells using VPS34-IN1 (IN1), a highly specific inhibitor of Vps34. IN1-mediated PI3P depletion resulted in the rapid dissociation of recombinant FYVE- and PX-containing PI3P-binding modules and endogenous PI3P-binding proteins, including EEA1 and EE sorting nexins. IN1 treatment triggered the rapid restructuring of EEs into a PI3P-independent functional configuration, and after IN1 washout, EEs were rapidly restored to a PI3P-dependent functional configuration. Analysis of the PI3P-independent configuration showed that the Vps34-derived PI3P is not essential for the pre-EE-associated functions and the fast recycling loop of the EE recycling circuit but contributes to EE maturation toward the degradation circuit, as previously shown in Vps34 knockout and knockdown studies. However, our study shows that Vps34-derived PI3P is also essential for the establishment of the Rab11a-dependent pathway, including recycling cargo sorting in this pathway and membrane flux from EEs to the pericentriolar endosomal recycling compartment (ERC). Rab11a endosomes of PI3P-depleted cells expanded and vacuolized outside the pericentriolar area without the acquisition of internalized transferrin (Tf). These endosomes had high levels of FIP5 and low levels of FIP3, suggesting that their maturation was arrested before the acquisition of FIP3. Consequently, Tf-loaded-, Rab11a/FIP5-, and Rab8a-positive endosomes disappeared from the pericentriolar area, implying that PI3P-associated functions are essential for ERC biogenesis. ERC loss was rapidly reversed after IN1 washout, which coincided with the restoration of FIP3 recruitment to Rab11a-positive endosomes and their dynein-dependent migration to the cell center. Thus, our study shows that Vps34-derived PI3P is indispensable in the recycling circuit to maintain the slow recycling pathway and biogenesis of the ERC.

摘要

磷脂酰肌醇-3-磷酸 (PI3P) 是早期内体 (EEs) 的主要身份标记,它为含有 FYVE 或 PX 结构域的大量细胞蛋白的募集提供了一个平台,这些蛋白对于 PI3P 依赖性 EE 成熟是必需的。EEs 中的大部分 PI3P 是由 Vps34 的活性产生的,Vps34 是 III 类磷脂酰肌醇-3-磷酸激酶 (PI3Ks) 复合物的催化成分。在这项研究中,我们使用 VPS34-IN1 (IN1),一种 Vps34 的高度特异性抑制剂,分析了 Vps34 衍生的 PI3P 在未受干扰的细胞 EE 再循环回路中的作用。IN1 介导的 PI3P 耗竭导致重组 FYVE 和 PX 结合 PI3P 结合模块和内源性 PI3P 结合蛋白,包括 EEA1 和 EE 分选连接蛋白的快速解离。IN1 处理触发 EE 快速重构为 PI3P 非依赖性功能构象,在 IN1 洗脱后,EE 迅速恢复为 PI3P 依赖性功能构象。对 PI3P 非依赖性构象的分析表明,Vps34 衍生的 PI3P 对于 EE 再循环回路的前 EE 相关功能和快速再循环循环不是必需的,但有助于 EE 向降解回路成熟,正如之前在 Vps34 敲除和敲低研究中所示。然而,我们的研究表明,Vps34 衍生的 PI3P 对于 Rab11a 依赖性途径的建立也是必需的,包括该途径中的再循环货物分选和从 EE 到中心体周围内体再循环隔室 (ERC) 的膜通量。PI3P 耗尽细胞的 Rab11a 内体在中心体周围区域外扩张并空泡化,而没有内化转铁蛋白 (Tf) 的摄取。这些内体具有高水平的 FIP5 和低水平的 FIP3,表明它们的成熟在获得 FIP3 之前被阻止。因此,负载 Tf 的 Rab11a/FIP5- 和 Rab8a-阳性内体从中心体周围区域消失,这意味着 PI3P 相关功能对于 ERC 生物发生是必需的。在 IN1 洗脱后,ERC 迅速逆转,这与 FIP3 招募到 Rab11a 阳性内体及其向细胞中心的动力蛋白依赖性迁移同时发生。因此,我们的研究表明,Vps34 衍生的 PI3P 在再循环回路中是不可或缺的,以维持缓慢的再循环途径和 ERC 的生物发生。

https://cdn.ncbi.nlm.nih.gov/pmc/blobs/762e/8946653/f508b6f1bacf/cells-11-00962-g001.jpg

文献检索

告别复杂PubMed语法,用中文像聊天一样搜索,搜遍4000万医学文献。AI智能推荐,让科研检索更轻松。

立即免费搜索

文件翻译

保留排版,准确专业,支持PDF/Word/PPT等文件格式,支持 12+语言互译。

免费翻译文档

深度研究

AI帮你快速写综述,25分钟生成高质量综述,智能提取关键信息,辅助科研写作。

立即免费体验