Suppr超能文献

()基因在人类癌细胞系中的替代启动子受 CpG 二核苷酸差异甲基化的调控。

Alternative Promoters of () Gene in Human Carcinoma Cell Lines Are Regulated by Differential Methylation of CpG Dinucleotides.

机构信息

Fels Institute for Cancer Research and Molecular Biology, Lewis Katz School of Medicine, Temple University, Philadelphia, PA 19067, USA.

Department of Basic Medical Sciences, Western University of Health Sciences, Pomona, CA 91766, USA.

出版信息

Genes (Basel). 2022 Mar 10;13(3):490. doi: 10.3390/genes13030490.

Abstract

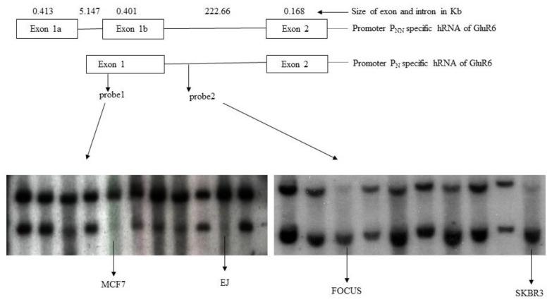
The ionotropic glutamate receptor 6 ( or ) gene is transcribed by two cell-type-specific promoters in neuronal and non-neuronal cells, which results in five different transcript variants. The purpose of this study was to explore cell-type-specific silencing of these promoters by epigenetic mechanisms. The neuronal and non-neuronal promoter sequences were cloned upstream of the luciferase gene in the pGL3 luciferase reporter vector. Promoter susceptibility to methylation was confirmed by 5-azacytidine and trichostatin treatment, and the status of CpG dinucleotides was determined by bisulfite sequencing of the promoter was determined by bisulfite sequences. GluR6A transcript variant was expressed in the brain, and GluR6B was most abundant in tumor cell lines. The neuronal promoter was methylated in non-neuronal cell lines. The treatment with 5-azacytidine and trichostatin upregulated transcription of the gene, and methylation of the GluR6 promoter sequence in the luciferase reporter system led to downregulation of the luciferase gene transcription. Bisulfite sequencing revealed methylation of 3 and 41 CpG sites in non-neuronal and neuronal promoters, respectively. The differential activation/silencing of GluR6 promoters suggests that the transcript variants of GluR6 are involved in tissue-specific biological processes and their aberrant regulation in tumor cells may contribute to distinct properties of tumor cells.

摘要

离子型谷氨酸受体 6(或)基因在神经元和非神经元细胞中由两个细胞类型特异性启动子转录,产生五个不同的转录变体。本研究旨在通过表观遗传机制探索这些启动子的细胞类型特异性沉默。神经元和非神经元启动子序列被克隆到 pGL3 荧光素酶报告载体的荧光素酶基因上游。5-氮杂胞苷和曲古抑菌素处理证实了启动子的甲基化敏感性,CpG 二核苷酸的状态通过启动子的亚硫酸氢盐测序确定。GluR6A 转录变体在大脑中表达,而 GluR6B 在肿瘤细胞系中最为丰富。神经元启动子在非神经元细胞系中被甲基化。5-氮杂胞苷和曲古抑菌素处理上调基因的转录,荧光素酶报告系统中 GluR6 启动子序列的甲基化导致荧光素酶基因转录下调。亚硫酸氢盐测序显示,非神经元和神经元启动子分别有 3 和 41 个 CpG 位点被甲基化。GluR6 启动子的差异激活/沉默表明,GluR6 的转录变体参与组织特异性的生物学过程,其在肿瘤细胞中的异常调节可能有助于肿瘤细胞的独特特性。

https://cdn.ncbi.nlm.nih.gov/pmc/blobs/2803/8954616/e3ca784a1193/genes-13-00490-g001.jpg

文献检索

告别复杂PubMed语法,用中文像聊天一样搜索,搜遍4000万医学文献。AI智能推荐,让科研检索更轻松。

立即免费搜索

文件翻译

保留排版,准确专业,支持PDF/Word/PPT等文件格式,支持 12+语言互译。

免费翻译文档

深度研究

AI帮你快速写综述,25分钟生成高质量综述,智能提取关键信息,辅助科研写作。

立即免费体验